ORIGINAL RESEARCH article
Front. Bioeng. Biotechnol.
Sec. Tissue Engineering and Regenerative Medicine
This article is part of the Research TopicCraniomaxillofacial Reconstruction: from Bench to BedsideView all 4 articles
Can Titanium Miniplates Provide Superior Fixation Compared to Reconstruction Plates in Mandibular Repair with Iliac Crest Flaps? : A Retrospective Study
Provisionally accepted- 1Wuhan University, Wuhan, China
- 2Stomatologic Hospital of Xiamen Medical College, Xiamen, China
Select one of your emails
You have multiple emails registered with Frontiers:
Notify me on publication
Please enter your email address:
If you already have an account, please login
You don't have a Frontiers account ? You can register here
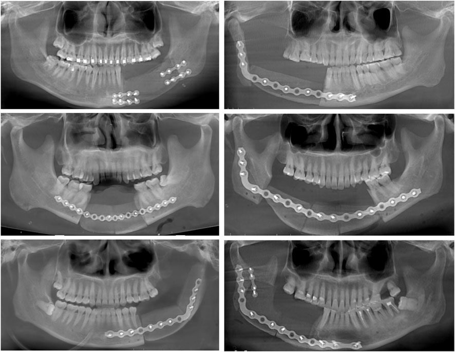
This study retrospectively analyzed 112 patients who underwent mandibular reconstruction with vascularized iliac crest flaps using different fixation strategies in routine clinical practice. Under comparable defect lengths and heights, reconstruction using mini plates was associated with the shortest operative time (p < 0.001), while postoperative drainage duration showed no significant difference among groups (p = 0.958). The number of iliac bone segments varied significantly among fixation methods: reconstruction plates (alone or combined with mini plates) were predominantly applied in multi-segmental reconstructions, whereas mini plates were mainly used for single-segmental repairs. Postoperative quality of life was evaluated using the University of Washington Quality of Life Questionnaire (UW-QoL). Although the fixation methods were selected according to defect complexity and surgical requirements, all approaches achieved satisfactory outcomes, and no significant difference in overall quality-of-life scores was observed among the three groups (p = 0.354). However, a significant difference was observed in the "Swallowing" domain, with patients in the mini plate group reporting better swallowing function (p = 0.009).
Keywords: Titanium miniplate, Reconstruction plate, Mandibular reconstruction, vascularized iliac crest flap, complication, Fixation method, Mini plate, Quality of Life
Received: 19 Aug 2025; Accepted: 17 Nov 2025.
Copyright: © 2025 Wu, Lin, Liu, Zhou, Lin, Zeng, Jia, Zhao and Liu. This is an open-access article distributed under the terms of the Creative Commons Attribution License (CC BY). The use, distribution or reproduction in other forums is permitted, provided the original author(s) or licensor are credited and that the original publication in this journal is cited, in accordance with accepted academic practice. No use, distribution or reproduction is permitted which does not comply with these terms.
* Correspondence: Tianfu Wu, wutianfu@whu.edu.cn
Disclaimer: All claims expressed in this article are solely those of the authors and do not necessarily represent those of their affiliated organizations, or those of the publisher, the editors and the reviewers. Any product that may be evaluated in this article or claim that may be made by its manufacturer is not guaranteed or endorsed by the publisher.
