ORIGINAL RESEARCH article
Front. Surg.
Sec. Orthopedic Surgery
Novel anatomically contoured locking plate shows improved anatomic conformity versus a conventional T-shaped plate in anterior popliteus transtibial-tuberosity high tibial osteotomy: a radiologic comparison
Provisionally accepted- 1Affiliated Hospital of Guizhou Medical University, Guiyang, China
- 2Center for Tissue Engineering and Stem Cell Research, Guizhou Medical University,, Guiyang, China
- 3Affiliated Hospital of Zunyi Medical University, Zunyi, China
Select one of your emails
You have multiple emails registered with Frontiers:
Notify me on publication
Please enter your email address:
If you already have an account, please login
You don't have a Frontiers account ? You can register here
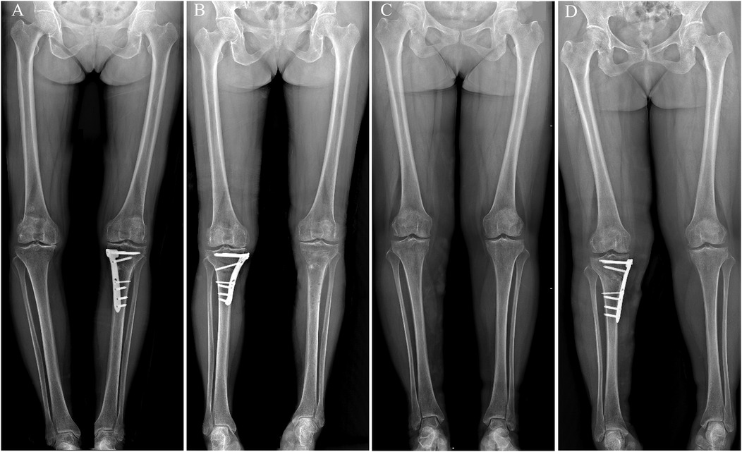
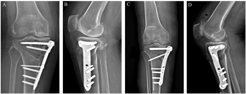
Background: High tibial osteotomy (HTO) corrects varus malalignment and unloads the medial knee compartment, yet the conventional T-shaped locking plate may cause discomfort due to suboptimal anatomic conformity. We developed a novel locking plate to improve anatomic fit and fixation stability and compared it with the T-shaped plate in Anterior Popliteus Transtibial-tuberosity high tibial osteotomy (APTT-HTO). Methods: This single-center retrospective observational comparative study included 14 consecutive patients who underwent APTT-HTO between August 2024 and June 2025. Patients were grouped by implant type (novel plate: n = 7; T-shaped plate: n = 7). Postoperative CT quantified plate orientation/position, plate–bone conformity (gap and position mismatch), screw alignment, and standard alignment parameters (hip–knee– ankle angle [HKA], posterior tibial slope [PTS]). Results: The novel plate showed more posteromedial placement and superior anatomic conformity. The plate angle relative to the posterior tibial condylar reference line was larger with the novel plate (74.49° ± 8.76°) than with the T-shaped plate (62.62° ± 7.05°, P<0.05). The proximal central screw–plate angle was smaller (5.70° ± 4.80° vs 27.48° ± 6.05°, P<0.05), the plate–bone gap was reduced (1.84 ± 0.68 mm vs 2.98 ± 0.38 mm, P<0.05), and plate position mismatch was lower (20.20% ± 7.70% vs 37.70% ± 10.00%, P<0.05). Proximal and distal offsets considered separately were not significantly different (P>0.05). Both groups achieved the planned coronal correction, and sagittal PTS remained stable (P>0.05). Conclusions: In this CT-based cohort, the novel anatomically contoured locking plate achieved superior anatomic conformity in APTT-HTO—characterized by more posteromedial positioning, a more favorable screw trajectory, and improved plate–bone apposition—compared with a conventional T-shaped plate. These findings warrant confirmation in larger, prospective studies.
Keywords: High tibial osteotomy, Plate–bone gap, screw trajectory, AnteriorPopliteus Transtibial-Tuberosity high tibial osteotomy, T-shaped locking plate, computed tomography, Retrospective study
Received: 10 Oct 2025; Accepted: 05 Nov 2025.
Copyright: © 2025 Yao, He, Chen, Zou, Lei, Wu and Ye. This is an open-access article distributed under the terms of the Creative Commons Attribution License (CC BY). The use, distribution or reproduction in other forums is permitted, provided the original author(s) or licensor are credited and that the original publication in this journal is cited, in accordance with accepted academic practice. No use, distribution or reproduction is permitted which does not comply with these terms.
* Correspondence:
ZhanYu Wu, wzz9000@163.com
Chuan Ye, yechuanchina@hotmail.com
Disclaimer: All claims expressed in this article are solely those of the authors and do not necessarily represent those of their affiliated organizations, or those of the publisher, the editors and the reviewers. Any product that may be evaluated in this article or claim that may be made by its manufacturer is not guaranteed or endorsed by the publisher.
