CASE REPORT article
Front. Surg.
Sec. Reconstructive and Plastic Surgery
This article is part of the Research TopicRecent Advancements and New Developments in Reconstructive SurgeryView all 14 articles
A novel approach to treating mirror hand deformity: A case report of functional thumb reconstruction using a palmar incision design
Provisionally accepted- Ningbo No.6 Hospital, Ningbo, China
Select one of your emails
You have multiple emails registered with Frontiers:
Notify me on publication
Please enter your email address:
If you already have an account, please login
You don't have a Frontiers account ? You can register here
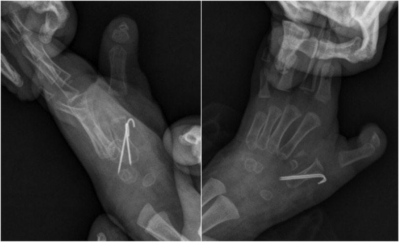
Abstract Congenital anomalies of the hand and forearm present a complex challenge in plastic and pediatric surgery. We present the case of a 13-month-old child with a congenital left mirror deformity, characterized by the presence of eight digits and two ulnae exhibiting near-perfect bilateral symmetry. A novel palmar-based incision design was employed for the corrective and functional reconstruction of the left hand,which may serve as a reference for the surgical management of similar conditions. Preoperatively, the radial-side middle finger demonstrated palmar opposition against the ulnar aspect of the palm.The surgical procedure included resection of the radial-sided index, ring, and little fingers , along with pollicization of the middle finger. Functional reconstruction of the neothumb involved restoring adduction and abduction using preserved native anatomical structures. Following comprehensive clinical and imaging evaluations, the patient underwent successful surgical treatment.Postoperatively, substantial improvements were observed in both hand morphology and grasping function. Through our novel palmar incision approach, we effectively reconstructed thumb opposition and adduction while preserving intrinsic hand musculature and achieving optimal scar concealment. In managing mirror hand deformities, meticulous selection of the most dominant digit for thumb reconstruction remains crucial. At the initial surgical stage, osteotomy of the selected digit was performed to enhance its morphological similarity to a normal thumb.
Keywords: case report, Mirror hand, Treating, Ulnar dimelia, Clinical features
Received: 08 Oct 2025; Accepted: 05 Nov 2025.
Copyright: © 2025 SHI, Hu, Shen, WANG and Zhou. This is an open-access article distributed under the terms of the Creative Commons Attribution License (CC BY). The use, distribution or reproduction in other forums is permitted, provided the original author(s) or licensor are credited and that the original publication in this journal is cited, in accordance with accepted academic practice. No use, distribution or reproduction is permitted which does not comply with these terms.
* Correspondence: Danya Zhou, zhoudanya@aliyun.com
Disclaimer: All claims expressed in this article are solely those of the authors and do not necessarily represent those of their affiliated organizations, or those of the publisher, the editors and the reviewers. Any product that may be evaluated in this article or claim that may be made by its manufacturer is not guaranteed or endorsed by the publisher.
