BRIEF RESEARCH REPORT article
Front. Neurol.
Sec. Neuroinfectious Diseases
This article is part of the Research TopicUpdating Long COVID: Mechanisms, Risk Factors, and Treatment Volume IIView all 6 articles
Brain MRI Findings in Patients with Post COVID-19 Condition: Frequency and Longitudinal Changes in a Nationwide Cohort Study
Provisionally accepted- 1Division of Radiology and Nuclear Medicine, Oslo universitetssykehus, Oslo, Norway
- 2Institute of Clinical Medicine, Faculty of Medicine, University of Oslo, Oslo, Norway
- 3Department of Radiology, Sorlandet sykehus HF Arendal, Arendal, Norway
- 4Department of Neurology, Oslo universitetssykehus, Oslo, Norway
- 5Center for Lifespan Changes in Brain and Cognition, Department of Psychology, University of Oslo, Oslo, Norway
- 6Department of Neurology, Sykehuset Namsos, Namsos, Norway
- 7Department of Neurology, Sykehuset Innlandet Lillehammer, Lillehammer, Norway
- 8Department of Neurology, Sykehuset Telemark HF, Skien, Norway
- 9Department of Neurology, Molde sjukehus, Molde, Norway
- 10Department of Neurology, Nordlandssykehuset HF, Bodø, Norway
- 11The Intervention Centre, Oslo universitetssykehus, Oslo, Norway
- 12Department of Neurology, Sykehuset Ostfold HF, Grålum, Norway
- 13Department of Neurology and Clinical Neurophysiology, St Olav's Hospital HF, Trondheim, Norway
- 14Department of Neuromedicine and Movement Science, Faculty of Medicine and Health Sciences, Norges teknisk-naturvitenskapelige universitet, Trondheim, Norway
- 15Department of Neurology, Akershus Universitetssykehus HF, Lørenskog, Norway
- 16Department of Neurology, Haukeland Universitetssjukehus, Bergen, Norway
- 17Department of Clinical Medicine, Universitetet i Bergen, Bergen, Norway
- 18Institute of Population Health, Faculty of Health and Life Sciences, University of Liverpool, Liverpool, United Kingdom
Select one of your emails
You have multiple emails registered with Frontiers:
Notify me on publication
Please enter your email address:
If you already have an account, please login
You don't have a Frontiers account ? You can register here
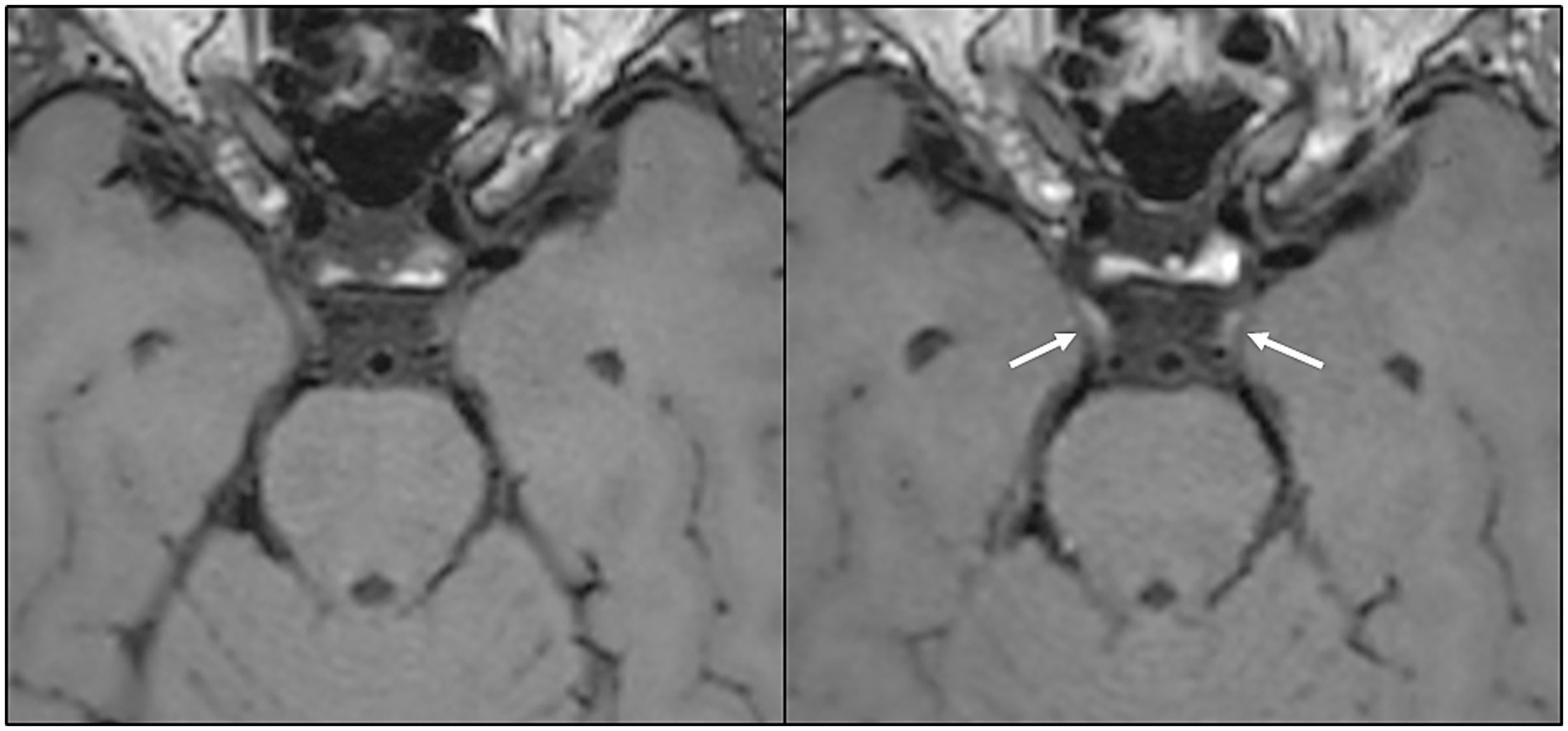
Background: Prolonged neurological symptoms following COVID-19 are common, yet few longitudinal studies describe brain MRI findings in this patient group. The use of contrast enhanced sequences is particularly lacking. We address this knowledge gap by reporting the frequency and longitudinal changes in brain MRI findings among patients with post COVID-19 condition exhibiting neurological symptoms. Methods: This prospective multicenter study included 140 adult patients referred for persistent neurological symptoms following COVID-19. Brain MRI was performed at both six and 12 months after infection onset, reporting white matter hyperintensities, cerebral microbleeds, and additional pathological findings including contrast enhancement. White matter hyperintensities were compared with a healthy control group. Results: The prevalence of white matter hyperintensities was comparable to healthy controls, and microbleeds were found at rates comparable to population studies, with longitudinal changes being infrequent. Lesions consistent with inflammation or demyelination were present in 4% (5/120) of patients at six months. Cranial nerve enhancement was found in 7% (7/94) of patients, persisting up to 12 months, predominantly affecting the oculomotor nerve. However, enhancement occurred without clinically detected ocular muscle paresis. Conclusion: Our findings indicate that brain MRI primarily serves to exclude differential diagnoses in post COVID-19 condition, with limited clinical benefit of repeated imaging in the absence of new symptoms. However, signs of long-term inflammatory processes can be observed, and detection is improved by contrast enhanced sequences.
Keywords: Post COVID-19 condition, Long Covid, brain MRI, Neuroimaging, Neurological symptoms, Cranial nerve enhancement, Longitudinal
Received: 08 Jul 2025; Accepted: 28 Oct 2025.
Copyright: © 2025 Furevik, Lapina, Lindland, Høgestøl, Geier, Devik, Farmen, Flemmen, Harbo, Morsund, Novotny, Ofte, Pedersen, Popperud, Ratajczak-Tretel, Samsonsen, Selnes, Torkildsen, Undseth, Aamodt, Beyer and Boldingh. This is an open-access article distributed under the terms of the Creative Commons Attribution License (CC BY). The use, distribution or reproduction in other forums is permitted, provided the original author(s) or licensor are credited and that the original publication in this journal is cited, in accordance with accepted academic practice. No use, distribution or reproduction is permitted which does not comply with these terms.
* Correspondence: Liv Lygre Furevik, liv.furevik@gmail.com
Disclaimer: All claims expressed in this article are solely those of the authors and do not necessarily represent those of their affiliated organizations, or those of the publisher, the editors and the reviewers. Any product that may be evaluated in this article or claim that may be made by its manufacturer is not guaranteed or endorsed by the publisher.
