CASE REPORT article
Front. Surg.
Sec. Neurosurgery
Dumbbell Ganglioneuroma of the Lumbar Spine: A Case Report and Literature Review
Provisionally accepted- 1Jining Medical University, Jining, China
- 2Affiliated Hospital of Jining Medical University, Jining, China
- 3China Medical University, Shenyang, China
Select one of your emails
You have multiple emails registered with Frontiers:
Notify me on publication
Please enter your email address:
If you already have an account, please login
You don't have a Frontiers account ? You can register here
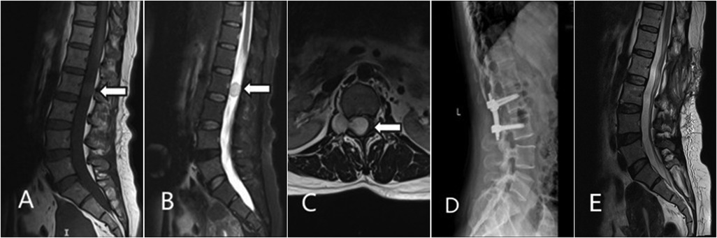
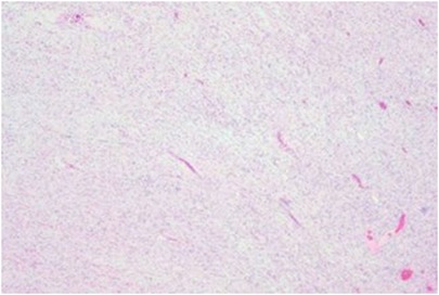
Background: Ganglioneuroma (GN) of the lumbar spine is rare, typically occurring in children and young adults. Its diagnosis in middle-aged patients can be challenging. This paper reports a case of a dumbbell-shaped lumbar GN in a middle-aged woman. Case: A 46-year-old woman presented with low back pain and radiating leg pain. MRI revealed a dumbbell-shaped mass at the L2 level. She underwent posterior microscopic total tumor resection with L2-L3 pedicle screw fixation. Postoperative pathology confirmed GN. Conclusion: At the 1-year follow-up, there was no recurrence. For dumbbell-shaped lumbar GN, a posterior approach combined with internal fixation is an effective strategy. This case suggests that GN should be considered in the differential diagnosis of foraminal masses in middle-aged patients.
Keywords: Ganglioneuroma, lumbar spine, Dumbbell-shaped tumor, spinal tumor, case report
Received: 25 Aug 2025; Accepted: 03 Nov 2025.
Copyright: © 2025 Xiang, Qi, Meng and Li. This is an open-access article distributed under the terms of the Creative Commons Attribution License (CC BY). The use, distribution or reproduction in other forums is permitted, provided the original author(s) or licensor are credited and that the original publication in this journal is cited, in accordance with accepted academic practice. No use, distribution or reproduction is permitted which does not comply with these terms.
* Correspondence: Qingwei Li, 18300969732@163.com
Disclaimer: All claims expressed in this article are solely those of the authors and do not necessarily represent those of their affiliated organizations, or those of the publisher, the editors and the reviewers. Any product that may be evaluated in this article or claim that may be made by its manufacturer is not guaranteed or endorsed by the publisher.
