In the published article, there was an error in Figure 5 as published. There were similar blocks of EIF-2α and CHOP staining in the AAV-5HRE-NSCs group in Figure 5. The corrected Figure 5 and its caption appear below.
FIGURE 5

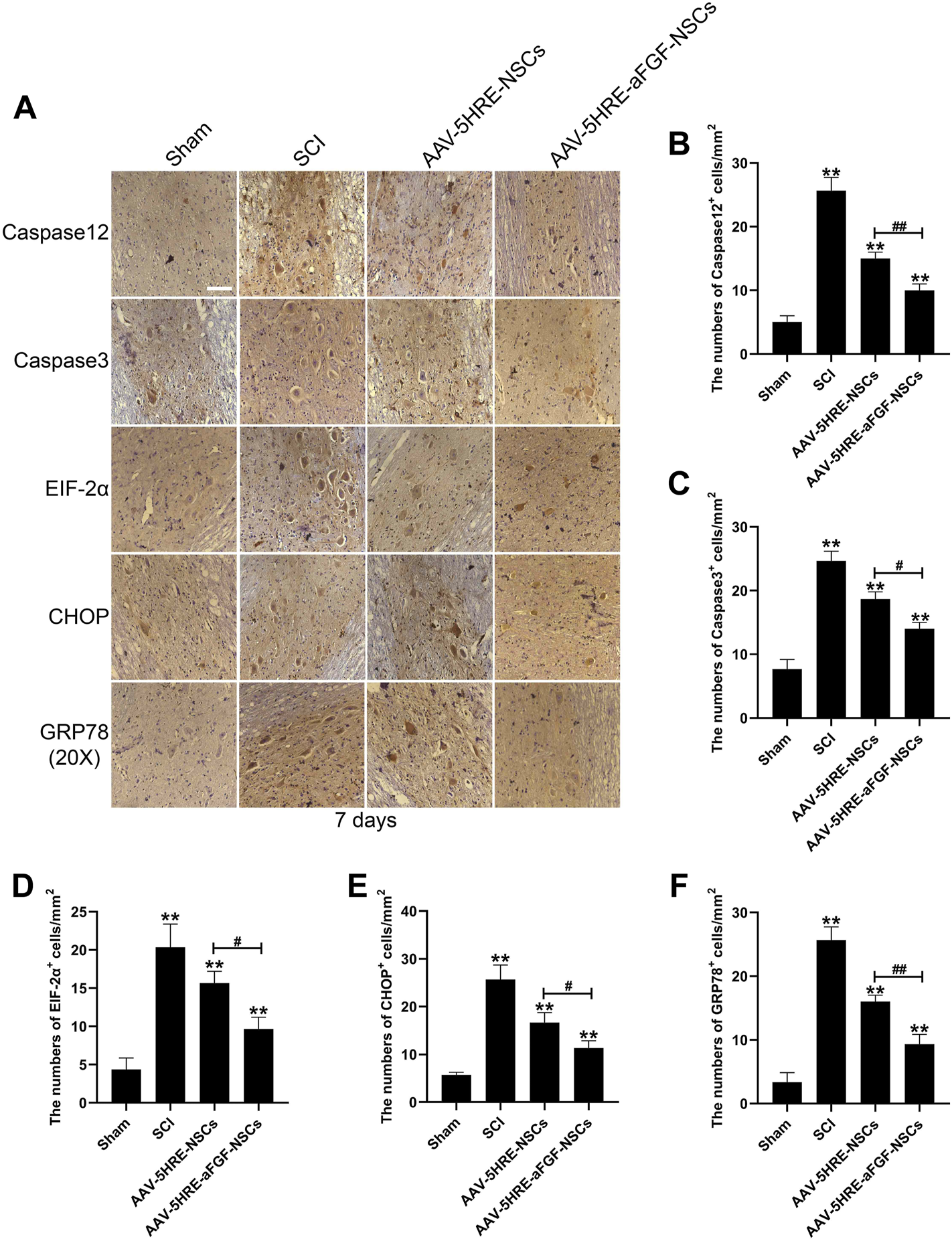
The regulation signals are significant for the neuroprotective effect of AAV–5HRE–aFGF–NSCs. (A) Immunohistochemistry for caspase 12, caspase 3, EIF–2a–CHOP, and GRP78 in the Sham, SCI, AAV–5HRE–NSCs, and AAV–5HRE–aFGF–NSCs group. Magnification: 20×; Scale: 100 μm. (B–F) Analysis of immunohistochemistry positive cells. **p < 0.01. #p < 0.05. ##p < 0.01. Data are represented as mean ± SD (n = 6).
The authors apologize for this error and state that this does not change the scientific conclusions of the article in any way. The original article has been updated.
Statements
Publisher’s note
All claims expressed in this article are solely those of the authors and do not necessarily represent those of their affiliated organizations, or those of the publisher, the editors and the reviewers. Any product that may be evaluated in this article, or claim that may be made by its manufacturer, is not guaranteed or endorsed by the publisher.
Summary
Keywords
spinal cord injury, acidic fibroblast growth factor, adeno-associated virus, neural stem cell, endoplasmic reticulum stress, apoptosis
Citation
Ying Y, Zhang Y, Tu Y, Chen M, Huang Z, Ying W, Wu Q, Ye J, Xiang Z, Wang X, Wang Z and Zhu S (2022) Corrigendum: Hypoxia response element-directed expression of aFGF in neural stem cells promotes the recovery of spinal cord injury and attenuates SCI-induced apoptosis. Front. Cell Dev. Biol. 10:1011414. doi: 10.3389/fcell.2022.1011414
Received
04 August 2022
Accepted
24 August 2022
Published
13 September 2022
Volume
10 - 2022
Edited and reviewed by
Yidong Wang, Xian Jiaotong University, China
Updates
Copyright
© 2022 Ying, Zhang, Tu, Chen, Huang, Ying, Wu, Ye, Xiang, Wang, Wang and Zhu.
This is an open-access article distributed under the terms of the Creative Commons Attribution License (CC BY). The use, distribution or reproduction in other forums is permitted, provided the original author(s) and the copyright owner(s) are credited and that the original publication in this journal is cited, in accordance with accepted academic practice. No use, distribution or reproduction is permitted which does not comply with these terms.
*Correspondence: Xiangyang Wang, xiangyangwang@wmu.edu.cn Zhouguang Wang, wzhouguang@gmail.com Sipin Zhu, sipinzhu@163.com
†These authors have contributed equally to this work
This article was submitted to Stem Cell Research, a section of the journal Frontiers in Cell and Developmental Biology
Disclaimer
All claims expressed in this article are solely those of the authors and do not necessarily represent those of their affiliated organizations, or those of the publisher, the editors and the reviewers. Any product that may be evaluated in this article or claim that may be made by its manufacturer is not guaranteed or endorsed by the publisher.