Abstract
Patients with molar-incisor hypomineralization (MIH) may manifest tooth hypersensitivity and difficulties in undergoing dental treatment, including fear, anxiety, and behavior problems in the dental office. Then, the objective of this study was to report a clinical case series using inhalation sedation with nitrous oxide and oxygen as a clinical strategy in the management of MIH pediatric patients during dental treatment. Pediatric patients and their legal guardians were properly informed and data were extracted from clinical charts. Six clinical cases were included in which the patients were between 8 and 12 years old. Of these, 4 were female. The indication of moderate sedation took into account the clinical difficulties related to patients with MIH, such as obtaining anesthesia and cooperation, in addition to odontophobia and dental anxiety. All patients were carefully examined to undergo the sedation technique, including medical history and previous experiences with nitrous oxide inhalation sedation, as well as the vital signs were properly evaluated before, during and after the procedures. The nitrous oxide concentration ranged between 30% and 60%. The procedures were restorative, endodontic or surgical (extractions). In general, the use of sedation contributed to the performance of dental procedures. The use of inhaled sedation helped in behavioral management and during the treatment, increasing the effectiveness of local anesthesia. Patients were cooperative for treatment, while no adverse effects or complications related to sedation were observed. Thus, for the patients in this case series, the use of inhalation sedation with nitrous oxide and oxygen contributed to the clinical management of patients with MIH.
Introduction
Molar-incisor hypomineralization (MIH) is a qualitative enamel development defect that affects mainly the dental enamel of permanent molars and can also affect incisors. Currently, it has been accepted that even premolars and canines might present opacities that share MIH characteristics, such as lower mineral and higher organic content (1). Hypomineralized teeth are more porous and susceptible to wear by masticatory forces and demineralization processes, such as dental caries (2, 3). Although the etiology is not fully understood, genetic and environmental factors may be associated. In fact, MIH is a global concern in oral health and the prevalence of this condition can reach up to 44% (1, 3, 4).
Due to poor mineralization, MIH patients often require dental interventions, up to 10 times more than patients without the condition (2, 3). The accelerated evolution of dental caries and the difficulties in establishing satisfactory restorative procedures (that require satisfactory adhesion to the dental substrate), together with difficulties in the cooperation of children in the dental office, make the clinical management of MIH patients a challenge in the dental settings. Problems in child behavior can occur due to dental fear and anxiety during clinical procedures, especially related to dental pain (3, 5, 6).
Regarding pain, it is possible that the porosity of the enamel may provide the tooth hypersensitivity observed in MIH patients (5–7). Painful sensations can impair oral hygiene habits and increase the risk of dental caries, as well as difficulties in anesthetizing and controlling pain, which may occur in MIH patients, which can generate anxiety and behavior problems during clinical care (6).
Considering that the global prevalence of MIH is high, the increase in the number of diagnoses (especially in low-/middle-income countries) results in the need to promote oral health care, dealing with the challenges related to the management of hypomineralization defects and their consequences in each patient. Therefore, considering the frequent need for interventions, probable experiences with pain and discomfort must be taken into account, which leads us to concerns about behavioral problems in the dental office, as well as the strategies to manage them (4, 8). Recommendations for the use of nitrous oxide (N2O) and oxygen (O2) sedation in MIH patients were noted in Almulhim (2021) (9) and Jälevik and Klingberg (2002) (8). The first is a literature review, while the second was a case-control study where sedation was used but no further information on the sedation procedure was described.
Up to now, no study has systematically evaluated the use of sedation with N2O and O2 in the behavioral management of MIH patients in the dental office. On the other hand, there is evidence for the safe and efficient use of this technique in dental settings. Sedation with N2O and O2 may be useful to provide tolerability to dental treatment in fearful patients, helping to control anxiety and pain, as well as improving patient cooperation (8, 10, 11). Then, the objective of this study was to report a clinical case series using inhalation sedation with N2O and O2 as a clinical strategy in the management of MIH in pediatric patients during dental treatment.
Clinical cases
This clinical case series was approved by the Research Ethics Committee from the School of Dentistry of Ribeirão Preto - University of São Paulo (FORP/USP) under process number CAAE 52426521.4.0000.5419. The legal guardians and the participants were fully informed and formally signed the Informed Consent Term. Here, six clinical cases were selected. All procedures were performed at FORP/USP, under the supervision of professionals qualified for the inhalation sedation technique with nitrous oxide. Data collection took place in the clinical charts after the agreement of patients and their guardians. Teeth with MIH were classified according to the Ghanim index (12) by a trained and calibrated professional.
Prior to the procedures, a screening was performed to assess the applicability of the sedation technique in patients, such as clinical history, experiences with inhalation sedation, the need to manage behavior in the dental office and the risk-benefit ratio. The Trieger psychomotor test and vital signs were duly evaluated in the pre- and immediate postoperative periods. For inhalation, an appropriate nasal mask for each patient was chosen to ensure an adequate sealing throughout the procedure (13). Considering that the patients were children, the oxygen flow was set at 4–5 L/min. The sedation level was established individually, by titration, while gas administration started and ended with O2 (100%) for at least 3–5 min (14). Nitrous oxide release was gradually adjusted, often 10% per minute, until the needed sedation level was established for each patient, at most 70% N2O and 30% O2 (15, 16), in order to achieve a level of moderate sedation, where the patient has a depressed state of consciousness but can respond to verbal commands with or without mild tactile stimulation (17).
Case 1
A 10-year-old, female and black patient, who sought urgent care at the dental school. During the anamnesis, the patient reported odontophobia. In the oral clinical examination, it was observed that the patient had MIH and, after radiographic exams, needed restorative (units 14, 15, 42, 43, 45 and 46) and root canal (unit 36) treatments, as well as extraction of the unit 16. Due to persistent odontophobia, inhalation sedation with nitrous oxide and oxygen was chosen as the clinical strategy to perform the extraction of unit 16, which had a B-5-III Ghanim index (12). In this case, 40% N2O and 60% O2 sedation parameters were used, in addition to the greater palatine and posterior superior alveolar nerve blocks. The procedure was performed without complications related to the sedation technique. The patient was quiet, conscious and responsive, as well as showing less evidence of anxiety and involuntary movements (Figure 1). Vital signs remained stable throughout the sedation procedure.
Figure 1

(A) Beginning of the procedure, with adaptation of the nasal mask, ensuring adequate sedation. (B) Extraction of tooth 16 with sectioned roots. (C) Patient signaling that everything is fine during care.
Case 2
A 11-year-old, female and white patient, was scheduled for dental restorations in units 11 and 26 (Figures 2A,B). During the anamnesis, the patient's guardian reported her child presented intense fear of dental treatment and metallophobia. After clinical examination, the diagnosis of MIH was made. Units 11 (B-5-II Ghanim index) and 26 (B-5-III Ghanim index) (12) were restored with light-curing resin under absolute isolation (Figures 2C,D). In this case, 40% N2O and 60% O2 sedation parameters were used, in addition to the infiltrative local anesthesia and greater palatine nerve block. The patient responded adequately to the sedation technique and was calm throughout the restorative procedure. There were no complications.
Figure 2

(A) Enamel defect and caries distal to element 11. (B) Rubber dam isolation with rubber dam on element 26. (C) Final image of the restoration after occlusal adjustment of the element 11. (D) Final image of the restoration after occlusal adjustment of the element 26.
Case 3
A 12-year-old, male and white patient, was attended for dental treatment. During the anamnesis, the patient was extremely phobic and reported feeling very afraid of dental anesthesia. Clinical examination revealed enamel defects in unit 11 (B-3-II Ghanim index) and all molars, confirming the diagnosis of MIH (Figures 3A–C). In this appointment, after radiographic examination (Figure 3D), the unit 16 (B-5-III Ghanim index) (12) was extracted using 60% N2O and 40% O2 sedation parameters, in addition to the greater palatine and posterior superior alveolar nerve blocks (Figures 3E–G). Although the procedure was invasive, the patient was quiet and sedation helped to increase the patient's pain perception threshold. No complications were reported and the patient was released after the Trieger psychomotor test (Figure 3H).
Figure 3

(A–C) Clinical images showing enamel defect on teeth 11, 26 and 36, extensive caries on teeth 46 and 16, confirmed by radiographic examination (D). (E) Patient calm during sedation and assessment of vital signs throughout the procedure. (F) Intraoral anesthesia for greater palatine and posterior superior alveolar nerve blocks. (G) Element 16 after extraction that required odontosection. (H) Trieger test performed before and after surgery.
Case 4
An 8-year-old female and white patient, after the clinical examination was scheduled for dental restorations with light-curing composite resin in units 16, 26, 36 and 46 using absolute isolation (Figure 4). In the first appointment, during the anamnesis, the patient reported feeling anxiety and fear in relation to dental treatment. Clinical examination revealed MIH and extensive destruction in unit 36 (B-5-II) and 46 (B-5-III) (12). In this case, to restore these units, 30% N2O and 70% O2 sedation parameters were used, in addition to the inferior alveolar and lingual nerve blocks. The patient was cooperative and calm throughout the procedures, which were performed in one-week interval each. No complications were observed. At the last appointment, after 3 sessions using nitrous oxide and oxygen sedation, she agreed to undergo only local anesthesia, without sedation, and reported she was no longer afraid of dental treatment.
Figure 4

(A–C) Intraoral photographs of the patient. It is observed that the upper incisors have white-creamy opacities, teeth 16 and 26 have yellow-brown opacities on the occlusal surface, and teeth 36 and 46 have caries destruction involving the cusp in tooth 46. (D) Final image of the tooth 46 after restorative procedure.
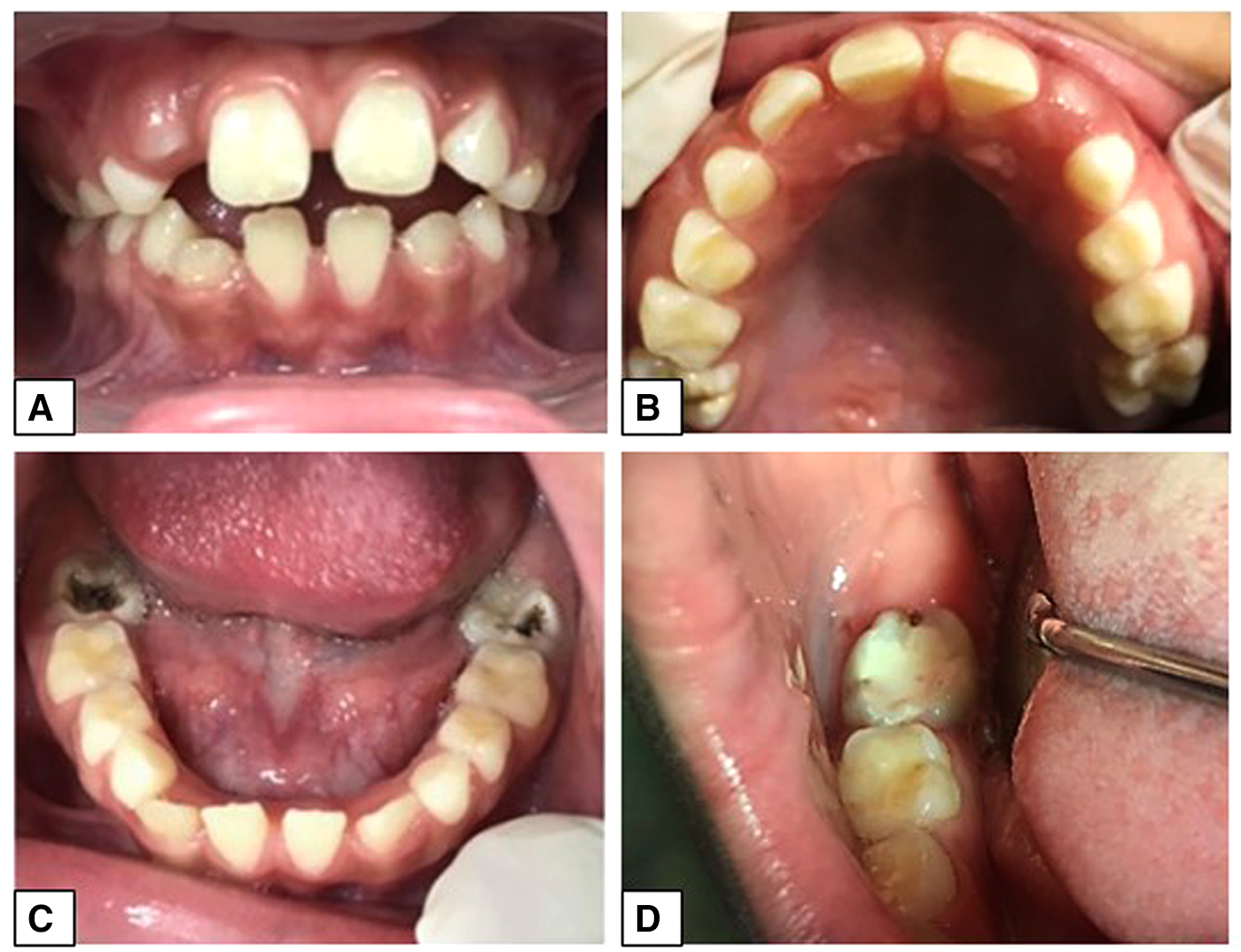
Case 5
A 9-year-old, male and white patient, attended the dental clinic for root canal treatment. The clinical examination revealed the presence of MIH in incisors and molars (Figures 5A,B). Restorative treatment with light-curing composite resin was performed on the incisors and after radiographic examination, a pulpectomy was indicated for unit 36 (B-5-II Ghanim index) (12) (Figure 5C). During the procedure, the patient reported that he was in moderate pain during dental pulp extirpation and it was concluded that adequate anesthesia was difficult to obtain and the patient became very anxious. Then, 40% N2O and 60% O2 sedation parameters were used, in addition to the inferior alveolar and lingual nerve blocks which resulted in an improved local anesthesic efficacy. There were no complications and the patient remained quiet and did not report pain or discomfort during the procedure.
Figure 5

(A,B) Intra-oral clinical image of the patient. Demarcated opacities with post-eruptive breakdown are observed in the upper incisors and destruction by atypical caries in tooth 36. (C) Radiographic examination of element 36.
Case 6
A 10-year-old female and white patient, was scheduled for dental restorations in units 16, 36 and 46. The diagnosis of MIH was made during clinical examination (Figure 6A). After consecutive failures, sedation was indicated to enable dental treatment on alternate days. For the units 16 (B-5-III Ghanim index), 36 (B-4-III Ghanim index) and 46 (B-4-III Ghanim index) 40% N2O and 60% O2 sedation parameters were used, in addition to the greater palatine and posterior superior alveolar nerve blocks. With the sedation technique, it was possible to carry out the necessary restorative treatments using light-curing composite resin under absolute isolation (Figure 6B). The patient was cooperative and calm during the procedures. Vital signs remained stable throughout the sedation procedure without complications.
Figure 6

(A) Initial image of element 16 and (B) final image of the tooth after restoration with composite resin.
Discussion
In this clinical case series, the use of inhalation sedation with N2O and O2 was a strategy to enable the performance of dental procedures in MIH patients, mainly to deal with dental fear and anxiety. In pediatric patients, nitrous oxide sedation has been shown to be an effective, low-risk and safe alternative for the control of fear and anxiety in these patients (18), from the operating room to the dental office and emergency department, where its use alone or in combination with other agents can facilitate the performance of painful and/or anxiety-inducing procedures and is a viable alternative when the behavior is negative (17, 19, 20). Success in the use of sedation can be measured by the completion of the proposed/necessary treatment. A success rate higher than 90% of this approach in general practice has been reported, as well as more favorable behaviors for the performance of dental procedures (21). Also, 88.9% of sessions using sedation had no adverse effects on patients and no serious adverse effects were observed in all sessions (21). The main adverse effects cited in the literature are oversedation, nausea, vomiting, sweating, dysphoria, restlessness, panics, respiratory depression, interactions with other medications and headache (21, 22) Clinical investigations are still needed to expand the level of evidence and the grade of recommendation on the effect of sedation in managing the behavior of MIH patients. Current evidence available does not specify these patients (22, 23).
Also, dentists need to deal with hypersensitivity in dental settings with MIH patients, including dental fear and anxiety associated. In fact, fear and anxiety regarding dental treatment is a common problem in different age groups and patient profiles. Hypomineralized defects are associated with increased hypersensitivity in patients with MIH, especially in molars with moderate or severe defects. Post-eruptive enamel breakdown can also exacerbate hypersensitivity (6, 24–26).
Reviews have already synthesized the evidence on the management of MIH, emphasizing the importance of pain and discomfort control, as well as discussing how hypersensitivity can hinder the action of anesthetic agents. There is extensive discussion of preventive agents, adhesion and restorative strategies, but behavior management, including the use of inhalation sedation with N2O and O2, is not properly discussed. It is essential for professionals to be able to recognize that controlling pain is not the same as controlling fear and anxiety in dental settings (24, 27, 28). The guidelines for clinical practice in MIH by the European Academy of Paediatric Dentistry (EAPD) recognizes the interface between MIH and behavior management, but sedation as a clinical strategy was not further discussed for these patients (29).
Sedation with nitrous oxide is a low-risk practice that allows the patient to control anxiety and is a common practice in several offices around the world. However, it is still not well described in the literature for patients with MIH. Still, we consider it to be a valuable clinical strategy to improve patient cooperation and address clinical problems related to MIH, mainly related to pain and anxiety. A systematic approach, by means of a randomized clinical trial, should be undertaken to investigate the efficacy of the use of inhalation sedation with N2O and O2 in managing the behavior of MIH patients from different perspectives: tolerability to treatment, pain, fear and anxiety. Therefore, our clinical case series acts as a starting point, demonstrating the applicability of this technique in managing the behavior of children with MIH, including indications, parameters and associated outcomes.
Patient perspective
In general, we observed that all patients were cooperative and remained calm during the clinical procedures. No complications, pain or discomfort were reported and all procedures could be fully performed.
Statements
Data availability statement
The raw data supporting the conclusions of this article will be made available by the authors, without undue reservation.
Ethics statement
The studies involving human participants were reviewed and approved by the Research Ethics Committee from the School of Dentistry of Ribeirão Preto - University of São Paulo (FORP/USP) under process number CAAE 52426521.4.0000.5419.
Written informed consent to participate in this study was provided by the participants’ legal guardian/next of kin.
Written informed consent was obtained from the individual(s), and minor(s)' legal guardian/next of kin, for the publication of any potentially identifiable images or data included in this article.
Author contributions
FWGPS, FKC and AMQ designed the case series protocol. FWGPS, KFM, RBC, MFMA and TCSF performed data collection from clinical records, as well as obtained the consent of patients and their legal guardians. The authors contributed equally to data analysis and manuscript writing and review. All authors contributed to the article and approved the submitted version.
Funding
Coordination for the Improvement of Higher Education Personnel (CAPES/Brazil/PROEX) and doctoral scholarships to KFM, RBL e TCSF (Financial code: 8888.628950/2021-00).
Acknowledgments
The authors thank Luciano Aparecido de Almeida-Júnior who treated the patient reported in case #2, and Carolina Paes Torres Mantovani and Ana Carolina Fernandes Couto who treated the patient reported in case #6.
Conflict of interest
The authors declare that the research was conducted in the absence of any commercial or financial relationships that could be construed as a potential conflict of interest.
Publisher’s note
All claims expressed in this article are solely those of the authors and do not necessarily represent those of their affiliated organizations, or those of the publisher, the editors and the reviewers. Any product that may be evaluated in this article, or claim that may be made by its manufacturer, is not guaranteed or endorsed by the publisher.
References
1.
Giuca MR Lardani L Pasini M Beretta M Gallusi G Campanella V . State-of-the-art on MIH. Part. 1 definition and aepidemiology. Eur J Paediatr Dent. (2020) 21:80–2. 10.23804/ejpd.2020.21.01.16
2.
Fagrell TG Dietz W Jälevik B Norén JG . Chemical, mechanical and morphological properties of hypomineralized enamel of permanent first molars. Acta Odontol Scand. (2010) 68(4):215–22. 10.3109/00016351003752395
3.
Saitoh M Shintani S . Molar incisor hypomineralization: a review and prevalence in Japan. Jpn Dent Sci Rev. (2021) 57:71–7. 10.1016/j.jdsr.2021.05.001
4.
Schwendicke F Elhennawy K Reda S Bekes K Manton DJ Krois J . Global burden of molar incisor hypomineralization. J Dent. (2018) 68:10–8. 10.1016/j.jdent.2017.12.002
5.
Elhennawy K Schwendicke F . Managing molar-incisor hypomineralization: a systematic review. J Dent. (2016) 55:16–24. 10.1016/j.jdent.2016.09.012
6.
Raposo F de Carvalho Rodrigues AC Lia ÉN Leal SC . Prevalence of hypersensitivity in teeth affected by molar-incisor hypomineralization (MIH). Caries Res. (2019) 53:424–30. 10.1159/000495848
7.
Sobral A Santos EM Aranha AC Soares PV Moriyama CM Gonçalves M et al The control of pain due to dentin hypersensitivity in individuals with molar-incisor hypomineralisation: a protocol for a randomised controlled clinical trial. BMJ Open. (2021) 11:e044653. 10.1136/bmjopen-2020-044653
8.
Jälevik B Klingberg GA . Dental treatment, dental fear and behaviour management problems in children with severe enamel hypomineralization of their permanent first molars. Int J Paediatr Dent. (2002) 12(1):24–32.
9.
Almulhim B . Molar and incisor hypomineralization. JNMA J Nepal Med Assoc. (2021) 59:295–302. 10.31729/jnma.6343
10.
Galeotti A Garret Bernardin A D'Antò V Ferrazzano GF Gentile T Viarani V et al Inhalation conscious sedation with nitrous oxide and oxygen as alternative to general anesthesia in precooperative, fearful, and disabled pediatric dental patients: a large survey on 688 working sessions. Biomed Res Int. (2016) 2016:7289310. 10.1155/2016/7289310
11.
Attri JP Sharan R Makkar V Gupta KK Khetarpal R Kataria AP . Conscious sedation: emerging trends in pediatric dentistry. Anesth Essays Res. (2017) 11:277–81. 10.4103/0259-1162.171458
12.
Ghanim A Elfrink M Weerheijm K Mariño R Manton D . A practical method for use in epidemiological studies on enamel hypomineralisation. Eur Arch Paediatr Dent. (2015) 16(3):235–46. 10.1007/s40368-015-0178-8
13.
Gupta K Emmanouil D Sethi A . Use of nitrous oxide-oxygen inhalation sedation in the COVID-19 era. Int J Paediatr Dent. (2021) 31(3):433–5. 10.1111/ipd.12745
14.
Coté CJ Wilson S . American academy of pediatrics, & American academy of pediatric dentistry. Guidelines for monitoring and management of pediatric patients before, during, and after sedation for diagnostic and therapeutic procedures. Pediatrics. (2019) 143(6):e20191000. 10.1542/peds.2019-1000
15.
Arnez MFM Arnez MM Queiroz AM Stuani MBS Silva FWGDP . Conscious sedation as a pharmacological resource for dental treatment of children and special care patients. Pediatria (Säo Paulo). (2011) 33:107–16.
16.
Yanko R Klitinich V Haviv Y Gozal D Aframian DJ Ratman A . Inhalation sedation during the COVID-19 outbreak: an expert opinion. Isr Med Assoc J. (2020) 22(10):599–601.
17.
Huang C Johnson N . Nitrous oxide, from the operating room to the emergency department. Curr Emerg Hosp Med Rep. (2016) 4:11–8. 10.1007/s40138-016-0092-3
18.
Zhong T Hu D . Technology of nitrous oxide/oxygen inhalation sedation and its clinical application in pediatric dentistry. West China J Stomatol. (2014) 32(1):101–4. 10.7518/hxkq.2014.01.024
19.
Fux-Noy A Sazbon S Shmueli A Halperson E Moskovitz M Ram D . Behaviour of 3-11-year-old children during dental treatment requiring multiple visits: a retrospective study. Eur Arch Paediatr Dent. (2022) 23(2):325–32. 10.1007/s40368-021-00689-0
20.
Wood M . The safety and efficacy of intranasal midazolam sedation combined with inhalation sedation with nitrous oxide and oxygen in paediatric dental patients as an alternative to general anaesthesia. SAAD Dig. (2010) 26:12–22.
21.
Hennequin M Collado V Faulks D Koscielny S Onody P Nicolas E . A clinical trial of efficacy and safety of inhalation sedation with a 50% nitrous oxide/oxygen premix (Kalinox™) in general practice. Clin Oral Investig. (2012) 16:633–42. 10.1007/s00784-011-0550-y
22.
Ashley PF Chaudhary M Lourenço-Matharu L . Sedation of children undergoing dental treatment. Cochrane Database Syst Rev. (2018) 12:CD003877. 10.1002/14651858.CD003877.pub5
23.
Stamp AJ Rolland SL Wilson KE Vernazza CR . Conscious sedation in children: the need to strengthen the evidence base remains. Evid Based Dent. (2019) 20:62–3. 10.1038/s41432-019-0032-7
24.
Armfield JM Heaton LJ . Management of fear and anxiety in the dental clinic: a review. Aust Dent J. (2013) 58:390–531. 10.1111/adj.12118
25.
De Stefano R . Psychological factors in dental patient care: odontophobia. Medicina (Kaunas). (2019) 55:678. 10.3390/medicina55100678
26.
Linner T Khazaei Y Bücher K Pfisterer J Hickel R Kühnisch J . Hypersensitivity in teeth affected by molar-incisor hypomineralization (MIH). Sci Rep. (2021) 11:17922. 10.1038/s41598-021-95875-x
27.
da Cunha Coelho A Mata P Lino CA Macho V Areias C Norton A et al Dental hypomineralization treatment: a systematic review. J Esthet Restor Dent. (2019) 31:26–39. 10.1111/jerd.12420
28.
Bandeira Lopes L Machado V Botelho J Haubek D . Molar-incisor hypomineralization: an umbrella review. Acta Odontol Scand. (2021) 79:359–69. 10.1080/00016357.2020.1863461
29.
Lygidakis NA Wong F Jälevik B Vierrou AM Alaluusua S Espelid I . Best clinical practice guidance for clinicians dealing with children presenting with molar-incisor-hypomineralisation (MIH): an EAPD policy document. Eur Arch Paediatr Dent. (2010) 11:75–81. 10.1007/BF03262716
Summary
Keywords
inhalation sedation, tooth abnormalities, molar-incisor hypomineralization, dental anxiety, dentistry
Citation
Molena KF, Lima RB, Furtado TCdS, Queiroz AMd, Carvalho FKd, Arnez MFM and Paula-Silva FWG (2022) Case Report: Applicability of sedation with nitrous oxide in the management of molar incisor hypomineralization in pediatric patients. Front. Dent. Med 3:962113. doi: 10.3389/fdmed.2022.962113
Received
05 June 2022
Accepted
20 July 2022
Published
04 August 2022
Volume
3 - 2022
Edited by
Alexandre Rezende Vieira, University of Pittsburgh, United States
Reviewed by
Fernanda Da Silva, Universidade Federal do Rio de Janeiro, Brazil
Diego Girotto Bussaneli, University of Araraquara, Brazil
Updates
Copyright
© 2022 Molena, Lima, Furtado, Queiroz, Carvalho, Arnez and Paula-Silva.
This is an open-access article distributed under the terms of the Creative Commons Attribution License (CC BY). The use, distribution or reproduction in other forums is permitted, provided the original author(s) and the copyright owner(s) are credited and that the original publication in this journal is cited, in accordance with accepted academic practice. No use, distribution or reproduction is permitted which does not comply with these terms.
* Correspondence: Francisco Wanderley Garcia Paula-Silva franciscogarcia@forp.usp.br
ORCID Kelly Fernanda Molena orcid.org/0000-0002-7290-8451 Ricardo Barbosa Lima orcid.org/0000-0001-5274-4800 Taíssa Cássia de Souza Furtado orcid.org/0000-0002-8186-1798 Fabrício Kitazono de Carvalho orcid.org/0000-0002-4837-0583 Maya Fernanda Manfrin Arnez orcid.org/0000-0002-1044-0937 Francisco Wanderley Garcia Paula-Silva orcid.org/0000-0001-8559-532X
‡These authors have contributed equally to this work
Specialty Section: This article was submitted to Pediatric Dentistry, a section of the journal Frontiers in Dental Medicine
Disclaimer
All claims expressed in this article are solely those of the authors and do not necessarily represent those of their affiliated organizations, or those of the publisher, the editors and the reviewers. Any product that may be evaluated in this article or claim that may be made by its manufacturer is not guaranteed or endorsed by the publisher.