ORIGINAL RESEARCH article
Front. Neurol.
Sec. Neuro-Ophthalmology
Optic Nerve Sheath Enhancement in Patients with a New Diagnosis of Idiopathic Intracranial Hypertension
Provisionally accepted- 1Department of Neurology, UniversitatsSpital Zurich, Zürich, Switzerland
- 2Department of Morphological and Socio-Sanitary Sciences, Universidad de Cordoba, Córdoba, Spain
- 3Department of Ophthalmology, Emory University School of Medicine, Atlanta, United States
- 4Department of Radiology and Imaging Sciences; Department of Neurological Surgery, Emory University School of Medicine, Atlanta, United States
- 5Department of Ophthalmology; Department of Neurology, Emory University School of Medicine, Atlanta, United States
- 6Department of Ophthalmology; Department of Neurological Surgery; Department of Neurology, Emory University School of Medicine, Atlanta, United States
Select one of your emails
You have multiple emails registered with Frontiers:
Notify me on publication
Please enter your email address:
If you already have an account, please login
You don't have a Frontiers account ? You can register here
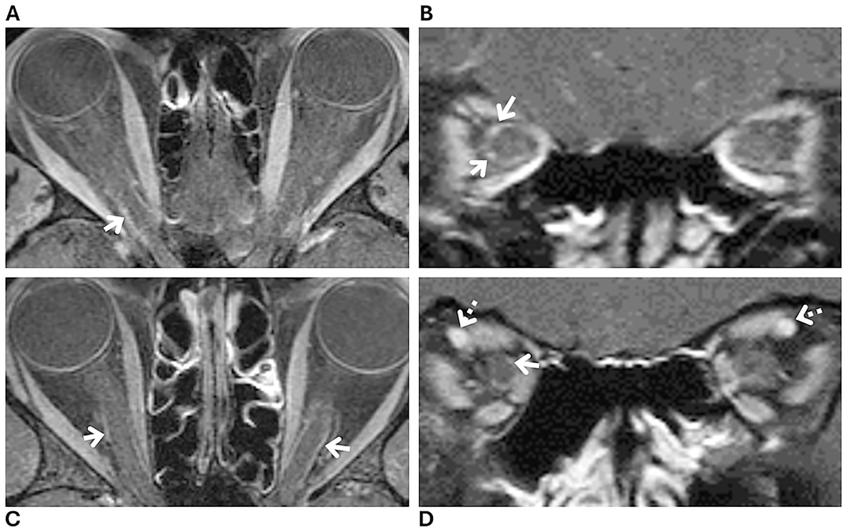
Introduction: Optic nerve sheath enhancement (ONSE) is a radiologic sign commonly associated with a diagnosis of optic perineuritis. However, recent studies have reported this radiologic sign in patients with idiopathic intracranial hypertension (IIH). The presence of ONSE in patients with IIH may lead to optic perineuritis diagnosis in excess. We evaluated the prevalence of ONSE in patients with a new diagnosis of IIH. Methods: Retrospective study of consecutive patients who presented to the emergency department of our quaternary care center with a suspected intracranial pressure disorder between June 15, 2023 and July 1, 2024. Patients who received a new diagnosis of IIH fulfilling the 2013 revised diagnostic criteria and who underwent orbital magnetic resonance imaging (MRI) with fat-suppressed contrast-enhanced sequences were included. An expert neuroradiologist evaluated all orbital MRIs for the presence of ONSE. Results: Forty-three patients with a new diagnosis of IIH were included (mean age, 31±7 years; 100% women; 72% Black, 20 % White, and 8 % other). Of these 43 patients, three were categorized as having suggested ONSE versus blood vessels. The remaining 40 patients were categorized as having no ONSE. Discussion: ONSE is a radiologic sign that may occur in approximately 7 % of patients with newly diagnosed IIH. However, the distinction between mild ONSE and blood vessels surrounding or within the optic nerve sheath is challenging. A location at the distal infraorbital portion of the optic nerve sheath and a corkscrew appearance are suggestive of a vascular etiology. Awareness of this radiologic sign in patients with IIH is important to avoid optic perineuritis diagnosis in excess.
Keywords: Idiopathic Intracranial Hypertension, optic nerve sheath enhancement, Intracranial Hypertension, Misdiagnosis, Optic perineuritis
Received: 17 Sep 2025; Accepted: 30 Oct 2025.
Copyright: © 2025 Labella Álvarez, Saindane, Biousse and Newman. This is an open-access article distributed under the terms of the Creative Commons Attribution License (CC BY). The use, distribution or reproduction in other forums is permitted, provided the original author(s) or licensor are credited and that the original publication in this journal is cited, in accordance with accepted academic practice. No use, distribution or reproduction is permitted which does not comply with these terms.
* Correspondence: Nancy J Newman, ophtnjn@emory.edu
Disclaimer: All claims expressed in this article are solely those of the authors and do not necessarily represent those of their affiliated organizations, or those of the publisher, the editors and the reviewers. Any product that may be evaluated in this article or claim that may be made by its manufacturer is not guaranteed or endorsed by the publisher.
