CASE REPORT article
Front. Surg.
Sec. Neurosurgery
Volume 12 - 2025 | doi: 10.3389/fsurg.2025.1685091
This article is part of the Research TopicEndoscopy, Navigation, Robotics, Current Trends and Newer Technologies in the Management of Spinal Disorders. Towards a Paradigm Change in the Clinical Practice.View all 5 articles
Series Report and Literature Review on Postoperative Subdural hygroma Complications Following Biportal Endoscopic Spinal Surgery
Provisionally accepted- Department of Orthopaedics, the Fourth Affiliated Hospital of School of Medicine, and International School of Medicine, International Institutes of Medicine, Zhejiang University, Yiwu, China
Select one of your emails
You have multiple emails registered with Frontiers:
Notify me on publication
Please enter your email address:
If you already have an account, please login
You don't have a Frontiers account ? You can register here
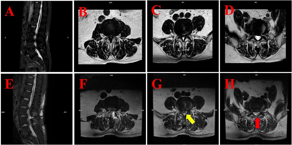
Background: Biportal Endoscopic Spinal Surgery (BESS) is a minimally invasive technique that has gained popularity for performing spinal procedures, including discectomy, decompression, and interbody fusion, in the cervical, thoracic, and lumbar regions. Whilst dural tears, epidural haematoma and transient paresthesia are well-documented complications associated with BESS, cases of subdural hygroma remain exceedingly rare. The present study presents a case series of three patients who developed postoperative subdural hygroma following BESS. An accompanying literature review was conducted in order to explore potential mechanisms and management strategies. Case Presentation:The initial case pertained to a 35-year-old male patient who underwent a cervical discectomy and foraminal decompression via BESS for the treatment of cervical spondylosis. Subsequently, the patient developed a cranial subdural hygroma. The second patient, a 53-year-old male, underwent a lumbar discectomy and decompression via BESS for lumbar disc herniation with concomitant spinal stenosis. Postoperative imaging revealed extensive lumbar subdural hygroma. The third case report concerns a 74-year-old male patient who underwent BESS decompression surgery for lumbar spinal stenosis. Postoperatively, the patient developed a subdural hygroma in the lower lumbar region. Conclusion: The development of subdural hygroma following BESS may be attributed to a combination of factors, including occult dural tears, abrupt alterations in intraspinal pressure, and ischemia-reperfusion injury. In view of the potential clinical implications of this rare complication, greater awareness and monitoring is warranted in the postoperative management of patients undergoing BESS.
Keywords: Biportal endoscopic spinal surgery, Subdural hygroma, Dural Tear, intraspinal pressure, ischemia-reperfusion injury
Received: 13 Aug 2025; Accepted: 30 Sep 2025.
Copyright: © 2025 Bai, Wei, Jian, Jing and Hu. This is an open-access article distributed under the terms of the Creative Commons Attribution License (CC BY). The use, distribution or reproduction in other forums is permitted, provided the original author(s) or licensor are credited and that the original publication in this journal is cited, in accordance with accepted academic practice. No use, distribution or reproduction is permitted which does not comply with these terms.
* Correspondence: Qingfeng Hu, huqingfeng@zju.edu.cn
Disclaimer: All claims expressed in this article are solely those of the authors and do not necessarily represent those of their affiliated organizations, or those of the publisher, the editors and the reviewers. Any product that may be evaluated in this article or claim that may be made by its manufacturer is not guaranteed or endorsed by the publisher.
