CASE REPORT article
Front. Surg.
Sec. Vascular Surgery
This article is part of the Research TopicTelehealth Innovations in Vascular CareView all articles
Endovascular Management of a Fractured Dialysis Catheter:A Case Report and Review of Retrieval Techniques
Provisionally accepted- 1Chengdu University of Traditional Chinese Medicine, Chengdu, China
- 2Hospital of Chengdu University of Traditional Chinese Medicine, Chengdu, China
Select one of your emails
You have multiple emails registered with Frontiers:
Notify me on publication
Please enter your email address:
If you already have an account, please login
You don't have a Frontiers account ? You can register here
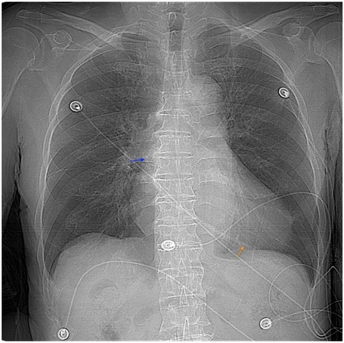
Background: With the advancements in endovascular techniques, reports of rare vascular complications have increased. This case describes the accidental fracture of a non-cuffed hemodialysis catheter and its subsequent endovascular management, offering valuable insights for the treatment of similar intravascular foreign bodies (IFBs). Case Report: An 83-year-old male with a non-cuffed catheter presented after a catheter fracture. Radiographic imaging confirmed migration of the fragment to the right atrium. After a multispecialistic collaboration assessment, endovascular retrieval was performed via right femoral access using a filter retrieval device under fluoroscopic guidance. The catheter fragment was successfully captured and removed without procedural complications. The patient recovered uneventfully and remained well at follow-up evaluations. Conclusion: This case highlights the efficacy and safety of percutaneous endovascular retrieval for managing IFBs, providing a minimally invasive alternative to surgery with high success rates. Meticulous catheter handling and regular integrity assessments are critical to prevent and promptly manage such events.
Keywords: Hemodialysis catheter, Intravascular foreign body, Endovascular retrieval, Interventional nephrology, case report
Received: 07 Sep 2025; Accepted: 27 Oct 2025.
Copyright: © 2025 Lin, Wang, Huang, Liu and He. This is an open-access article distributed under the terms of the Creative Commons Attribution License (CC BY). The use, distribution or reproduction in other forums is permitted, provided the original author(s) or licensor are credited and that the original publication in this journal is cited, in accordance with accepted academic practice. No use, distribution or reproduction is permitted which does not comply with these terms.
* Correspondence: Chunshui He, chunshuihe@msn.com
Disclaimer: All claims expressed in this article are solely those of the authors and do not necessarily represent those of their affiliated organizations, or those of the publisher, the editors and the reviewers. Any product that may be evaluated in this article or claim that may be made by its manufacturer is not guaranteed or endorsed by the publisher.
