ORIGINAL RESEARCH article
Front. Endocrinol.
Sec. Pediatric Endocrinology
Treatment and outcome of a boy with lgG4-related hypophysitis caused by SARS-CoV-2 re-infection
Provisionally accepted- 1Fifth People's Hospital of Foshan City, Foshan, China
- 2University Hospital of Macau SAR, Macau SAR, Macao, SAR China
- 3University Hospital, Macau, Macao, SAR China
- 4University Hospital of Macau SAR, Macau SAR, Macao, SAR China
Select one of your emails
You have multiple emails registered with Frontiers:
Notify me on publication
Please enter your email address:
If you already have an account, please login
You don't have a Frontiers account ? You can register here
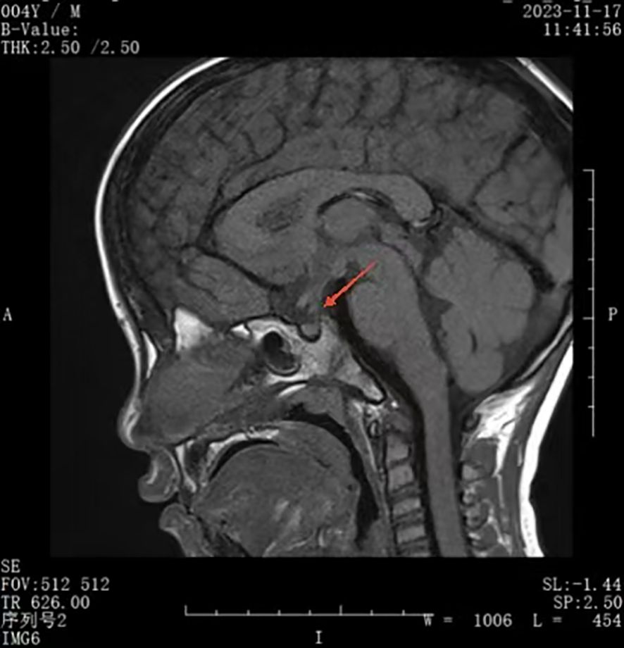
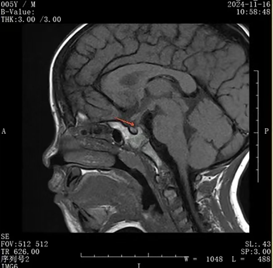
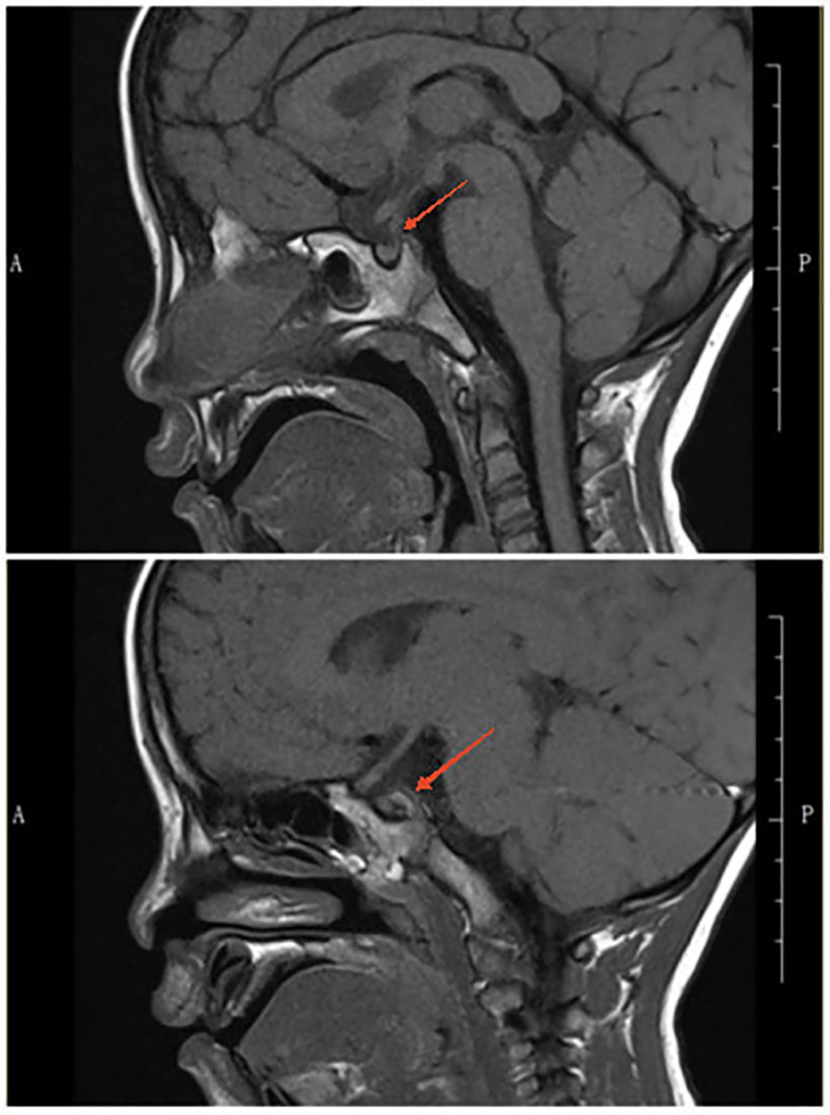
Rationale: SARS-CoV-2 infection can directly and indirectly affect the nervous system, including the hypothalamus and pituitary, and potentially cause IgG4-related hypophysitis. Patient concerns: A 4-year-old Chinese boy presented with arginine vasopressin deficiency (AVP-D, previously called 'central diabetes insipidus') and significant growth retardation. MRI indicated thickening of the pituitary stalk and alterations in the posterior pituitary. Diagnosis: The boy experienced polydipsia, polyuria, and enuresis 4 months after infection by SARS-CoV-2 and 2 months prior to presentation in June 2023. The diagnosis was IgG4-related hypophysitis, AVP-D, and growth hormone deficiency. Treatment with glucocorticoids and desmopressin led to significant resolution of symptoms and normalization of pituitary morphology. However, a second SARS-CoV-2 infection was followed by recurrence of polydipsia, polyuria, and thickening of the pituitary stalk. This recurrence led to a final diagnosis of IgG4-related hypophysitis caused by SARS-CoV-2 infection. Interventions: Glucocorticoids and desmopressin alleviated the AVP-D. Growth hormone and a diet and exercise plan were recommended to manage his short stature. We plan to conduct a functional assessment of the gonadal axis after he is 6 years old. Outcomes: After 18 months, the polydipsia and polyuria were controlled, and an MRI showed significant thinning of the pituitary stalk. This is the first reported case of lgG4-related hypophysitis in a Chinese boy infected with SARS-CoV-2. Lessons: We successfully controlled clinical symptoms, but further follow-up observations are needed to assess recovery. Although the role of SARS-CoV-2 infection in this patient's condition is only suggestive, other reports have described a relationship between SARS-CoV-2 infection and lgG4-related hypophysitis.
Keywords: IgG4-related disease, IgG4 related hypophysitis, SARS-CoV-2 infection, arginine vasopressin deficiency, Central diabetes insipidus
Received: 10 Jul 2025; Accepted: 31 Oct 2025.
Copyright: © 2025 Li, He and Leong. This is an open-access article distributed under the terms of the Creative Commons Attribution License (CC BY). The use, distribution or reproduction in other forums is permitted, provided the original author(s) or licensor are credited and that the original publication in this journal is cited, in accordance with accepted academic practice. No use, distribution or reproduction is permitted which does not comply with these terms.
* Correspondence: Jianyu He, 1165199809@qq.com
Disclaimer: All claims expressed in this article are solely those of the authors and do not necessarily represent those of their affiliated organizations, or those of the publisher, the editors and the reviewers. Any product that may be evaluated in this article or claim that may be made by its manufacturer is not guaranteed or endorsed by the publisher.
