ORIGINAL RESEARCH article
Front. Dent. Med.
Sec. Aging and Dental Medicine
A retrospective study on the reasons for second molar extraction
Provisionally accepted- Peking University Third Hospital, Haidian, China
Select one of your emails
You have multiple emails registered with Frontiers:
Notify me on publication
Please enter your email address:
If you already have an account, please login
You don't have a Frontiers account ? You can register here
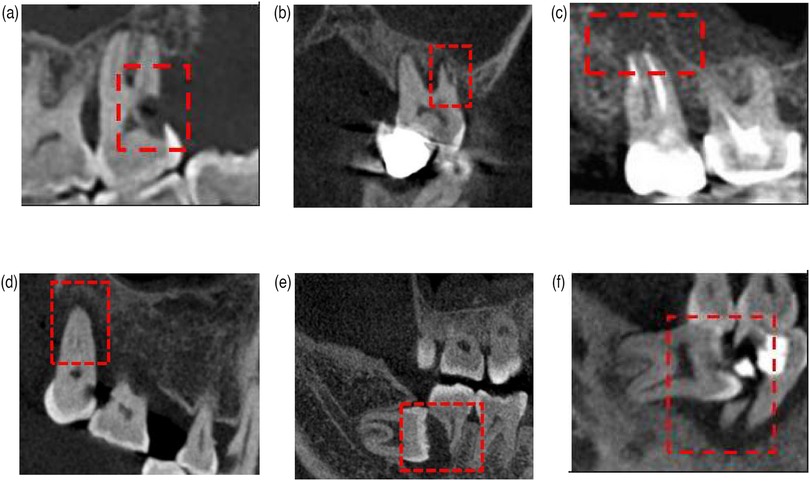
Objective: The reasons for second molar extraction include endodontics, periodontal disease, and impacted third molars. This retrospective study analyzed medical records and image examinations of patients who underwent second molar extraction to clarify the proportional distribution of different causes. Materials and Methods: Medical records and imaging data of patients who underwent second molar extraction between January 1, 2020 and December 31, 2022 were systematically collected. Two senior dentists analyzed and recorded patient demographics, clinical diagnoses, and extraction causes. Inter-rater consistency was verified using Kappa testing. Results: A total of 1,818 valid cases were included with a mean age of 52.9 years (male: 864 cases; female: 954 cases). Endodontic factors accounted for 1,045 second molar extractions (57.43%) and periodontal factors contributed to 588 extractions (32.40%), both showing significant age-related correlations (p<0.05). Impacted third molar factors led to 185 extractions (10.01%) with no significant age-dependent association (p>0.05). Impacted third molars contributed to 13.97% of mandibular second molar extractions, while only 5.73% to maxillary second molar extractions. Conclusions: The main reasons for extracting second molars were endodontic factors, followed by periodontal factors, and impacted third molars. Advanced age was significantly associated with increased extraction risks attributable to both endodontic and periodontal disease. Impacted third molar-related factors accounted for a larger proportion in cases of mandibular second molar extractions.
Keywords: Second molar extraction1, Epidemiological study2, Impacted third molar teeth3, cone-beam computed tomography4, retrospective study5
Received: 13 May 2025; Accepted: 27 Oct 2025.
Copyright: © 2025 Wang, Yao, Shiyu, Zou, Wu and Wang. This is an open-access article distributed under the terms of the Creative Commons Attribution License (CC BY). The use, distribution or reproduction in other forums is permitted, provided the original author(s) or licensor are credited and that the original publication in this journal is cited, in accordance with accepted academic practice. No use, distribution or reproduction is permitted which does not comply with these terms.
* Correspondence: Xiao  Wang, bysykqwx@126.com
Disclaimer: All claims expressed in this article are solely those of the authors and do not necessarily represent those of their affiliated organizations, or those of the publisher, the editors and the reviewers. Any product that may be evaluated in this article or claim that may be made by its manufacturer is not guaranteed or endorsed by the publisher.
