ORIGINAL RESEARCH article
Front. Surg.
Sec. Surgical Oncology
Radical Nephrectomy With Inferior Vena Cava Tumor Thrombectomy in Mayo III–IV Renal Cell Carcinoma: A Retrospective Single-Center Study
Provisionally accepted- 1GBUZ Gorodskaa kliniceskaa bol'nica imeni S P Botkina Departamenta zdravoohranenia goroda Moskvy, Moscow, Russia
- 2Rossijskaa medicinskaa akademia nepreryvnogo professional'nogo obrazovania, Moscow, Russia
- 3Department of Health, Moscow, Moscow, Russia
Select one of your emails
You have multiple emails registered with Frontiers:
Notify me on publication
Please enter your email address:
If you already have an account, please login
You don't have a Frontiers account ? You can register here
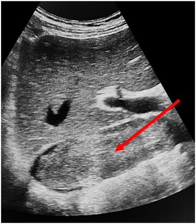
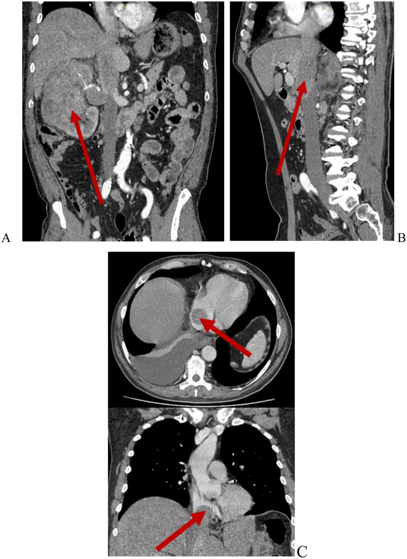
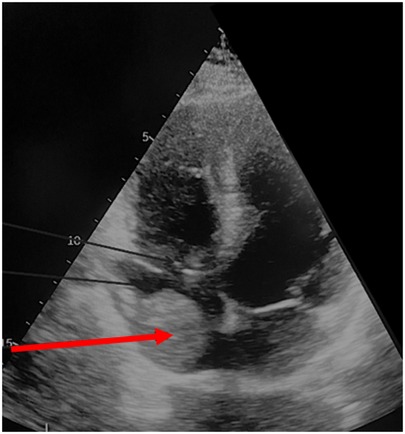
AbstractBackground:Tumor thrombus extending into the inferior vena cava (IVC) in patients with renal cell carcinoma (RCC), particularly at Mayo levels III and IV, presents a major surgical challenge. Although systemic treatments are evolving, surgery remains the mainstay of management. The role of cardiopulmonary bypass (CPB) in this setting is not clearly defined.Methods:We retrospectively analyzed 20 patients with RCC and Mayo level III–IV IVC tumor thrombus who underwent radical nephrectomy with IVC thrombectomy at our center between 2017 and 2024. Preoperative workup included MRI, contrast-enhanced CT, and transthoracic/transesophageal echocardiography. CPB was used selectively in five patients with tumor extension into and adherence to the right atrium. Postoperative complications were classified using the Clavien–Dindo system. Survival was assessed with Kaplan–Meier analysis and Cox regression.Results:Median age was 61 years (IQR 51–72), and 70% were male. Level IV thrombus was present in 60% of patients, and 40% had distant metastases. Median operative time was 370 minutes and median blood loss was 2,500 mL. Postoperative complications occurred in 20% of patients, with one in-hospital death (5%). Median hospital stay was 11 days. The 1-, 3-, and 5-year overall survival rates were 66.7%, 41.6%, and 34.6%, respectively. Distant metastases were associated with lower survival (HR 2.48; p = 0.005), while immuno-targeted therapy improved outcomes (HR 0.69; p = 0.035).Conclusion:Radical nephrectomy with IVC thrombectomy in patients with advanced tumor thrombus can be performed safely with good long-term outcomes in selected cases. Careful preoperative imaging, intraoperative echocardiography, and the selective use of CPB are key to minimizing risks. These findings support a tailored surgical approach based on thrombus level and clinical condition. Further prospective studies are needed to refine surgical indications and clarify the role of systemic therapy.
Keywords: Renal cell carcinoma (RCC), Inferior vena cava (IVC), Tumor thrombus, radical nephrectomy (RN), Cardiopulmonary Bypass, Mayo classification, surgical oncology, Long-term survival
Received: 11 Jun 2025; Accepted: 24 Oct 2025.
Copyright: © 2025 Shabunin, Grekov, Karpov, Drozdov, Karabach, Levikov, Glushenko, Bagatelia, Veliev and Bogdanov. This is an open-access article distributed under the terms of the Creative Commons Attribution License (CC BY). The use, distribution or reproduction in other forums is permitted, provided the original author(s) or licensor are credited and that the original publication in this journal is cited, in accordance with accepted academic practice. No use, distribution or reproduction is permitted which does not comply with these terms.
* Correspondence: Pavel Drozdov, dc.drozdov@gmail.com
Disclaimer: All claims expressed in this article are solely those of the authors and do not necessarily represent those of their affiliated organizations, or those of the publisher, the editors and the reviewers. Any product that may be evaluated in this article or claim that may be made by its manufacturer is not guaranteed or endorsed by the publisher.
