REVIEW article
Front. Surg.
Sec. Neurosurgery
This article is part of the Research TopicComprehensive Approaches to the Management of Chronic Subdural Hematoma: Integrating Surgical and Molecular InsightsView all 3 articles
The Subdural Membrane: Unraveling the Pathophysiology and Treatment of Chronic Subdural Hematoma
Provisionally accepted- 1Boston University Chobanian & Avedisian School of Medicine, Boston, United States
- 2Beth Israel Deaconess Medical Center, Boston, United States
Select one of your emails
You have multiple emails registered with Frontiers:
Notify me on publication
Please enter your email address:
If you already have an account, please login
You don't have a Frontiers account ? You can register here
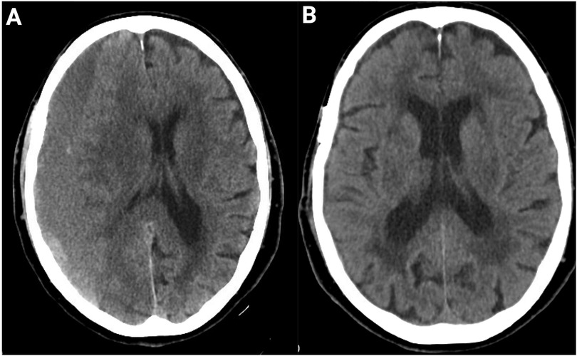
Chronic subdural hematoma (cSDH) is one of the most common neurosurgical conditions, with incidence expected to rise sharply as populations age. Once regarded as a passive sequela of venous rupture, cSDH is now understood as an active, membrane-driven disorder characterized by persistent inflammation, fragile neovascularization, and local fibrinolysis that collectively fuel hematoma expansion and recurrence. This evolving biological model explains the limitations of traditional surgical approaches, which relieve mass effect but do not address the underlying pathophysiology. Burr-hole drainage with subdural drainage remains the gold standard, though recurrence rates approach 10–20% and perioperative risks are magnified in frail patients. Minimally invasive strategies, such as twist-drill craniotomy and the subdural evacuating port system, expand options for high-risk populations, while mini-craniotomy may benefit complex or organized collections. Emerging adjuvant therapies, including middle meningeal artery embolization, statins, tranexamic acid, and corticosteroids, target the inflammatory and angiogenic milieu; however, results remain heterogeneous, and safety concerns persist. Novel directions such as biomarker-guided patient stratification, anti-VEGF therapies, platelet-rich plasma injection, and endoscopic membranectomy reflect a paradigm shift toward disease-modifying interventions. Collectively, these advances highlight a growing opportunity to personalize treatment, reduce recurrence, and improve long-term outcomes in cSDH.
Keywords: subdural hematoma, Dexamethasone, atorvastatin, Burr holes, pathophysiology
Received: 27 Aug 2025; Accepted: 19 Nov 2025.
Copyright: © 2025 Arunachalam Sakthiyendran, Gonzalez-Salido, Perkins, Enriquez-Marulanda, Dasenbrock and Holsapple. This is an open-access article distributed under the terms of the Creative Commons Attribution License (CC BY). The use, distribution or reproduction in other forums is permitted, provided the original author(s) or licensor are credited and that the original publication in this journal is cited, in accordance with accepted academic practice. No use, distribution or reproduction is permitted which does not comply with these terms.
* Correspondence: James Holsapple, holsappj@bu.edu
Disclaimer: All claims expressed in this article are solely those of the authors and do not necessarily represent those of their affiliated organizations, or those of the publisher, the editors and the reviewers. Any product that may be evaluated in this article or claim that may be made by its manufacturer is not guaranteed or endorsed by the publisher.
