REVIEW article
Front. Endocrinol.
Sec. Bone Research
3M Syndrome in Saudi Arabia: A Case Series Study and Literature Review
Provisionally accepted- 1King Faisal Specialist Hospital and Research Centre, Riyadh, Saudi Arabia
- 2Alfaisal University, Riyadh, Saudi Arabia
- 3King Faisal Specialist Hospital & Research Centre - Jeddah, Jeddah, Saudi Arabia
Select one of your emails
You have multiple emails registered with Frontiers:
Notify me on publication
Please enter your email address:
If you already have an account, please login
You don't have a Frontiers account ? You can register here
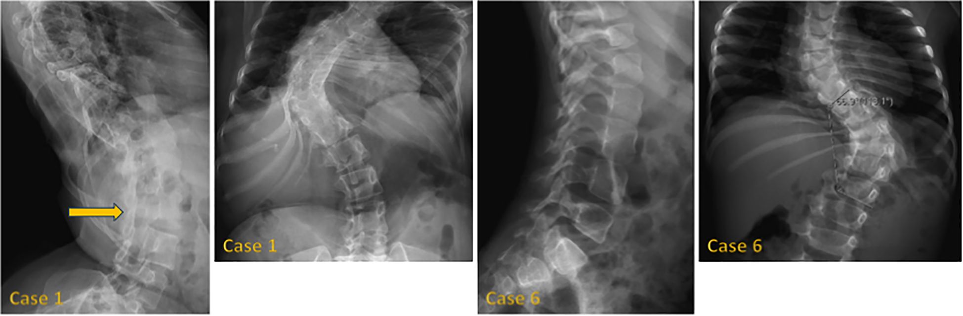
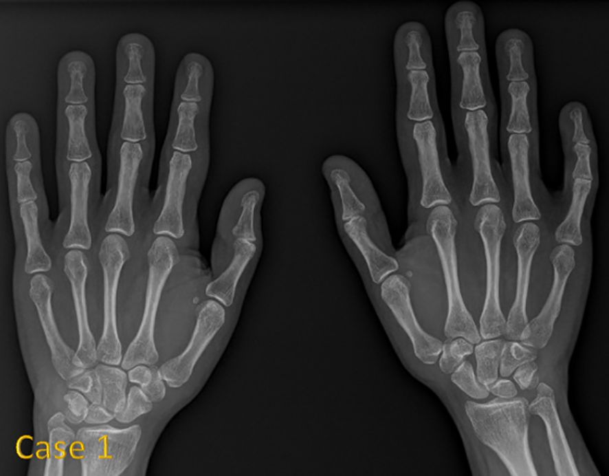
Background: 3M syndrome (3MS) is a very rare autosomal recessive disorder characterized by short stature, distinctive facial features, and skeletal abnormalities. The condition is frequently underdiagnosed due to its nonspecific symptoms and normal neurocognitive development. Few reports exist on its clinical course and response to growth hormone (GH) therapy. Therefore, this study aims to describe the clinical features of Saudi patients with 3MS and to investigate the effects of growth hormone therapy on growth. Methods: We conducted a retrospective case series of 14 Saudi patients from 11 families with genetically confirmed 3MS at King Faisal Specialist Hospital and Research Centre in Riyadh. Results: The mean age at diagnosis was 5.4 years. Consanguinity was present in 79% of cases. The most frequently affected gene was CUL7 (57% of cases), followed by OBSL1 and CCDC8. All variants were predominantly homozygous and classified as pathogenic or likely pathogenic. Clinical abnormalities included growth retardation, dental abnormalities, spinal abnormalities, and a This is a provisional file, not the final typeset article characteristic facial appearance. GH therapy was administered to 10 children; 5 demonstrated a measurable improvement in growth velocity, while 5 did not respond or discontinued treatment. IGF-1 was within/low-normal in most tested cases, with two elevated results. Conclusion: Our study highlights the extensive phenotypic variability of 3MS and underscores the predominantly autosomal recessive inheritance pattern in this population. GH therapy may provide a growth benefit in select cases, although resistance and poor response remain a challenge. Genetic testing is crucial for accurate diagnosis, individualized management, and appropriate family counseling.
Keywords: 3M syndrome, Growth hormone therapy, rare hereditary disorder, CUL7, OBSL1, CCDC8
Received: 15 Jul 2025; Accepted: 29 Oct 2025.
Copyright: © 2025 Alhuthil, Alsaghier, Almslam, Raed, Barakat, Murad and Bin-Abbas. This is an open-access article distributed under the terms of the Creative Commons Attribution License (CC BY). The use, distribution or reproduction in other forums is permitted, provided the original author(s) or licensor are credited and that the original publication in this journal is cited, in accordance with accepted academic practice. No use, distribution or reproduction is permitted which does not comply with these terms.
* Correspondence: Afaf  Alsaghier, asagheir@kfshrc.edu.sa
Disclaimer: All claims expressed in this article are solely those of the authors and do not necessarily represent those of their affiliated organizations, or those of the publisher, the editors and the reviewers. Any product that may be evaluated in this article or claim that may be made by its manufacturer is not guaranteed or endorsed by the publisher.
