CASE REPORT article
Front. Surg.
Sec. Orthopedic Surgery
Non-contiguous three-level Hybrid Surgery with C2-3 Cervical Disc Arthroplasty: A Case Report and Literature Review
Provisionally accepted- 1Sichuan University West China Hospital Department of Orthopedic Surgery, Chengdu, China
- 2West China Hospital School of Nursing, Sichuan University, Chengdu, China, Chengdu, China
- 3Operating Room, Department of Anesthesiology, West China Hospital, Sichuan University, Chengdu, China
Select one of your emails
You have multiple emails registered with Frontiers:
Notify me on publication
Please enter your email address:
If you already have an account, please login
You don't have a Frontiers account ? You can register here
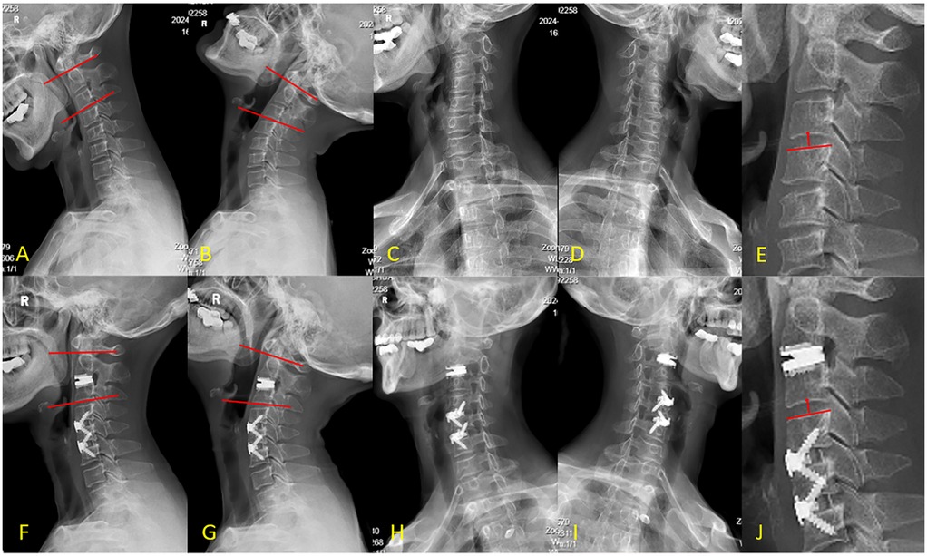
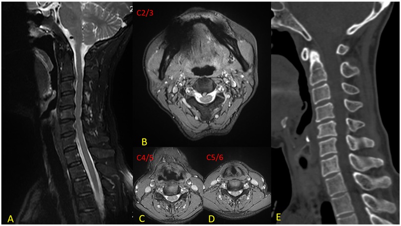
Background Cervical disc herniation at the C2-3 level, resulting in cervical spondylotic myelopathy (CSM), is an uncommon clinical entity. The diagnostic and therapeutic complexity escalates when this pathology coexists with non-contiguous multilevel cervical disc degenerative disease (CDDD). Due to the segmental variability in pathological features, the clinical manifestations of such cases are highly heterogeneous, thereby necessitating a highly individualized treatment strategy. Hybrid surgery (HS), which integrates cervical disc arthroplasty (CDA) and anterior cervical discectomy and fusion (ACDF), offers a tailored approach for the management of multilevel degenerative cervical pathology. The unique anatomical features and surgical technical challenges at the C2-3 level impose significant constraints on treatment options. This article presents a case of non-contiguous three-level hybrid surgery involving CDA at C2-3 and ACDF at C4-5 and C5-6, and discusses the feasibility of this technique for upper cervical disc pathology. Case Presentation A 62-year-old female was admitted with a 6-month history of neck and right upper limb pain, numbness, and gait instability, which had been unresponsive to conservative management. DR revealed loss of the normal cervical lordosis. CT showed no significant osteophyte formation or bony canal stenosis. MRI demonstrated a large disc extrusion at C2-3 causing spinal cord compression, and disc herniations at C4-5 and C5-6 with nerve root impingement. Based on clinical and imaging findings, a diagnosis of multilevel cervical spondylopathy (C2-3, C4-5, and C5-6 disc herniation) was established. The patient underwent anterior cervical discectomy followed by artificial disc arthroplasty (CDA) at C2-3, and anterior cervical discectomy and fusion (ACDF) at C4-5 and C5-6, successfully completing a non-contiguous three-level hybrid surgical procedure. Results Postoperative symptoms were significantly alleviated. At the 12-month follow-up, pain and gait disturbance had largely returned to normal. MRI confirmed adequate decompression of neural compression, DR demonstrated satisfactory range of motion (ROM) at C2-3, and CT revealed satisfactory bone healing at the fused segments. Conclusion CDA serves as an effective alternative for C2-3 disc pathology, achieving neural decompression while preserving segmental mobility. The HS provides a valuable surgical option for the precise treatment of non-contiguous multilevel degenerative disease.
Keywords: HS, Hybrid surgery, CDA, Cervical disc arthroplasty, ACDF, Anterior cervical discectomy and fusion, C2-3, Non-contiguous three-level
Received: 16 Sep 2025; Accepted: 12 Nov 2025.
Copyright: © 2025 Zhao, Li, Chen, Yao, Deng, Wu, Huang and Wang. This is an open-access article distributed under the terms of the Creative Commons Attribution License (CC BY). The use, distribution or reproduction in other forums is permitted, provided the original author(s) or licensor are credited and that the original publication in this journal is cited, in accordance with accepted academic practice. No use, distribution or reproduction is permitted which does not comply with these terms.
* Correspondence: Beiyu Wang, dove-baker@163.com
Disclaimer: All claims expressed in this article are solely those of the authors and do not necessarily represent those of their affiliated organizations, or those of the publisher, the editors and the reviewers. Any product that may be evaluated in this article or claim that may be made by its manufacturer is not guaranteed or endorsed by the publisher.
