CASE REPORT article
Front. Cardiovasc. Med.
Sec. Cardiovascular Surgery
This article is part of the Research TopicRevolutionizing Aortic Repair: Advanced Surgical and Endovascular Techniques for Comprehensive Aortic Management from the Aortic Valve to the Abdominal AortaView all 7 articles
Rescue Bare-metal Stent Placement Restoring Multilevel Perfusion in Acute Type B Aortic Dissection: A Case Report
Provisionally accepted- Nihonkai Sogo Byoin, Sakata, Japan
Select one of your emails
You have multiple emails registered with Frontiers:
Notify me on publication
Please enter your email address:
If you already have an account, please login
You don't have a Frontiers account ? You can register here
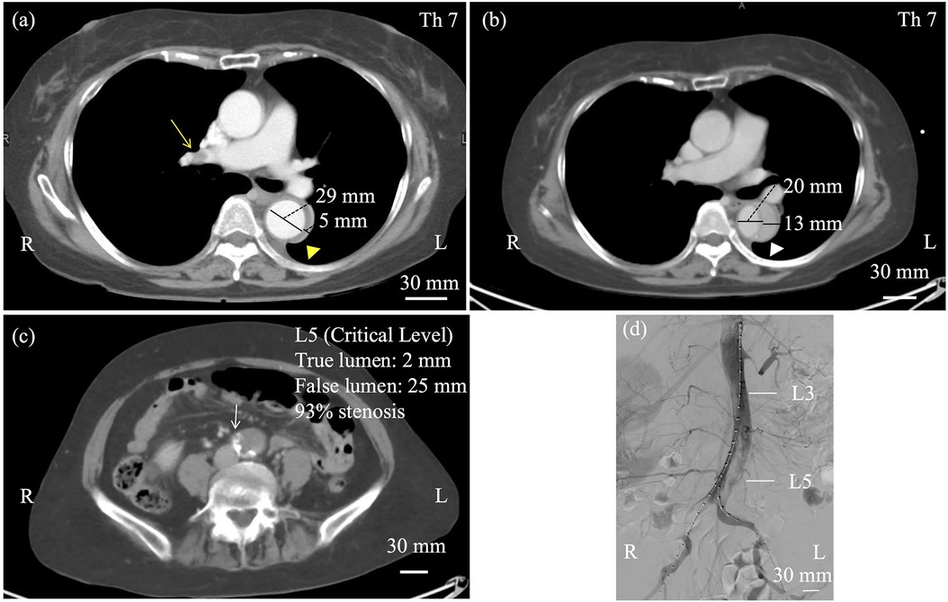
We report a rare, life-saving endovascular intervention in a patient with acute type B aortic dissection (TBAD) complicated by severe lower limb ischemia due to dynamic obstruction. A 67-year-old woman, previously diagnosed with uncomplicated Stanford type B dissection with a thrombosed false lumen, suddenly developed bilateral leg pain and absent distal pulses on day 12. CT revealed a new entry tear in the descending aorta, leading to false lumen reperfusion and collapse of the true lumen at the abdominal aorta and both common iliac arteries. As appropriate thoracic endovascular aortic repair and endovascular aortic repair devices were not immediately available, emergency repair was performed using four self-expanding bare-metal stents via bilateral femoral access. This achieved prompt true lumen re-expansion and restoration of distal pulses. Post-procedure imaging confirmed improved perfusion. Although extra-anatomical bypass is often considered, complete collapse of the abdominal true lumen made it unlikely to be effective. This case demonstrates that widely available bare-metal stents offer a practical and effective emergency option for restoring distal perfusion when standard devices are not accessible. Importantly, this approach should be regarded as palliative for limb salvage rather than definitive treatment of the entry tear.
Keywords: Type B acute aortic dissection, Thoracic endovascular aortic repair, Lower limb malperfusion, Self-expanding stent, Extra-anatomic bypass
Received: 30 Aug 2025; Accepted: 08 Dec 2025.
Copyright: © 2025 Nakamura, Arai, Kim and Uchino. This is an open-access article distributed under the terms of the Creative Commons Attribution License (CC BY). The use, distribution or reproduction in other forums is permitted, provided the original author(s) or licensor are credited and that the original publication in this journal is cited, in accordance with accepted academic practice. No use, distribution or reproduction is permitted which does not comply with these terms.
* Correspondence: Ken Nakamura
Disclaimer: All claims expressed in this article are solely those of the authors and do not necessarily represent those of their affiliated organizations, or those of the publisher, the editors and the reviewers. Any product that may be evaluated in this article or claim that may be made by its manufacturer is not guaranteed or endorsed by the publisher.
