CASE REPORT article
Front. Surg.
Sec. Visceral Surgery
This article is part of the Research TopicAdvancing Surgical Outcomes for Retroperitoneal TumorsView all 4 articles
Case Report: Laparoscopic Appendectomy in a Patient with Congenital Visceral Heterotaxy and Severe Adhesions
Provisionally accepted- Shijiazhuang People's Hospital, Shijiazhuang, China
Select one of your emails
You have multiple emails registered with Frontiers:
Notify me on publication
Please enter your email address:
If you already have an account, please login
You don't have a Frontiers account ? You can register here
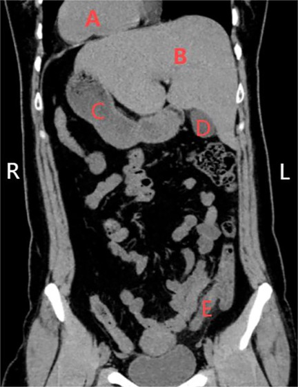
Background: Congenital visceral heterotaxy (CVH) is a rare congenital anomaly characterized by the abnormal arrangement (malposition) of thoracic and abdominal organs. This condition can significantly complicate surgical planning and intraoperative management, particularly when a history of prior abdominal surgery is present and laparoscopic intervention is required. The limited literature on managing such cases underscores the necessity for meticulous preoperative planning and intraoperative adaptability. Case Summary: A 42-year-old Chinese woman with congenital visceral heterotaxy and a history of cesarean section 11 years prior was admitted with acute suppurative appendicitis. Preoperative imaging, including ultrasound and CT, confirmed the diagnosis and revealed severe intra-abdominal adhesions. The patient underwent a laparoscopic appendectomy under general anesthesia. During the procedure, adhesions—likely stemming from the prior cesarean section—significantly impeded visualization and access to the appendix. Despite these challenges, the appendectomy was completed successfully without complications. The patient's postoperative recovery was uneventful, and she was discharged on the third postoperative day. Conclusion: This report highlights the successful management of a complex case involving a patient with both congenital visceral heterotaxy and severe intra-abdominal adhesions. It demonstrates that laparoscopic surgery is a feasible and safe option in such challenging scenarios, emphasizing the critical importance of meticulous preoperative planning, intraoperative adaptability, and a patient-tailored surgical approach. This case contributes to the sparse literature on laparoscopic surgery in patients with CVH and a history of abdominal surgery, offering valuable insights for surgeons facing similar complex presentations.
Keywords: Heterotaxy Syndrome, Laparoscopic appendectomy, Surgical adhesions, Cesareansection history, Appendicitis
Received: 12 Sep 2025; Accepted: 14 Nov 2025.
Copyright: © 2025 Liu, Zhao, Li and Liu. This is an open-access article distributed under the terms of the Creative Commons Attribution License (CC BY). The use, distribution or reproduction in other forums is permitted, provided the original author(s) or licensor are credited and that the original publication in this journal is cited, in accordance with accepted academic practice. No use, distribution or reproduction is permitted which does not comply with these terms.
* Correspondence: Weibo Liu, 297266164@qq.com
Disclaimer: All claims expressed in this article are solely those of the authors and do not necessarily represent those of their affiliated organizations, or those of the publisher, the editors and the reviewers. Any product that may be evaluated in this article or claim that may be made by its manufacturer is not guaranteed or endorsed by the publisher.
