Your new experience awaits. Try the new design now and help us make it even better

CORRECTION article

Front. Dent. Med., 31 October 2025

Sec. Pediatric Dentistry

Volume 6 - 2025 | https://doi.org/10.3389/fdmed.2025.1711860

Correction: Oral health-related quality of life in Northland Māori children and adolescents with Polynesian amelogenesis imperfecta

  • 1Oral Health Service Te Tai Tokerau, Hospital and Specialist Services, Health New Zealand | Te Whatu Ora, Whangārei, Northland, New Zealand
  • 2Division of Dental Public Health, School of Dentistry, Oregon Health & Science University, Portland, OR, United States
  • 3Department of Oral Sciences, Faculty of Dentistry, The University of Otago, Dunedin, New Zealand

A Correction on

Oral health-related quality of life in Northland Māori children and adolescents with Polynesian amelogenesis imperfecta

By Martin M, Gowda S, Foster Page L, Thomson WM. (2024). Front. Dent. Med 5:1485419. doi: 10.3389/fdmed.2024.1485419

Error in figure/table

Wrong content

There was a mistake in Figure 1 as published. The image of the maxillary arch has been positioned upside down. The corrected Figure 1 appears below.

Figure 1
www.frontiersin.org

Figure 1. A typical Poly AI patient with maxillary hypomineralised dentition exhibiting mottled yellow and brown discolouration.

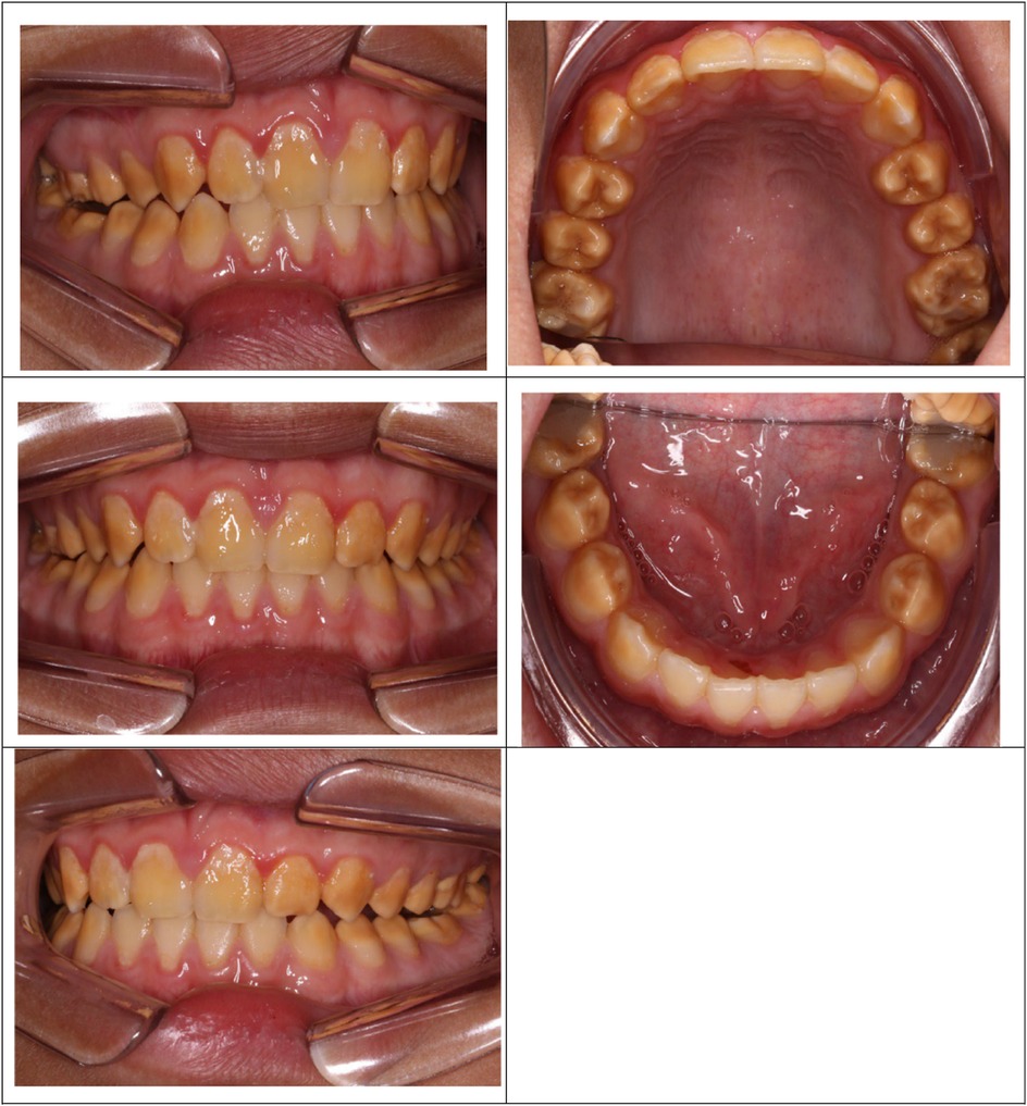
There was a mistake in Figure 2 as published. The images of the maxillary arch and mandibular arch have been positioned upside down and in the wrong order. The corrected Figure 2 appears below.

Figure 2
www.frontiersin.org

Figure 2. Poly AI case showing bilaterally symmetrical hypo-mineralised dentition, with mottled uniformly yellow to brown discolouration and an anterior posterior gradient in severity.

Abstract

Adding/removing text

In the abstract (the Introduction), an incorrect sentence was provided. This has been corrected to read:

Polynesian AI (or Poly AI) is prevalent among people of Polynesian descent including New Zealand Māori. While the impact of AI on the quality of life has been reported in some studies, the role of Poly AI on oral health-related quality of life (OHRQoL) is not known.

The original version of this article has been updated.

Adding/removing text

In the abstract (the Methods), an incorrect sentence was provided. This has been corrected to read:

30 Māori children and adolescents with Poly AI, and 60 age and sex matched Māori children and adolescents with no Poly AI (as the comparison group) were randomly selected and recruited to participate in the study.

The original version of this article has been updated.

Adding/removing text

In the abstract (the Discussion), an incorrect sentence was provided. This has been corrected to read:

Further research among Polynesian populations is needed to understand the impact of Poly AI on OHRQoL.

The original version of this article has been updated.

Generative AI statement

Any alternative text (alt text) provided alongside figures in this article has been generated by Frontiers with the support of artificial intelligence and reasonable efforts have been made to ensure accuracy, including review by the authors wherever possible. If you identify any issues, please contact us.

Publisher's note

All claims expressed in this article are solely those of the authors and do not necessarily represent those of their affiliated organizations, or those of the publisher, the editors and the reviewers. Any product that may be evaluated in this article, or claim that may be made by its manufacturer, is not guaranteed or endorsed by the publisher.

Keywords: Polynesian AI, Poly AI, amelogenesis imperfecta, Māori, oral health-related quality of life

Citation: Martin M, Gowda S, Foster Page L and Thomson WM (2025) Correction: Oral health-related quality of life in Northland Māori children and adolescents with Polynesian amelogenesis imperfecta. Front. Dent. Med. 6:1711860. doi: 10.3389/fdmed.2025.1711860

Received: 23 September 2025; Accepted: 14 October 2025;
Published: 31 October 2025.

Approved by: Frontiers Editorial Office, Frontiers Media SA, Switzerland

Copyright: © 2025 Martin, Gowda, Foster Page and Thomson. This is an open-access article distributed under the terms of the Creative Commons Attribution License (CC BY). The use, distribution or reproduction in other forums is permitted, provided the original author(s) and the copyright owner(s) are credited and that the original publication in this journal is cited, in accordance with accepted academic practice. No use, distribution or reproduction is permitted which does not comply with these terms.

*Correspondence: Lyndie Foster Page, Zm9zdGVycGFAb2hzdS5lZHU=

Disclaimer: All claims expressed in this article are solely those of the authors and do not necessarily represent those of their affiliated organizations, or those of the publisher, the editors and the reviewers. Any product that may be evaluated in this article or claim that may be made by its manufacturer is not guaranteed or endorsed by the publisher.