ORIGINAL RESEARCH article
Front. Endocrinol.
Sec. Experimental Endocrinology
This article is part of the Research TopicNew Endpoints for Endocrine DisruptorsView all articles
Endocrine-disrupting effects of environmental BPS and PFOS on human brain organoid development
Provisionally accepted- 1University of Studies G. d'Annunzio Chieti and Pescara, Chieti, Italy
- 2Icahn School of Medicine at Mount Sinai Black Family Stem Cell Institute, New York, United States
Select one of your emails
You have multiple emails registered with Frontiers:
Notify me on publication
Please enter your email address:
If you already have an account, please login
You don't have a Frontiers account ? You can register here
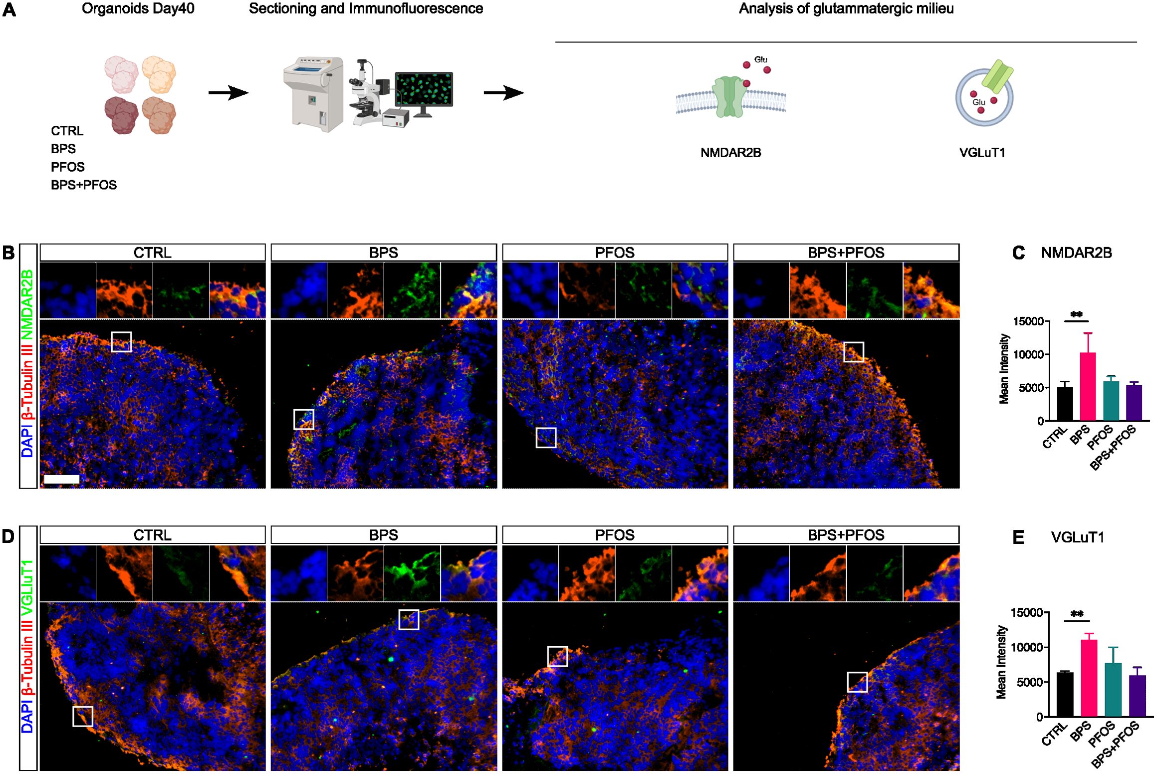
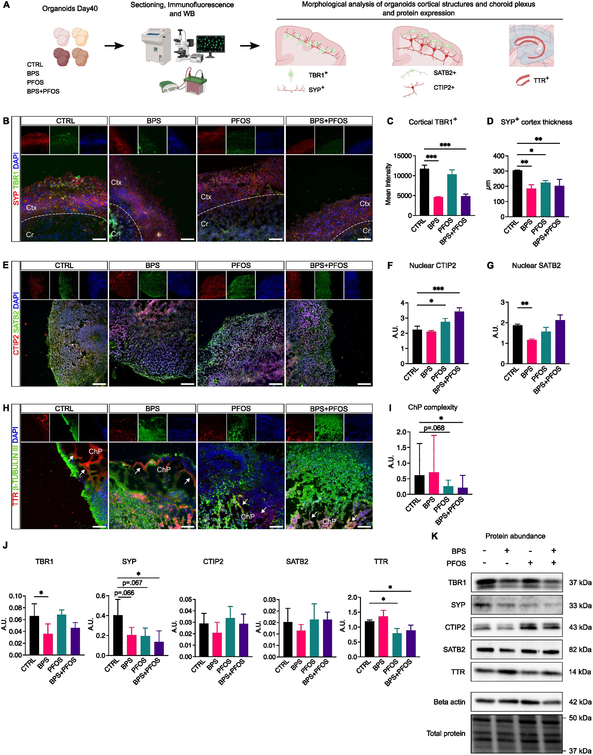
Objective: Prenatal exposure to environmental endocrine-disrupting chemicals (EDCs) has been increasingly linked to neurodevelopmental impairment. Bisphenol S (BPS) and perfluoro-octane sulfonate (PFOS), two widely distributed EDCs detected in maternal and fetal tissues, raise concern due to their potential to interfere with brain development even at low environmental doses. Methods: a phenotypic screening on human iPSC-derived cerebral organoids was performed to explore whether chronic exposure to BPS and PFOS could affect key neurodevelopmental processes. Results: Both compounds affected key neurodevelopmental processes, including neuronal proliferation, cortical specification, synaptogenesis, glutamatergic differentiation, mitochondrial function, and choroid plexus formation. Importantly, TUNEL assay confirmed the absence of significant cytotoxicity. BPS exposure was associated with reduced ERβ, GPER, and phosphorylated Akt expression, suggesting a possible involvement of estrogen-related pathways. PFOS exposure coincided with decreased transthyretin expression, suggesting a potential influence on thyroid hormone availability. Conclusions: Exposure to multiple EDCs may disrupt distinct endocrine axes, producing cumulative impacts on human brain development. These findings underscore the value of human-relevant models for identifying endocrine-mediated neurodevelopmental hazards. While the observed molecular changes suggest distinct hormonal pathways may be involved, future mechanistic studies, including co-exposures with receptor modulators, will be required to establish causal relationships.
Keywords: brain organoids, neurodevelopment, neural differentiation, endocrine disrupting chemicals, bps, PFOs
Received: 25 Aug 2025; Accepted: 21 Nov 2025.
Copyright: © 2025 Di Credico, Gaggi, Bibbò, Blenkinsop, Di Baldassarre and Ghinassi. This is an open-access article distributed under the terms of the Creative Commons Attribution License (CC BY). The use, distribution or reproduction in other forums is permitted, provided the original author(s) or licensor are credited and that the original publication in this journal is cited, in accordance with accepted academic practice. No use, distribution or reproduction is permitted which does not comply with these terms.
* Correspondence: Angela Di Baldassarre, a.dibaldassarre@unich.it
Disclaimer: All claims expressed in this article are solely those of the authors and do not necessarily represent those of their affiliated organizations, or those of the publisher, the editors and the reviewers. Any product that may be evaluated in this article or claim that may be made by its manufacturer is not guaranteed or endorsed by the publisher.
