ORIGINAL RESEARCH article
Front. Endocrinol.
Sec. Thyroid Endocrinology
Post-Thyroidectomy Ultrasonography versus Thyroglobulin as a Surveillance Tool for Locoregional Recurrence in Patients with Differentiated Thyroid Carcinoma: A Single Centre 10-Year Study
Provisionally accepted- 1The Clatterbridge Cancer Centre, Liverpool, United Kingdom
- 2Tata Memorial Hospital, Mumbai, Maharashtra, India
Select one of your emails
You have multiple emails registered with Frontiers:
Notify me on publication
Please enter your email address:
If you already have an account, please login
You don't have a Frontiers account ? You can register here
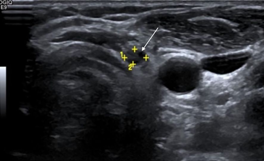
Background: Differentiated thyroid cancer (DTC; including papillary and follicular thyroid cancers) has favourable survival outcomes, with related mortality below 10%. However, 20–30% of patients experience recurrence. Surveillance primarily relies on neck ultrasonography (US) and serum thyroglobulin (Tg) assessment. Purpose: This study evaluated the diagnostic performance of neck US in detecting locoregional recurrence following total thyroidectomy and compared its effectiveness with serum Tg. Materials and Methods: This retrospective, single-centre study analysed 941 DTC patients who underwent total thyroidectomy and neck US between 2009 and 2019. Suspicious US findings were correlated with serum Tg levels and anti-thyroglobulin antibody status. Disease persistence (<6 months) /recurrence (>6 months) was confirmed via fine-needle aspiration cytology/biopsy, iodine scintigraphy, CT, or PET-CT. Patients without US-detected lesions were assessed clinically, biochemically, and via follow-up US. Results: Neck US had a sensitivity of 98.9%, specificity of 63.1%, positive predictive value (PPV) of 50.7%, negative predictive value (NPV) of 99.3%, and an accuracy of 73.01%. Serum Tg (cutoff 1.8 ng/ml derived from receiver operating characteristic analysis) had a sensitivity of 69.2%, specificity of 91.8%, PPV of 61.4%, NPV of 94.1%, and an accuracy of 88.28%. Among 149 patients with US-detected lesions and Tg <1.8 ng/ml, 22 (14.8%) had locoregional recurrence. Five of 43 patients with Tg <0.1 ng/ml had confirmed recurrence. Among lymph nodes ≤6 mm in short-axis diameter with an indistinct fatty hilum, 69.6% were benign. Persistence was detected in 38.5% of patients within six months post-treatment, whereas most true recurrences (61.5%) manifested after six months. Conclusion: Neck US is highly sensitive but moderately specific for detecting locoregional recurrence post-thyroidectomy, complementing Tg. Study limitations include its retrospective design, single-centre setting, and lack of inter-observer variability assessment. A risk-adapted multimodal surveillance strategy with 6-monthly US for two years is recommended.
Keywords: thyroid cancer, Differentiated thyroid carcinoma, Ultrasonography, Thyroidectomy, Thyroglobulin, surveillance
Received: 31 Jul 2025; Accepted: 27 Oct 2025.
Copyright: © 2025 Mahajan, Kurki, Rai, Sable, Agarwal, Vaish, Chakrabarty, SHUKLA, Dcruz, Pai, Prabhash, Noronha, PATIL, Menon, Ghosh Laskar, Patil, Bal, Rane, Mittal and Chaturvedi. This is an open-access article distributed under the terms of the Creative Commons Attribution License (CC BY). The use, distribution or reproduction in other forums is permitted, provided the original author(s) or licensor are credited and that the original publication in this journal is cited, in accordance with accepted academic practice. No use, distribution or reproduction is permitted which does not comply with these terms.
* Correspondence: Abhishek Mahajan, abhishek.mahajan@nhs.net
Disclaimer: All claims expressed in this article are solely those of the authors and do not necessarily represent those of their affiliated organizations, or those of the publisher, the editors and the reviewers. Any product that may be evaluated in this article or claim that may be made by its manufacturer is not guaranteed or endorsed by the publisher.
