CASE REPORT article
Front. Surg.
Sec. Orthopedic Surgery
This article is part of the Research TopicMinimally Invasive Treatments for Lumbar Spine DisordersView all 23 articles
Experience in surgical management of vertebral posterior marginal osteophytes completely encasing the nerve root: a report of two cases
Provisionally accepted- 1People's Liberation Army Joint Logistics Support Force 940th Hospital, Lanzhou, China
- 2The 943rd Hospital of Joint Logistic Support Force of PLA, Wuwei, China
- 3The First Clinical Medical College, Gansu University of Chinese Medicine, Lanzhou, Gansu Province, China
Select one of your emails
You have multiple emails registered with Frontiers:
Notify me on publication
Please enter your email address:
If you already have an account, please login
You don't have a Frontiers account ? You can register here
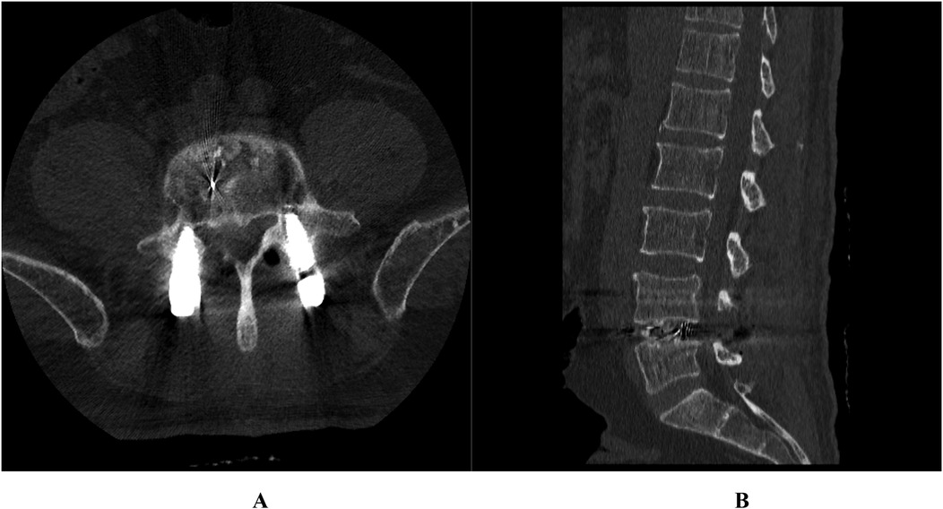
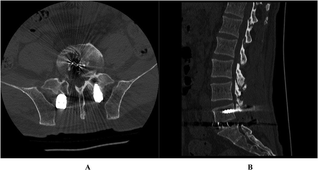
Posterior marginal osteophytes at the vertebral level are frequently observed in individuals with lumbar disc herniation (LDH); however, complete encasement of the nerve root by such osteophytes is exceedingly uncommon. We present two cases of surgical management of vertebral posterior marginal osteophytes completely encasing the nerve root. This report examined two cases of LDH accompanied by vertebral posterior marginal osteophytes completely encasing the nerve roots. Both patients underwent spinal canal decompression, discectomy, and intervertebral fusion. Postoperatively, varying degrees of nerve root injury were noted. By the 3-month follow-up, marked recovery in neurological function was achieved in both cases. The presence of vertebral posterior marginal osteophytes completely encasing the nerve root represents a notable risk factor for nerve root injury in LDH cases. Tailored surgical approaches are imperative to minimize complications and optimize patient outcomes.
Keywords: Lumbar disc herniation, Osteophytes, Nerve root injury, case report, spinal canaldecompression, discectomy
Received: 26 Apr 2025; Accepted: 31 Oct 2025.
Copyright: © 2025 Li, Tan, Song, Zhang and Li. This is an open-access article distributed under the terms of the Creative Commons Attribution License (CC BY). The use, distribution or reproduction in other forums is permitted, provided the original author(s) or licensor are credited and that the original publication in this journal is cited, in accordance with accepted academic practice. No use, distribution or reproduction is permitted which does not comply with these terms.
* Correspondence: 
Xingguo  Tan, 997602550@qq.com
Songkai  Li, lisongkai1204@qq.com
Disclaimer: All claims expressed in this article are solely those of the authors and do not necessarily represent those of their affiliated organizations, or those of the publisher, the editors and the reviewers. Any product that may be evaluated in this article or claim that may be made by its manufacturer is not guaranteed or endorsed by the publisher.
