ORIGINAL RESEARCH article
Front. Surg.
Sec. Surgical Oncology
Clinical Features and Oncologic Outcomes of Primary Retroperitoneal Ganglioneuroma: A Retrospective Cohort Study of 51 Patients from a High-Volume Sarcoma Center
Provisionally accepted- 1Peking University International Hospital, Peking, China
- 2Peking University People's Hospital, Beijing, China
Select one of your emails
You have multiple emails registered with Frontiers:
Notify me on publication
Please enter your email address:
If you already have an account, please login
You don't have a Frontiers account ? You can register here
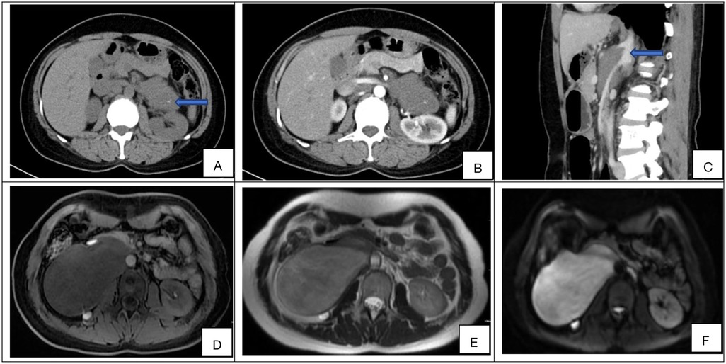
Background: Retroperitoneal ganglioneuroma (RGN) is a rare, benign tumor derived from neural crest cells of the sympathetic nervous system. Due to its rarity and complex management, clinical understanding remains limited. This study aimed to analyze the clinical features and surgical outcomes of RGN. Methods: A retrospective analysis was performed utilizing the retroperitoneal tumor database of Peking University International Hospital. Patients who underwent surgical resection for pathologically confirmed primary RGN between January 2015 and August 2024 were included. Systematic postoperative follow-up was conducted to assess outcomes. Results: Fifty-one consecutive patients (18 males, 33 females; median age 28 years, range 12–73) with newly diagnosed RGN were enrolled. Clinical presentations were heterogeneous: 29 cases (56.9%) were incidental findings on physical examination, 16 (31.4%) reported abdominal discomfort, 3 (5.9%) had lumbago, and single cases presented with hematuria, chest tightness, or lower limb pain. R0/R1 resection was achieved in 45 patients (88.2%). Postoperative complications occurred in 11 patients (21.6%), including gastroparesis (n=3), pancreatic fistula (n=3), liver function impairment (n=2), wound infection (n=2), and one mortality due to intestinal ischemia and necrosis. Histopathology confirmed GN in all cases. At median follow-up of 62 months (90.2% follow-up rate), no recurrences, metastases, or disease-specific deaths occurred—including in R2 resection patients (n=6). Conclusions: Retroperitoneal ganglioneuroma (RGN) is a rare benign tumor that frequently presents with nonspecific symptoms. While surgical resection remains the cornerstone of management, it is best undertaken at specialized, high-volume sarcoma centers to mitigate operative risks. When complete excision is precluded by critical vascular involvement, subtotal resection represents a judicious alternative. For selected patients with small, asymptomatic tumors—particularly those with elevated surgical risk—active surveillance is a reasonable option. Despite a generally favorable prognosis, long-term follow-up is recommended.
Keywords: Ganglioneuroma, Clinicopathological feature, Outcome, complications, surgical treatment
Received: 08 Sep 2025; Accepted: 27 Oct 2025.
Copyright: © 2025 Li, Mengmeng, Miao, zou, Liu, Huang and Gao. This is an open-access article distributed under the terms of the Creative Commons Attribution License (CC BY). The use, distribution or reproduction in other forums is permitted, provided the original author(s) or licensor are credited and that the original publication in this journal is cited, in accordance with accepted academic practice. No use, distribution or reproduction is permitted which does not comply with these terms.
* Correspondence: Haicheng Gao, gaohaicheng@pkuih.edu.cn
Disclaimer: All claims expressed in this article are solely those of the authors and do not necessarily represent those of their affiliated organizations, or those of the publisher, the editors and the reviewers. Any product that may be evaluated in this article or claim that may be made by its manufacturer is not guaranteed or endorsed by the publisher.
