- 1Department of Neurology, The Third Affiliated Hospital of Wenzhou Medical University, Wenzhou, Zhejiang, China
- 2Department of Neurology, Huashan Hospital, Fudan University, Shanghai, China
- 3The Second Clinical Medical College, Zhejiang Chinese Medical University, Hangzhou, China
Autoimmune GFAP astrocytopathy (GFAP-A) is a neuroinflammatory condition that often involves the brain, meninges, and spinal cord. Its characteristic MRI finding consists of linear or radial perivascular enhancement adjacent to the ventricles. While corpus callosum splenium lesions occur in only 5% of cases, association with reversible splenial lesion syndrome (RESLES) is very rare. In such instances, GFAP-A can clinically resemble viral encephalitis, making diagnosis difficult. This article discusses how to distinguish GFAP-A from viral encephalitis using clinical and auxiliary examinations when RESLES is present.
1 Introduction
In 1999, Kim et al. (1) first reported a reversible, ovoid, non-hemorrhagic splenial lesion on MRI, which is often linked to AED toxicity and demyelination. Since then, advances in neuroimaging and clinical research have significantly expanded the understanding of splenium of the corpus callosum (SCC)lesions. Garcia-Monco et al. (2) introduced the term Reversible Splenial Lesion Syndrome (RESLES) in 2011 for a distinct clinicoradiological entity with a diversity of etiologies. This entity is defined by transient, oval-shaped, non-enhancing lesions in the splenium of the corpus callosum (SCC) on MRI that typically resolve spontaneously. Since then, there have been numerous case reports of RESLES. There are diverse etiologies that can cause RESLES, including seizures, withdrawal of antiepileptic drugs, effects of other medications, infections, metabolic disorders, intoxication, malignant tumors, among others (3).
Glial fibrillary acidic protein (GFAP), an intermediate filament protein predominantly expressed in mature astrocytes, can become a target of autoimmune attack, resulting in autoimmune GFAP astrocytopathy (GFAP-A). The disease typically presents with acute or subacute onset, frequently preceded by prodromal symptoms such as headache, fever, or other flu-like manifestations. Over subsequent days to weeks, the clinical course may progress to include a broader spectrum of neurological deficits, including movement disorders, visual disturbances, psychiatric symptoms, and autonomic dysfunction (4). On neuroimaging, GFAP-A typically demonstrates linear periventricular radial enhancement on post-contrast T1-weighted MRI, observed in approximately 53% of cases (5). Corpus callosum involvement in GFAP-A is uncommon, occurring in ~5% of cases (6–9), and frequently coexists with RESLES.
Approximately 29% of GFAP-A patients report influenza-like prodromal symptoms prior to neurological onset of neurological manifestations (10). In clinical practice, distinguishing GFAP-A from viral encephalitis can be challenging—particularly when anti-GFAP antibody test results are pending or when testing is not performed. Misdiagnosis is not uncommon, with several documented cases initially attributed to viral encephalitis (9, 11, 12). This article focuses on differentiating GFAP-A from viral encephalitis in patients with RESLES. Early and accurate discrimination between these two entities is essential to guide appropriate immunotherapy, prevent treatment delays, and ultimately improve patient outcomes.
2 Materials and methods
2.1 Selection of study participants
2.1.1 GFAP-A cohort
This retrospective study included patients diagnosed with GFAP-A at Huashan Hospital of Fudan University. Inclusion criteria comprised (1) positive GFAP-IgG in cerebrospinal fluid (CSF) and (2) imaging findings consistent with reversible splenial lesion syndrome (RESLES), with exclusion of alternative diagnoses. Four eligible cases were identified. Comprehensive medical records—encompassing demographic characteristics, clinical presentation, laboratory results, and neuroimaging data—were systematically reviewed to verify diagnoses and ensure eligibility.
A systematic literature review was performed in PubMed for articles published (4, 7, 9, 11–15) using the search terms: “GFAP-A,” “RESLES,” and “autoimmune glial fibrillary acidic protein astrocytopathy.” All identified publications reporting GFAP-A cases with concurrent RESLES were evaluated for inclusion (Table 1).
2.1.2 Viral encephalitis cohort
For the viral encephalitis cohort, a total of 10 cases were collected, including one retrospectively enrolled inpatient case from Huashan Hospital of Fudan University and nine cases identified through PubMed database search of viral encephalitis with concomitant RESLES (16–23). Inclusion criteria for viral encephalitis: supported by etiological evidence, presenting with neurological symptoms of encephalitis, exclusion of other diseases, and imaging findings consistent with RESLES (Table 2). The cases of viral encephalitis had clear evidence of the pathogen and other diseases were excluded.
2.2 Methods
For both cohorts, we systematically extracted and analyzed data encompassing clinical presentations, laboratory results, treatment regimens, and clinical outcomes. All statistical analyses were conducted using SPSS software (version 29.0; IBM Corp). Categorical variables were compared using Fisher's exact test, with a two-tailed P-value < 0.05 considered statistically significant.
The study protocol adhered to the ethical guidelines of the Declaration of Helsinki. For the retrospectively collected cases from our institution, all patient data were de-identified prior to analysis, and the study was approved by the Institutional Review Board of Huashan Hospital of Fudan University. Cases obtained from published literature involved only secondary analysis of anonymized, publicly available data, thus maintaining strict patient confidentiality throughout the research process.
3 Results
GFAP-A group (n = 12): anti-GFAP antibodies were detected positively in the cerebrospinal fluid of all cases. Additionally, Case 2 tested positive for anti-N-methyl-D-aspartate receptor (NMDAR) antibodies in both serum and cerebrospinal fluid. Universal CSF findings included pleocytosis and elevated protein, with post-treatment improvement in 6 of 12 cases (6 lacked follow-up) and hypoglycorrhachia in 8 cases. Refractory hyponatremia was observed in 9 cases despite sodium supplementation (Table 1).
Brain MRI revealed RESLES-compatible abnormal signals in the SCC in all cases (Figure 1). Enhanced spinal MRI showed leptomeningeal enhancement in four cases (Figure 2). All patients received immunotherapy (corticosteroids, IVIG, or monoclonal antibodies), resulting in complete recovery in seven cases and neurological sequelae in five, with a maximum mRS score of 5.

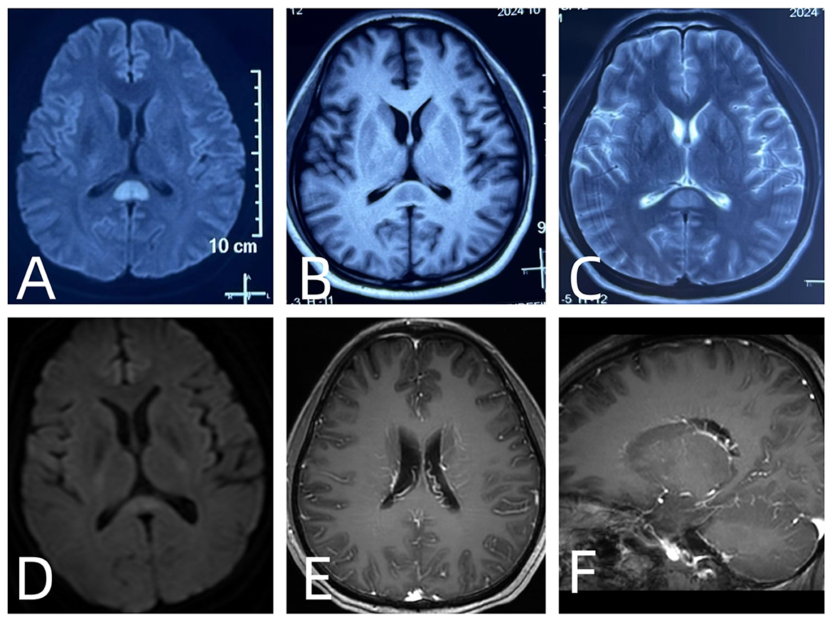
Figure 1. (A) diffusion-weighted imaging (DWI): hyperintense signal in the splenium of the corpus callosum. (B) T1-weighted imaging (T1WI): hypointense signal in the splenium of the corpus callosum. (C) T2-weighted imaging (T2WI): hyperintense signal in the splenium of the corpus callosum. (D) Follow-up DWI: resolution of the previously observed hyperintense signal in the splenium of the corpus callosum. (E, F) Post-contrast imaging: linear perivascular enhancement radiating outward from the lateral ventricles.

Figure 2. (G, I) T1-weighted contrast-enhanced (CE-T1WI): linear enhancement of the cervical spinal cord pia mater. (H) CE-T1WI: linear enhancement of the pial membrane in the thoracic spinal cord (J) CE-T1WI: leptomeningeal enhancement around the conus.
In the viral encephalitis cohort, all cases were virologically confirmed and demonstrated characteristic RESLES findings on brain MRI. Cerebrospinal fluid (CSF) analysis showed an elevated cell count in two cases and increased protein levels in three cases, while glucose levels were within normal limits in all patients. Treatment regimens included antiviral therapy (7 cases), corticosteroid immunotherapy (4 cases), or no intervention (1 case). All patients recovered completely without neurological sequelae.
Table 3 presents a comparison between the GFAP-A and viral encephalitis cohorts in terms of gender, clinical manifestations, laboratory findings, treatment, and outcomes. No significant differences were observed in gender distribution, movement disturbances, or psychiatric symptoms. In contrast, urinary dysfunction was significantly more frequent in the GFAP-A group (6 vs. 0 cases; p = 0.015). Marked intergroup differences were noted in laboratory results: the GFAP-A cohort exhibited significantly higher rates of hyponatremia (9 vs. 1; p = 0.004), CSF pleocytosis (12 vs. 2; p < 0.001), hyperproteinorrhachia (12 vs. 3; p < 0.001), and hypoglycorrhachia (8 vs. 0; p = 0.002).
Treatment strategies also differed markedly between the two groups, particularly regarding the use of immunotherapy. Clinical outcomes diverged significantly: five patients in the GFAP-A group developed neurological sequelae—primarily persistent urinary dysfunction, including one severe case with an mRS score of 5—while all viral encephalitis patients achieved complete recovery without residual deficits (p = 0.035).
In summary, GFAP-A and viral encephalitis demonstrated significant clinical differences across multiple domains: (1) clinical manifestations—with distinct prevalence of urinary dysfunction in GFAP-A; (2) laboratory parameters—showing marked differences in hyponatremia incidence and CSF profiles (pleocytosis, protein elevation, and hypoglycorrhachia); and (3) prognostic outcomes—with neurological sequelae exclusively observed in GFAP-A cases. These divergent features form evidence-based diagnostic parameters for accurate clinical differentiation.
4 Discussion
GFAP-A is a rare neuroinflammatory disorder. Its most common clinical manifestations include meningoencephalomyelitis (32%), meningoencephalitis (24%), and encephalitis (12%) (24). These presentations closely resemble those of viral encephalitis, which typically presents with acute onset, fever, altered consciousness (ranging from confusion to coma), and seizures (both focal and generalized) (25). Notably, several viruses—including influenza, rotavirus, measles, adenovirus, human parvovirus B19, cytomegalovirus, and EB virus—are known to cause encephalitis with characteristic splenial lesions of the corpus callosum (26). The clinical similarity between GFAP-A and viral encephalitis poses significant diagnostic challenges. However, CSF analysis provides key differentiating features: while viral encephalitis typically shows lymphocytic pleocytosis with normal glucose and normal/mildly elevated protein levels (25), GFAP-A often demonstrates more pronounced CSF abnormalities (5), including marked protein elevation and, in some cases, increased adenosine deaminase (ADA) levels (27) -findings uncommon in viral encephalitis.
Retrospective studies indicate that 54%−84% of GFAP-A patients exhibit cerebrospinal fluid (CSF) abnormalities, including pleocytosis (elevated white blood cell count) and increased protein levels (28). Notably, CSF pleocytosis is considered a key diagnostic biomarker for GFAP-A (10), a finding consistent with our analysis. However, the clinical significance of CSF abnormalities—including their correlation with disease severity and long-term prognosis—remains unclear and warrants further investigation.
In the GFAP-A cohort, decreased CSF glucose levels were observed in 8 cases (66.7%), a finding that showed a statistically significant difference when compared to the control group. A similar phenomenon was reported in 18% of the 102 patients included in the Mayo Clinic cohort (10), although the underlying mechanism remains unclear and requires further investigation.
Although no statistically significant difference in movement disturbances was observed between the GFAP-A and viral encephalitis groups in our cohort, literature reports indicate (24) that 59% of GFAP-A patients develop motor dysfunction—manifested as gait disturbances, ataxia, tremors, limb weakness, or myoclonus—while 38% exhibit autonomic dysfunction. Urinary dysfunction and hyponatremia are key indicators in identifying suspected cases of GFAP-A (27), a pattern that aligns with our observational findings. In clinical practice, splenial lesions of the corpus callosum on neuroimaging often raise initial suspicion for viral causes. However, when such radiological features co-occur with motor or autonomic dysfunction, GFAP-A should be considered an important differential diagnosis. We therefore recommend prompt testing for GFAP-IgG antibodies in these scenarios and initiating immunotherapy promptly upon confirmation.
The above analysis suggests that RESLES patients can be preliminarily differentiated between GFAP-A and viral encephalitis through distinct clinical and laboratory features. Clinically, the co-occurrence of motor dysfunction and urinary dysfunction strongly favors GFAP-A. Laboratory findings including hyponatremia, CSF pleocytosis (typically with normal glucose but elevated protein levels) provide additional discriminative value in distinguishing these two conditions.
5 Conclusion
RESLES is a clinically and etiologically heterogeneous syndrome. While most patients have a favorable prognosis with appropriate treatment, accurate etiological diagnosis is essential. In clinically ambiguous cases, comprehensive GFAP antibody testing in both serum and CSF is recommended, along with attention to characteristic features of GFAP-A such as autonomic dysfunction, hyponatremia, and CSF abnormalities (pleocytosis, elevated protein, or hypoglycorrhachia). Pending test results, early presumptive diagnosis may facilitate prompt initiation of corticosteroid therapy. Serial MRI follow-up is also advised to monitor radiological progression.
6 Limitation
Our study has several limitations. First, its retrospective nature may introduce potential biases in data collection and interpretation. Additionally, the small sample size limits the statistical power and generalizability of our findings, underscoring the need for further validation through larger, prospective studies. Moreover, in clinical practice, viral infections may potentially trigger GFAP-A, and viral encephalitis can exhibit features overlapping with those of GFAP-A, necessitating careful differential diagnosis by clinicians based on individual patient presentations.
Author contributions
LL: Conceptualization, Writing – original draft. XL: Formal analysis, Writing – review & editing. CQ: Writing – review & editing, Supervision. JZ: Formal analysis, Writing – review & editing. HT: Writing – review & editing, Formal analysis. YW: Investigation, Writing – review & editing. SX: Writing – review & editing, Investigation. ZD: Writing – review & editing, Investigation.
Funding
The author(s) declare that no financial support was received for the research and/or publication of this article.
Acknowledgments
Special thanks to Professor Quan Chao from Huashan Hospital, Fudan University, for her guidance.
Conflict of interest
The authors declare that the research was conducted in the absence of any commercial or financial relationships that could be construed as a potential conflict of interest.
Generative AI statement
The author(s) declare that no Gen AI was used in the creation of this manuscript.
Any alternative text (alt text) provided alongside figures in this article has been generated by Frontiers with the support of artificial intelligence and reasonable efforts have been made to ensure accuracy, including review by the authors wherever possible. If you identify any issues, please contact us.
Publisher's note
All claims expressed in this article are solely those of the authors and do not necessarily represent those of their affiliated organizations, or those of the publisher, the editors and the reviewers. Any product that may be evaluated in this article, or claim that may be made by its manufacturer, is not guaranteed or endorsed by the publisher.
References
1. Kim SS, Chang KH, Kim ST, Suh DC, Cheon JE, Jeong SW, et al. Focal lesion in the splenium of the corpus callosum in epileptic patients: antiepileptic drug toxicity? AJNR Am J Neuroradiol. (1999) 20:125–9.
2. Garcia-Monco JC, Cortina IE, Ferreira E, Martínez A, Ruiz L, Cabrera A, et al. Reversible splenial lesion syndrome (RESLES): what's in a name? J Neuroimaging. (2011) 21:e1–e14. doi: 10.1111/j.1552-6569.2008.00279.x
3. Lu PL, Hodes JF, Zheng X, Hu XY. Reversible splenial lesion syndrome with some novel causes and clinical manifestations. Intern Med. (2020) 59:2471–80. doi: 10.2169/internalmedicine.4516-20
4. Nakamura S, Fujioka T, Kawashima S, Kawaguchi T, Mizuno M, Omura M, et al. Self-remitting elevation of adenosine deaminase levels in the cerebrospinal fluid with autoimmune glial fibrillary acidic protein astrocytopathy: a case report and review of the literature. Intern Med. (2021) 60:3031–6. doi: 10.2169/internalmedicine.6457-20
5. Shan F, Long Y, Qiu W. Autoimmune glial fibrillary acidic protein astrocytopathy: a review of the literature. Front Immunol. (2018) 9:2802. doi: 10.3389/fimmu.2018.02802
6. Equiza J, Rodríguez-Antigüedad J, Campo-Caballero D, Iruzubieta P, Prada Á, Roncancio A, et al. Autoimmune GFAP astrocytopathy presenting with remarkable CNS hyperexcitability and oculogyric crises. J Neuroimmunol. (2021) 359:577695. doi: 10.1016/j.jneuroim.2021.577695
7. Lin J, Dong L, Yu L, Huang J. Autoimmune glial fibrillary acidic protein astrocytopathy coexistent with reversible splenial lesion syndrome: a case report and literature review. Front Neurol. (2023) 14:1192118. doi: 10.3389/fneur.2023.1192118
8. So H, Ohashi T, Yamagishi S, Mori H, Takanashi Ji. Case of autoimmune glial fibrillary acidic protein astrocytopathy associated with Epstein–Barr virus reactivation. Clin Exp Neuroimmunol. (2021) 13:106–10. doi: 10.1111/cen3.12659
9. Wang S, Yuan J, Liu J. Autoimmune glial fibrillary acidic protein (Gfap) astrocytopa-thy accompanied with reversible splenial lesion syndrome (RESLES): a case report and literature review. Brain Sci. (2023) 13:659. doi: 10.3390/brainsci13040659
10. Flanagan EP, Hinson SR, Lennon VA, Fang B, Aksamit AJ, Morris PP, et al. Glial fibrillary acidic protein immunoglobulin G as biomarker of autoimmune astrocytopathy: analysis of 102 patients. Ann Neurol. (2017) 81:298–309. doi: 10.1002/ana.24881
11. Issa N, Martin C, Dulau C, Camou F. Severe anti-GFAP meningo-encephalomyelitis following viral infection. Mult Scler Relat Disord. (2020) 45:102448. doi: 10.1016/j.msard.2020.102448
12. Héraud C, Capet N, Levraut M, Hattenberger R, Bourg V, Thomas P, et al. Glial fibrillary acidic protein (GFAP) astrocytopathy presenting as mild encephalopathy with reversible splenium lesion. Neurol Ther. (2021) 11:499–505. doi: 10.1007/s40120-021-00302-y
13. Oger V, Bost C, Salah L, Yazbeck E, Maurey H, Bellesme C, et al. Mild Encephalitis/Encephalopathy with reversible splenial lesion syndrome: an unusual presentation of anti-GFAP astrocytopathy. Eur J Paediatr Neurol. (2020) 26:89–91. doi: 10.1016/j.ejpn.2020.03.002
14. Guo K, Lai X, Liu Y, Zhou D, Hong Z. Anti-glial fibrillary acidic protein antibodies as a cause of reversible splenial lesion syndrome (RESLES): a case report. Neurol Sci. (2021) 42:3903–7. doi: 10.1007/s10072-021-05376-y
15. Ahmed S, K VCC, Kannoth S, Raeesa F, Misri Z, Mascarenhas DG, et al. Autoimmune GFAP astrocytopathy-beyond the known horizon, India's first multifaceted institutional experience. Ann Neurosci. (2024) 9727531241230213. doi: 10.1177/09727531241230213
16. Takatsu H, Ishimaru N, Ito M, Kinami S. Mild encephalitis/encephalopathy with a reversible splenial lesion in an adult patient with influenza. Intern Med. (2017) 56:3093–5. doi: 10.2169/internalmedicine.8997-17
17. Nagae K, Haraguchi M, Sakoh T, Ishida K, Ogura S, Katoh-Morishima M, et al. A case of mild encephalitis associated with COVID-19. J Gen Fam Med. (2023) 24:307–10. doi: 10.1002/jgf2.646
18. Matsubara K, Kodera M, Nigami H, Yura K, Fukaya T. Reversible splenial lesion in influenza virus encephalopathy. Pediatr Neurol. (2007) 37:431–4. doi: 10.1016/j.pediatrneurol.2007.08.008
19. Kimura E, Okamoto S, Uchida Y, Hirahara T, Ikeda T, Hirano T, et al. A reversible lesion of the corpus callosum splenium with adult influenza-associated encephalitis/encephalopathy: a case report. J Med Case Rep. (2008) 2:220. doi: 10.1186/1752-1947-2-220
20. Takanashi J, Barkovich AJ, Yamaguchi K, Kohno Y. Influenza-associated encephalitis/encephalopathy with a reversible lesion in the splenium of the corpus callosum: a case report and literature review. AJNR Am J Neuroradiol. (2004) 25:798–802. doi: 10.1055/s-2003-814888
21. Hagemann G, Mentzel HJ, Weisser H, Kunze A, Terborg C. Multiple reversible MR signal changes caused by Epstein-Barr virus encephalitis. AJNR Am J Neuroradiol. (2006) 27:1447–49. doi: 10.1016/j.acra.2006.05.006
22. Fu M-L, Han N, Wang W. Cytomegalovirus-associated mild encephalopathy/encephalitis with reversible splenial lesion. Neurologist. (2021) 26:172–4. doi: 10.1097/NRL.0000000000000334
23. Balagopal K, Muraleedharan A, Koshy A. Reversible splenial lesion syndrome associated with varicella encephalitis. Neurol India. (2023) 71:401–2. doi: 10.4103/0028-3886.375384
24. Hagbohm C, Ouellette R, Flanagan EP, Jonsson DI, Piehl F, Banwell B, et al. Clinical and neuroimaging phenotypes of autoimmune glial fibrillary acidic protein astrocytopathy: a systematic review and meta-analysis. Eur J Neurol. (2024) 31:e16284. doi: 10.1111/ene.16284
25. Siciliano V, Rosà T, Del Vecchio P, D'Angelillo A, Brigida M, Longhitano Y, et al. Viral encephalitis in adults: a narrative review. Rev. Recent Clin. Trials. (2022) 17:259–67. doi: 10.2174/1574887116666211118141117
26. Tetsuka S. Reversible lesion in the splenium of the corpus callosum. Brain Behav. (2019) 9:e01440. doi: 10.1002/brb3.1440
27. Kimura A, Takekoshi A, Yoshikura N, Hayashi Y, Shimohata T. Clinical characteristics of autoimmune GFAP astrocytopathy. J Neuroimmunol. (2019) 332:91–8. doi: 10.1016/j.jneuroim.2019.04.004
Keywords: autoimmune glial fibrillary acidic protein astrocytopathy (GFAP-A), GFAP, splenium of corpus callosum, corpus callosum, RESLES, viral encephalitis
Citation: Lin L, Li X, Quan C, Zhangbao J, Tan H, Wang Y, Xu S and Dai Z (2025) Glial fibrillary acidic protein autoimmunity in reversible splenial lesion syndrome: diagnostic and therapeutic implications. Front. Neurol. 16:1650256. doi: 10.3389/fneur.2025.1650256
Received: 19 June 2025; Accepted: 08 September 2025;
Published: 29 September 2025.
Edited by:
Md Nasir Uddin, University of Rochester, United StatesReviewed by:
Mohammadali Nahayati, University of Cincinnati, United StatesSafwan Ahmed, Hamad General Hospital, Qatar
Copyright © 2025 Lin, Li, Quan, Zhangbao, Tan, Wang, Xu and Dai. This is an open-access article distributed under the terms of the Creative Commons Attribution License (CC BY). The use, distribution or reproduction in other forums is permitted, provided the original author(s) and the copyright owner(s) are credited and that the original publication in this journal is cited, in accordance with accepted academic practice. No use, distribution or reproduction is permitted which does not comply with these terms.
*Correspondence: Xiang Li, eHNsa2VycnlAMTI2LmNvbQ==