ORIGINAL RESEARCH article
Front. Mar. Sci.
Sec. Marine Molecular Biology and Ecology
An insight into the development stages and proteome of the early-stage embryo in the horseshoe crab species T. gigas
Provisionally accepted- 1Birla Institute of Technology & Science Pilani - K K Birla Goa Campus, Zuarinagar, India
- 2Birla Institute of Technology and Science, Pilani, India
Select one of your emails
You have multiple emails registered with Frontiers:
Notify me on publication
Please enter your email address:
If you already have an account, please login
You don't have a Frontiers account ? You can register here
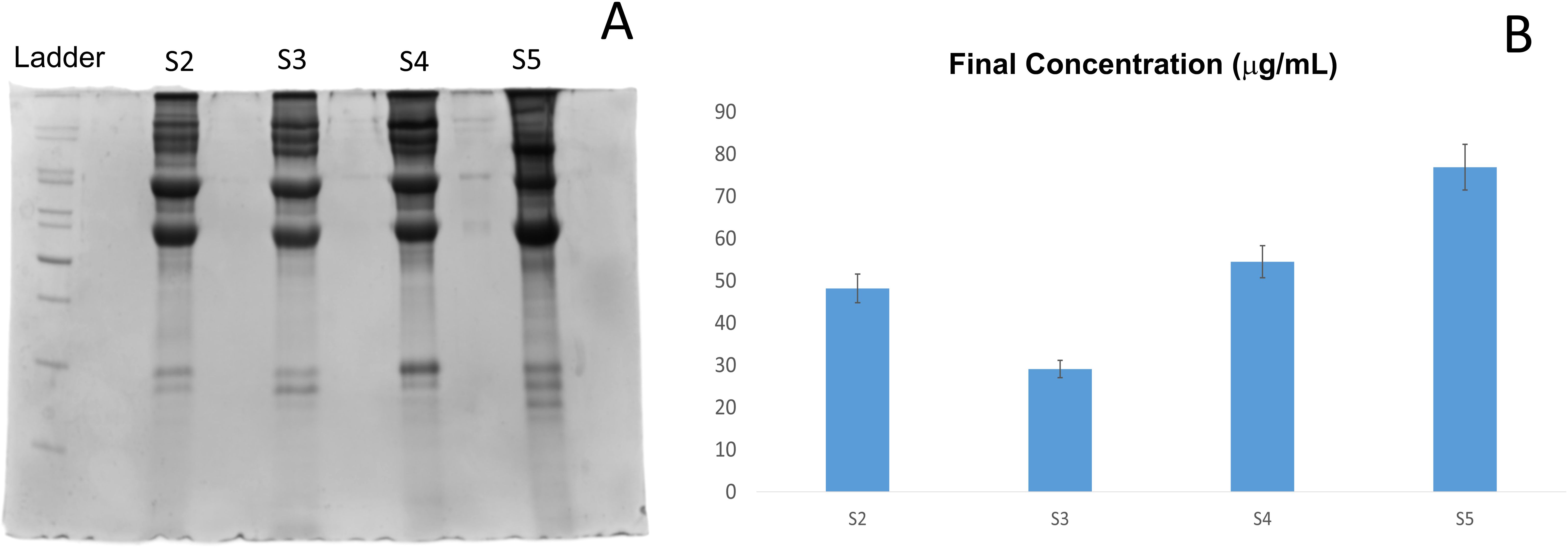
The Indo-Pacific horseshoe crab, Tachypleus gigas is often referred to as a living fossil due to its 450 million years ancestry. It plays a critical ecological role in coastal ecosystems and offers unique insights into arthropod evolution. Despite being investigated for more than a century, its early embryonic development remains poorly understood. In this study, we identified and presented the first comprehensive proteomic characterization of the early-stage embryo of T. gigas from stage 2 to stage 5 using microscopy and mass spectrometry-based approaches, respectively. Peptides were analyzed in an EASY-nLC 1200 system coupled to an Orbitrap Fusion mass spectrometer, leading to the identification of 388 proteins. The dataset revealed enrichment in proteins associated with cellular growth, morphogenesis, cytoskeletal organization, and metabolic regulation. Functional annotation and pathway enrichment were performed using STRING v12.0, with Gene Ontology analysis highlighting key pathways related to energy metabolism, transcriptional control, and immune regulation. These findings provide new molecular perspectives on embryogenesis in T. gigas and offer a valuable reference point for future studies on chelicerate development, evolutionary biology, and species conservation.
Keywords: Tachypleus gigas, Proteome, development, Embryogenesis, Mass Spectrometry, horseshoe crab
Received: 25 Aug 2025; Accepted: 07 Nov 2025.
Copyright: © 2025 Mallick, Rathod and Biswas. This is an open-access article distributed under the terms of the Creative Commons Attribution License (CC BY). The use, distribution or reproduction in other forums is permitted, provided the original author(s) or licensor are credited and that the original publication in this journal is cited, in accordance with accepted academic practice. No use, distribution or reproduction is permitted which does not comply with these terms.
* Correspondence: Sumit Biswas, sumit@goa.bits-pilani.ac.in
Disclaimer: All claims expressed in this article are solely those of the authors and do not necessarily represent those of their affiliated organizations, or those of the publisher, the editors and the reviewers. Any product that may be evaluated in this article or claim that may be made by its manufacturer is not guaranteed or endorsed by the publisher.
