ORIGINAL RESEARCH article
Front. Endocrinol.
Sec. Thyroid Endocrinology
This article is part of the Research TopicPhysiology and Pathophysiology of PlacentaView all 12 articles
Pathological features of the placenta in hypothyroidism during pregnancy: A population-based retrospective cohort study in Chinese population
Provisionally accepted- 1The Third Affiliated Hospital of Zhengzhou University, Zhengzhou, China
- 2UPMC Magee-Women's Hospital, Pittsburgh, United States
Select one of your emails
You have multiple emails registered with Frontiers:
Notify me on publication
Please enter your email address:
If you already have an account, please login
You don't have a Frontiers account ? You can register here
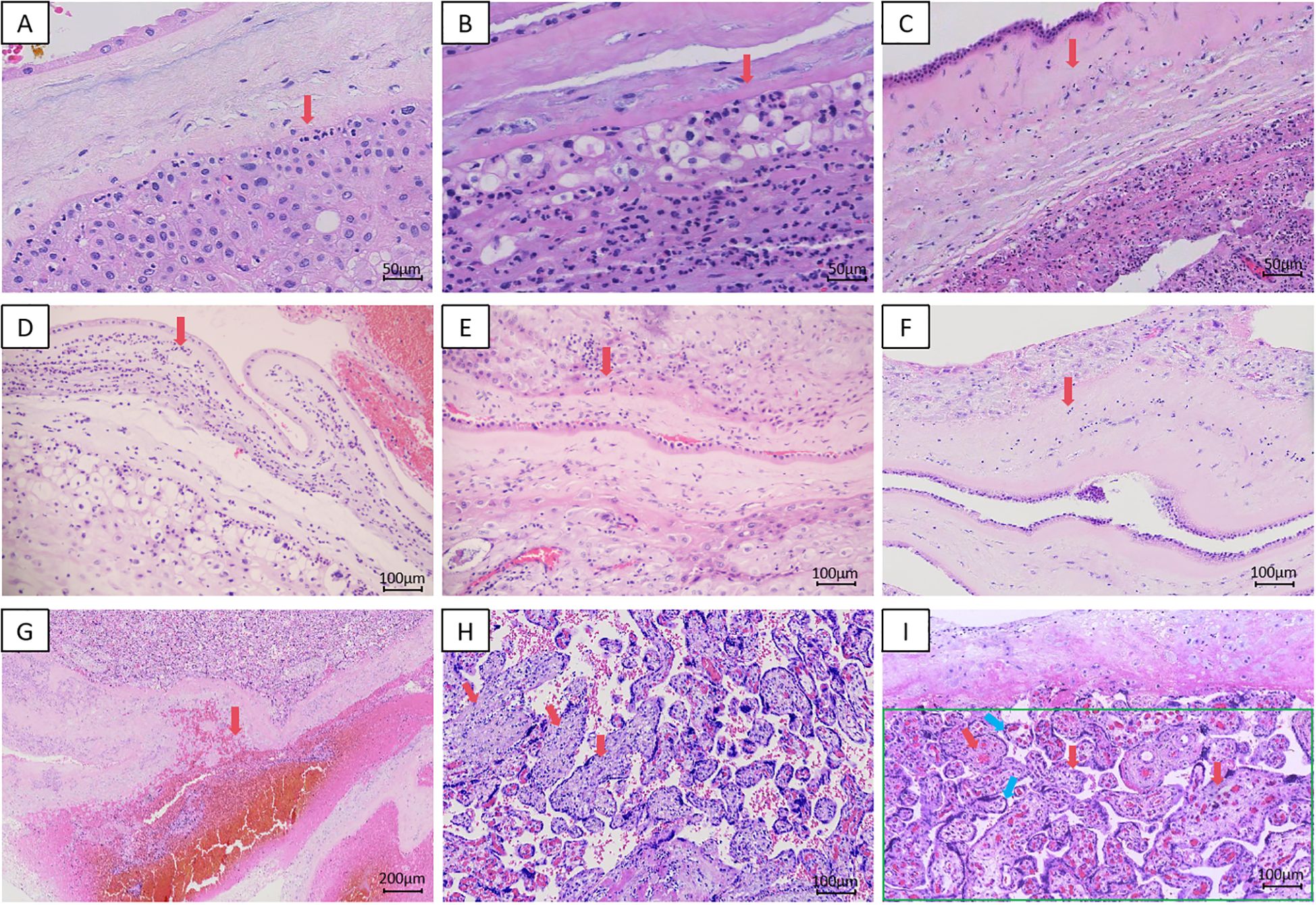
Background: Pregnant women, due to changes in their metabolic and immune states, are a high - risk group for thyroid diseases. The most common one among them is hypothyroidism. However, there are few reports on its impact on placental morphology. This study aim to assess the effect of hypothyroidism on the gross morphology and histopathology of the placenta compared with gestational age - matched controls. Methods: Placental samples from women with singleton pregnancies who gave birth at the Third Affiliated Hospital of Zhengzhou University from June 2022 to December 2023 were collected. A total of 852 participants were recruited according to the inclusion and exclusion criteria, with 213 in the hypothyroidism group and 639 in the control group. Baseline demographic and clinical data of the pregnant women, as well as neonate-related information, were recorded. Gross placental measurements and histological sections from standardized placental samples were evaluated and statistically analyzed. Results: Overall, compared with the control group, insufficient vascular perfusion and inflammation were more frequently observed in the placentae of pregnant women with hypothyroidism. These included retroplacental hemorrhage (4.69% versus 1.25%, P=0.002) related to maternal vascular malperfusion, delayed villous maturation (30.52% versus 17.37%, P <0.001) and decreased vasculosyncytial membrane (32.39% versus 24.10%, P=0.017) related to fetal vascular malperfusion, chronic chorioamnionitis (7.04% versus 1.56%, P<0.001), and villitis of unknown etiology (3.29% versus 0.94%, P=0.016). Additionally, hypothyroidism increased the risk of fetal complications, including fetal distress (15.49% versus 9.68%, P=0.024) and small for gestational age (8.45% versus 4.54%, P=0.030). Conclusion: Gestational hypothyroidism can lead to histopathological abnormalities in the placenta. These abnormalities affect the development and function of the placenta, consequently influencing perinatal outcomes and fetal development.
Keywords: Maternal hypothyroidism, Placenta pathology, Placental morphology, fetal vascularmalperfusion, Maternal vascular malperfusion
Received: 23 Jul 2025; Accepted: 27 Oct 2025.
Copyright: © 2025 Bao, Li, Xue, Liu, Yan, Wang, Li, Zeng, Zhao, Guo and Lei. This is an open-access article distributed under the terms of the Creative Commons Attribution License (CC BY). The use, distribution or reproduction in other forums is permitted, provided the original author(s) or licensor are credited and that the original publication in this journal is cited, in accordance with accepted academic practice. No use, distribution or reproduction is permitted which does not comply with these terms.
* Correspondence: Zhuo Bao, bzhuo710@126.com
Disclaimer: All claims expressed in this article are solely those of the authors and do not necessarily represent those of their affiliated organizations, or those of the publisher, the editors and the reviewers. Any product that may be evaluated in this article or claim that may be made by its manufacturer is not guaranteed or endorsed by the publisher.
