CASE REPORT article
Front. Surg.
Sec. Orthopedic Surgery
This article is part of the Research TopicAdvancing Orthopedic Surgery: unique Case Reports driving progressView all 4 articles
Unilateral Biportal Endoscopy-Induced Intracranial Pneumocephalus as Radiographic Evidence of Raised Intracranial Pressure Resulting from Dural Tear: A Case Report
Provisionally accepted- Guangzhou Medical University Second Affiliated Hospital, Guangzhou, China
Select one of your emails
You have multiple emails registered with Frontiers:
Notify me on publication
Please enter your email address:
If you already have an account, please login
You don't have a Frontiers account ? You can register here
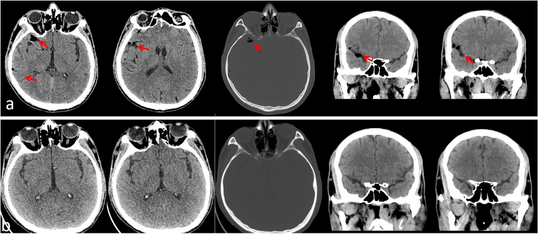
Unilateral Bioportal Endoscopy (UBE), as a minimally invasive technique, has shown significant advantages in the treatment of spinal disorders. However, it comes with surgical risks and complications, particularly acute neurological deficits. In this report, we present a rare case of pneumocephalus as a complication following unilateral dual-channel spinal surgery (UBE) for lumbar disc herniation. A 54-year-old male patient underwent UBE-assisted disc removal surgery for L5-S1 disc herniation. No obvious dural tear was noted during the surgery. Postoperatively, the patient experienced difficulty awakening from anesthesia, with signs of altered consciousness. CT imaging revealed pneumocephalus. On the second postoperative day, cerebrospinal fluid leakage and symptoms of decreased intracranial pressure were observed. After symptomatic treatment, no significant neurological sequelae were noted, and the patient was discharged. Postoperative clinical signs of increased intracranial pressure and imaging evidence of pneumocephalus suggest the occurrence of dural injury.
Keywords: UBE, Intracranial Hypertension, dural injury, Pneumocephalus, Radiographic Evidence
Received: 22 Sep 2025; Accepted: 19 Nov 2025.
Copyright: © 2025 Xie, Feng, Huang, Cheng, Long, Huang, Zhong, Jiang, Shen, Liu, Zhao, Ren, Jiang and Chen. This is an open-access article distributed under the terms of the Creative Commons Attribution License (CC BY). The use, distribution or reproduction in other forums is permitted, provided the original author(s) or licensor are credited and that the original publication in this journal is cited, in accordance with accepted academic practice. No use, distribution or reproduction is permitted which does not comply with these terms.
* Correspondence: Binwei Chen, chenbinwei@gzhmu.edu.cn
Disclaimer: All claims expressed in this article are solely those of the authors and do not necessarily represent those of their affiliated organizations, or those of the publisher, the editors and the reviewers. Any product that may be evaluated in this article or claim that may be made by its manufacturer is not guaranteed or endorsed by the publisher.
