ORIGINAL RESEARCH article
Front. Surg.
Sec. Pediatric Orthopedics
This article is part of the Research TopicFractures and Deformities of the Extremities in Children and Adolescents: Etiology, Diagnosis, and Treatment: 2025View all 16 articles
Experience in Diagnosis and Treatment of Pediatric Fibular Osteomyelitis
Provisionally accepted- Department of Orthopedics, Capital Center for Children's Health, Capital Medical University, Beijing, China
Select one of your emails
You have multiple emails registered with Frontiers:
Notify me on publication
Please enter your email address:
If you already have an account, please login
You don't have a Frontiers account ? You can register here
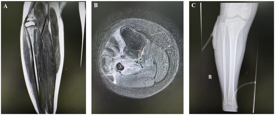
Abstract Objective To summarize and analyze the clinical characteristics, diagnosis, treatment, and prognosis of pediatric fibular osteomyelitis, and to analyze related influencing factors, providing evidence for clinical management of pediatric osteomyelitis in rare locations. Methods A retrospective analysis was conducted on the clinical data of pediatric patients with fibular osteomyelitis from January 2018 to December 2024, including demographic characteristics, clinical manifestations, laboratory and imaging examinations, microbiological results, treatment modalities, and follow-up outcomes. Results A total of 13 patients were included (9 males, 4 females) with a median age of onset of 7.3 years. There were 11 acute cases and 2 chronic cases. The main clinical manifestations were bone pain, fever, and local abscess formation. The positive rate of microbiological culture was 76.9%, with Staphylococcus aureus being the most common pathogen (including 1 case of MRSA). Two patients responded effectively to antibiotic therapy alone, while 11 cases required surgical intervention, including fibular fenestration, debridement, segmental resection, and VSD therapy. All patients showed significant reduction in inflammatory markers after treatment. During 3-24 months of follow-up, 3 cases experienced recurrence requiring repeat surgery, with no severe disability or deformity observed. Conclusion Pediatric fibular osteomyelitis has an insidious onset and poses diagnostic challenges. Staphylococcus aureus, particularly MRSA, represents the primary pathogen, with higher rates of surgical intervention and recurrence compared to other long bones. Early accurate diagnosis, adequate antibiotic therapy, and individualized surgical intervention are crucial for improving prognosis.
Keywords: Fibula osteomyelitis, Children, Surgical intervention, Vacuum sealing drainage, conservative treatment
Received: 22 Jul 2025; Accepted: 27 Oct 2025.
Copyright: © 2025 Liang, Liu, Wang, Ma and Hu. This is an open-access article distributed under the terms of the Creative Commons Attribution License (CC BY). The use, distribution or reproduction in other forums is permitted, provided the original author(s) or licensor are credited and that the original publication in this journal is cited, in accordance with accepted academic practice. No use, distribution or reproduction is permitted which does not comply with these terms.
* Correspondence: Yuan  Liang, bingqilinliangyuan@126.com
Disclaimer: All claims expressed in this article are solely those of the authors and do not necessarily represent those of their affiliated organizations, or those of the publisher, the editors and the reviewers. Any product that may be evaluated in this article or claim that may be made by its manufacturer is not guaranteed or endorsed by the publisher.
