ORIGINAL RESEARCH article
Front. Neurol.
Sec. Endovascular and Interventional Neurology
Risk factors and impact on outcomes of high-density shadow on immediate cerebral CT after successful interventional recanalization in acute ischemic stroke with large vessel occlusion
Provisionally accepted- 1Heyuan People's Hospital, Heyuan, China
- 2Qingyuan People's Hospital, Qingyuan, China
- 3Shenzhen Hospital of Southern Medical University, Shenzhen, China
Select one of your emails
You have multiple emails registered with Frontiers:
Notify me on publication
Please enter your email address:
If you already have an account, please login
You don't have a Frontiers account ? You can register here
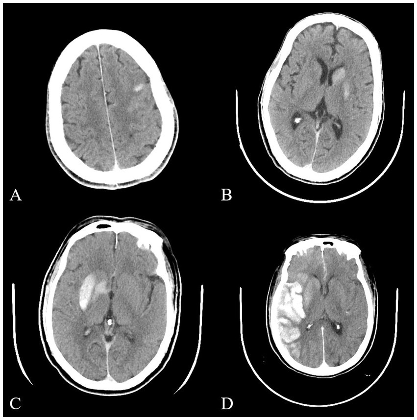
Objective: To explore the risk factors, classification, relation with hemorrhage and clinical significance of high-density shadow on immediate cerebral CT in patients with large vessel occlusion acute ischemic stroke after successful interventional recanalization. Methods: A retrospective analysis was conducted on patients with acute ischemic stroke due to anterior circulation large vessel occlusion who received interventional recanalization from January 2019 to December 2023 in Heyuan People's Hospital. The main inclusion criteria included NIHSS score ≥6 points at the time of onset, The time from onset to femoral artery puncture ≤24 hours and so on. The main exclusion criteria included pre onset mRS score > 2 points, the vital signs were unstable during the onset of the disease and so on. Variables we studied included NIHSS score at admission, preoperative ASPECT score, blood flow reperfusion eTICI grading, surgical methods and so on. According to the distribution, density, volume, etc. of cerebral hyperdensity, high-density shadow was divided into cortical type, soft type, metallic type, and diffuse type. Results: 318 patients showed high-density shadow on cerebral CT immediately after successful interventional recanalization. In multiple logistic regression analysis, the history of hypertension and preoperative ASPECT score were correlated independently with the occurrence of high-density shadow. 27 patients experienced symptomatic intracranial hemorrhage. It was found that high-density shadow was not independent with symptomatic intracranial hemorrhage in univariate logistic regression analysis (P>0.05). In the classification of high-density shadow, there were 16 cases of cortical type, 85 cases of soft type, 80 cases of metallic type, and 137 cases of diffuse type. Patients with diffuse type had the highest incidence of futile recanalization, symptomatic intracranial hemorrhage, malignant brain edema, and highest mortality rate within 3 months after surgery (P<0.05). Conclusion: A low preoperative ASPECT score was an independent risk factor of high-density shadow on immediate cerebral CT after successful interventional recanalization, while a history of hypertension, mere use of balloon angioplasty and combination of balloon angioplasty and stent implantation may serve as a protective factor. Patients with diffuse high-density shadow had the worst prognosis and the highest incidence of symptomatic intracranial hemorrhage and malignant brain edema.
Keywords: Large vessel occlusion, Acute ischemic stroke, Interventional recanalization, High-density shadow, Immediate cerebral CT
Received: 11 Jul 2025; Accepted: 07 Nov 2025.
Copyright: © 2025 Zhang, Xing, Feng, Wen, Zhu, Lan, Zhong, Jiang and Ling. This is an open-access article distributed under the terms of the Creative Commons Attribution License (CC BY). The use, distribution or reproduction in other forums is permitted, provided the original author(s) or licensor are credited and that the original publication in this journal is cited, in accordance with accepted academic practice. No use, distribution or reproduction is permitted which does not comply with these terms.
* Correspondence:
Xiaojing Zhong, zhongxiaojing1979@163.com
Zhenqin Jiang, jiangzhenqin2024@163.com
Li Ling, linglirabbit@163.com
Disclaimer: All claims expressed in this article are solely those of the authors and do not necessarily represent those of their affiliated organizations, or those of the publisher, the editors and the reviewers. Any product that may be evaluated in this article or claim that may be made by its manufacturer is not guaranteed or endorsed by the publisher.
