Your new experience awaits. Try the new design now and help us make it even better

ORIGINAL RESEARCH article

Front. Endocrinol., 31 October 2025

Sec. Diabetes: Molecular Mechanisms

Volume 16 - 2025 | https://doi.org/10.3389/fendo.2025.1697097

This article is part of the Research TopicMechanisms of Endocrine Cell Proliferation in the Embryonic, Neonatal and Adult PancreasView all 5 articles

Deciphering the epigenetic role of KDM4A in pancreatic β-like cell differentiation from iPSCs

Felipe Arroyave,Felipe Arroyave1,2Lina Mndez-CastilloLina Méndez-Castillo3Fernando Lizcano,*Fernando Lizcano1,2*
  • 1Center of Biomedical Investigation, (CIBUS). Universidad de La Sabana, Chía, Colombia
  • 2Doctoral Program in Bioscience. Universidad de la Sabana, Chía, Colombia
  • 3Clínica, Universidad de La Sabana, Chía, Colombia

Introduction: Pancreatic β cells derived from human induced pluripotent stem cells (hiPSCs) represent a promising therapeutic avenue in regenerative medicine for diabetes treatment. However, current differentiation protocols lack the specificity and efficiency required to reliably produce fully functional β cells, limiting their clinical applicability. Epigenetic barriers, such as histone modifications, may hinder proper differentiation and the acquisition of essential maturation markers in these cells.

Methods: hiPSCs were cultured under feeder-free conditions and subjected to lentiviral transduction with shRNA constructs to silence KDM4A. Differentiation into pancreatic β-like cells was performed using stepwise protocols, with or without doxycycline supplementation, to evaluate the effect of KDM4A suppression. Gene expression was quantified by RT-qPCR, protein expression was assessed by western blotting and immunofluorescence, and functional insulin release was determined by glucose-stimulated insulin secretion (GSIS) assays. Statistical analysis was conducted using unpaired two-tailed Student’s t-tests, with significance set at p < 0.05.

Results: A reduction in pancreatic development proteins was observed in the different differentiation states evaluated, after blocking KDM4A expression. Knockdown of KDM4A significantly reduced the expression of pancreatic β-cell genes, such as PDX1, Nkx6.1, and Ins, by 50% compared to WT iPSCs differentiated under the same conditions. Similarly, glucose-stimulated insulin secretion was reduced by approximately 80% in KDM4A-deficient β-like cells.

Conclusions: These results emphasize the critical role of histone demethylation in hiPSC differentiation toward β cells. Our findings identify KDM4A as a key epigenetic regulator, suggesting that its modulation could enhance the generation of functional β cells for regenerative medicine in diabetes.

1 Introduction

Epigenetic control through histone modifications is a critical determinant of cell fate during development and reprogramming. (15). During endocrine differentiation of human embryonic stem cells, dynamic resolution of bivalent chromatin states (H3K4me3/H3K27me3) and removal of Polycomb-mediated repression are essential for the activation of key developmental regulators (6, 7).

Additionally, repressive chromatin marks, especially the trimethylation of lysine 9 of histone 3, (H3K9me3) reduce the expression of key genes in embryonic development (8). KDM4A, a histone demethylase targeting H3K9me3, has been associated with chromatin remodeling in stem cells, yet its role in endocrine pancreas specification is not well defined. KDM4A is associated in the regulation of genes related with cell proliferation, genome stability, and the preservation of pluripotency in maternal stem cells (916). Knockdown of KDM4A (KD-KDM4A) in cellular models has been shown to reduce cell proliferation, making it a subject of interest in various cancers (14, 17).

Differentiation of iPSCs into pancreatic β-cells remains suboptimal, because a fall to produce β-cells completely mature. Among of the difficulties that immature β-cells have is low energy efficiency, lack of identity and low capacity to respond to cellular stress. (7, 1820). The heterochromatic mark H3K9me3 might poses a barrier to activation of β-cell enhancers pattern that would affect genes that harmonically regulate insulin secretion. A critical aspect of demethylase activity was demonstrated in cloning experiments using non-human primates, where an epigenetic barrier had to be overcome in experiments involving SCNT (somatic cell nuclear transfer). Tarrier was characterized by hypermethylation of H3K9me3, which prevented embryo development and was only overcome with histone demethylase family 4 (KDM4), which established the first cloned primates. (7, 8, 2126).

We propose that KDM4A is essential for effective β-cell differentiation by enabling the activation of lineage-specific transcriptional programs. Using KDM4A knockdown iPSCs, we test whether impaired H3K9me3 clearance disrupts endocrine specification and β-cell maturation, offering insights into the epigenetic barriers that limit the generation of functional cells for diabetes therapy.

2 Materials and methods

2.1 Material

The 20b iPSCs were acquired from the Harvard Stem Cell Institute (HSCI) (Boston, United States) and were maintained on vitronectin in mTeSR1™. The medium was changed daily, and the cells were passaged when they reached 85–90% confluency. Dulbecco´s phosphate-buffered saline w/o calcium and magnesium (DPBS; 14190250), L-Glutamine (25030081), heat-stable recombinant human basic bFGF (100-18BHS-100UG), heat-stable FGF10 (PHG0375), B27 supplement minus vitamin A (12587010), human Noggin recombinant protein (PHC1506), human EGF recombinant protein (PHG0311L), Dulbecco´s modified Eagle´s medium (DMEM), Glutamax™ Supplement, pyruvate (10569010), fetal bovine serum (FBS) (A5256701), Mammalian protein extraction reagent (M-PER 78501), Halt protease, phosphatase inhibitor cocktail, and Tween™ 20 Surfact-Amps™ detergent solution, EcoR1 (ER0271), and BShT1 (Age1) (ER1461) were obtained from ThermoFisher Scientific, United States; Vitronectin XF™ (07180), human/mouse recombinant activin A (78132), mTeSR1™ medium (85850) were obtained from StemCell Technologies™ (Canada); CHIR99021 (SML1046), L-Ascrobic acid (A4544), dorsomorphin (P5499), nicotinamide (N0636), retinoic acid (R2625), monothioglycerol (MTG6145), and penicillin/streptomycin (P4333) were obtained from Sigma-Aldrich, United States; SANT-1 (559303-5MG), Immobilon-P PVDF membrane (IPVH00010), and Luminata Crescendo Western HRP Substrate, chloroquine diphosphate salt (C6628), calcium chloride (C5670), HEPES Buffer (H4034), polybrene (TR-1003-G), and doxycycline hyclate (D5207) were obtained from Merck Millipore, Darmstadt, Germany; Bicinchoninic acid kit (BCA) (786-570) was acquired from GBioscience United States; Laemmli sample buffer 2X (161-0737) was acquired from Bio-Rad, United States; SURE2 Supercompetent cells (200152) were obtained from Agilent, United States; Ampicillin, sodium salt, irradiated (11593027), carbenicillin disodium salt (10177012), and puromycin dihydrochloride (A1113808) were obtained from Gibco™, United States; Monofas® DNA purification kit I (5010-21500) was obtained from GL Sciencies Inc, Tokyo, Japan; Lenti-X™ 293T cell line (632180) was obtained from Takara Bio, United States; Addgene-plasmid-pVSV-G (138479), addgene-plasmid-pRSV-Rev (12253), addgene-plasmid-pMDLg/pRRE (12251), and addgene-GFP shRNA tet pLKO puro (16037) were obtained from Addgene, United States; shKDM4A sequence were synthetized by Eurofins Genomic Tokyo, Japan. Primary antibodies against forkhead box A2 (FOXA2) (710730), SRY-box transcription factor 17 (SOX17) (PA5-72815), hepatocyte nuclear factor alpha (HNF4A) (PA5-82159), SRY-box transcription factor 9 (SOX9) (PA5-81966), pancreas associated transcription factor 1a (PTF1A) (PA5-112677), and Neurogenin 3 (NeuroG3) (703206),c and goat anti-rabbit IgG (H+L) horseradish peroxidase-conjugated secondary antibody (G21234), Luria Broth Base (Miller´s LB Broth Base) (1295027),

PureLink™ HiPure MaxiPrep kit (K210006), and Fluoromount-G™, with DAPI (00-4959-52) were obtained from Invitrogen, United States; Recombinant pancreatic and duodenal homeobox 1 (PDX1) (ab219207), and anti-NKX6.1 antibody (ab221549) were obtained from Abcam, United States; CoraLite® Plus 488-conjugated INS Monoclonal antibody (CL488-66198), and KDM4A polyclonal antibody (29977-1-AP) were acquired from Proteintech, United States; QuickExtract™ RNA extraction kit (QER090150) was obtained from Biosearch Technologies, United States, and OneScript® Plus Reverse Transcriptase (G237) was obtained from ABN (Canada).

2.2 Knockdown of KDM4A in iPSCs with shRNA

The KDM4A knockdown efficiency was evaluated using three shRNA plasmids (shKDM4A1, shKDM4A2, and shKDM4A3) constructed with a GFP shRNA tet pLKO puro. The plasmids were delivered into 20b iPSCs via lentiviral transduction and cultured in mTeSR1™ for 48 h. After that, the medium was changed and supplemented with doxycycline (1 µg/mL) for 48 h, and then positive clones were selected using puromycin (1µg/mL) for another 48 h. The KDM4A expression was quantified by real-time PCR. Based on the mRNA expression, shKDM4A3 (Table 1) showed the highest inhibition effect of KDM4A (data not shown).

Table 1
www.frontiersin.org

Table 1. shKDM4A used to knock down (shKDM4A3).

2.3 iPSCs differentiation

Two differentiation assays were performed on pancreatic cells during the present study. The first one was performed according to the methodology previously published (27). The second one followed the same method with the variation that the differentiation medium was always supplemented with doxycycline at a concentration of (1 µg/mL) to guarantee the expression of our shKDM4A3 inserted in the cells during differentiation experiments.

2.4 RT-PCR and qPCR analysis of gene expression

RT-PCR and qPCR were performed as previously described (27). Total RNA was isolated using QuickExtract™ RNA extraction kit and then reverse transcribed into cDNA using OneScript® Plus Reverse Transcriptase following the manufacturer´s instruction. Quantitative PCR was performed on a CFX Opus 96 Real-Time PCR System (Bio-Rad, United States) by using Luna® Universal qPCR Master Mix (M3000S) (New England Biolabs, United States). The primer list used for qPCR is shown in Table 2. The amplification conditions were as follows: Denaturation at 95°C for 1 minute, followed by 40 cycles of denaturation at 95°C for 15 seconds, annealing at 60°C for 30 seconds, and extension at 72°C for 30 seconds. Expression data were normalized relative to the B-Actin transcript level. The fold change for each gene was calculated using the 2^-ΔΔCt method.

Table 2
www.frontiersin.org

Table 2. Primer list for qPCR.

2.5 Immunofluorescence

After differentiation experiments, the cells were washed twice with DPBS buffer, followed by the addition of Krebs-Ringer buffer (KRB) with 20 mM glucose to induce insulin expression. The cells were fixed in 2% paraformaldehyde for 10 minutes, washed twice with 1X PBS, permeabilized with 0.3% Triton X-100 for 10 minutes, washed twice with 1X PBS for 5 minutes, and then blocked with 2% BSA for 40 minutes. Then, they were incubated overnight in a wet chamber with a primary antibody (CoraLite® Plus 488-conjugated INS Monoclonal antibody). Finally, the cells were washed twice with 1X PBS for 5 minutes, and Fluoromount-G™, with DAPI (00-4959-52), was added to stain the nuclei at room temperature until the Fluoromount-G™ had dried. Images were captured using a fluorescent microscope.

2.6 Western blot

The western blot technique was performed as previously described (27) to determine the expression of characteristic proteins during pancreatic differentiation. Likewise, we determined the inhibition of KDM4A expression during each stage of differentiation following the same method.

2.7 Glucose-stimulated insulin secretion

According to manufacturer instructions, insulin expression was determined using the Abcam Human Insulin ELISA kit (AB100578), United States. Briefly, Pancreatic beta-like cells (PβLC), Pancreatic beta-like cells KDM4A-KD (PβLC-KD), and INS 823/13 cell line were washed two times with DPBS buffer followed by an incubation with Krebs-Ringer buffer with 2.5 mM of glucose at 37°C for 1 hour. Next, the cells were washed twice with DPBS, followed by incubation in Krebs-Ringer buffer with 20 mM glucose at 37°C for 1 hour. Supernatants from low- and high-glucose samples were collected, and insulin levels were measured in triplicate in each case.

2.8 Statistical analysis

All experiments were conducted at least three times. Data were displayed as mean ± SD. A two-tailed, unpaired Student´s t-test was performed to assess statistical significance, and p < 0.05 was considered significant.

3 Results

3.1 Effect of shKDM4A on iPSCs self-renewal and growth rate

We found that the shKDM4A-tet-puro-pKLO reduced the KDM4A expression in the iPSCs infected with the lentiviral particles. Quantitative PCR and western blot results (Figures 1A, B) showed an inhibition in the protein and gene expression in all the experiments compared to untreated cells used as controls (HepG2 cell line and iPSCs). Also, the growth and expansion rate of the iPSCs infected with the shKDM4A was monitored during all the experiments to guarantee enough cell confluency to perform further experiments. We found that iPSCs-KDM4A-knockdown (iPSCs-KD) had a lower growth and expansion rate than iPSCs without shKDM4A infection (wild type) (data not shown). The results indicate that KDM4A plays a key role in the iPSC self-renewal and growth rate by influencing cell proliferation and cycle arrest (16).

Figure 1
Graph A shows a bar chart of relative KDM4A expression across different differentiation stages. The control exhibits the highest expression, while S0 KD to S4 KD stages show significantly lower levels, indicated by asterisks. Graph B is a Western blot depicting protein expression, with bands corresponding to HepG2, iPSCs WT, and knockdown stages S0-KD to S4-KD. The labels denote a molecular weight of 145 kDa.

Figure 1. Expression of the KDM4A protein after lentiviral infection. (A) qPCR results of the knockdown of the protein. Expression data are normalized to the Ctrl (b-actin, transcript level). Each experiment was performed in triplicate. Bars under the same symbol (*) are statistically different under the two-tailed, unpaired Student´s t-test compared to the Ctrl expression level. *p < 0.05. (B) KDM4A protein knockdown during the differentiation protocol. Proteins were extracted at the end of each differentiation stage and detected using specific antibodies against KDM4A. HepG2 and iPSCs WT (wild type) were used as controls. S0-KD, Stage 0 knockdown; S1-KD, Stage 1 knockdown; S2-KD, Stage 2 knockdown; S3-KD, Stage 3 knockdown; S4-KD, Stage 4 knockdown; KDM4A-KD, Histone lysine demethylase 4A knockdown.

3.2 Effect of shKDM4A on iPSCs differentiation to pancreatic ß-like cells

Two different differentiation assays were performed following the methodology previously reported (27, 28). During the first differentiation assay, iPSCs were infected with our shKDM4A by transfection with lentivirus particles to determine the effect that KDM4A knockdown would have during the differentiation process. During all the experiments, KDM4A inhibition was ensured through medium supplementation using doxycycline 1 µg/mL.

It is essential to highlight that although the iPSC colonies maintained their typical growth characteristics before the infection (defined borders, scarce cytoplasm, large nuclei, and aggregates growth), these morphological growth characteristics disappeared during the first 72 hours of experiments (Figure 2). Likewise, the growth rate and cell density were affected due to the knockdown of KDM4A, demonstrating that inhibition of the expression of this protein can influence the maintenance of pluripotency of iPSCs, as well as directly influence the morphological characteristics of the cells (15).

Figure 2
Six microscopic images show the differentiation process of induced pluripotent stem cells (iPSCs) over time, labeled iPSCs, DE, PG, PP, EP, and PPLC. Each image spans 50 micrometers and is taken at intervals from twenty-four hours to thirteen days. The cells transition in appearance, indicating developmental stages.

Figure 2. Schematic representation of the differentiation process of the iPSCs KDM4A knockdown (iPSCs-KD) to pancreatic β-like cells (PβLCs). iPSCs were cultured in a 12-well plate coated with vitronectin XF™ in a sequential protocol for 13 days. The mTeSR1™ was supplemented with different cofactors and small molecules. Images were captured with a phase contrast microscope (ZEISS AX10). DE, Definitive endoderm; PG, Pancreatic gut tube; PP, Pancreatic progenitor; EP, Endocrine progenitor; PβLC, Pancreatic beta-like cell; d, days. Black bar 50 µm.

To further examine the effect of KDM4A protein knockdown on the process of pancreatic differentiation of iPSCs to pancreatic β cells, western blot (Figure 3) and qRT-PCR (Figure 4) assays were performed to evaluate the expression behavior of characteristic proteins and genes associated with the process.

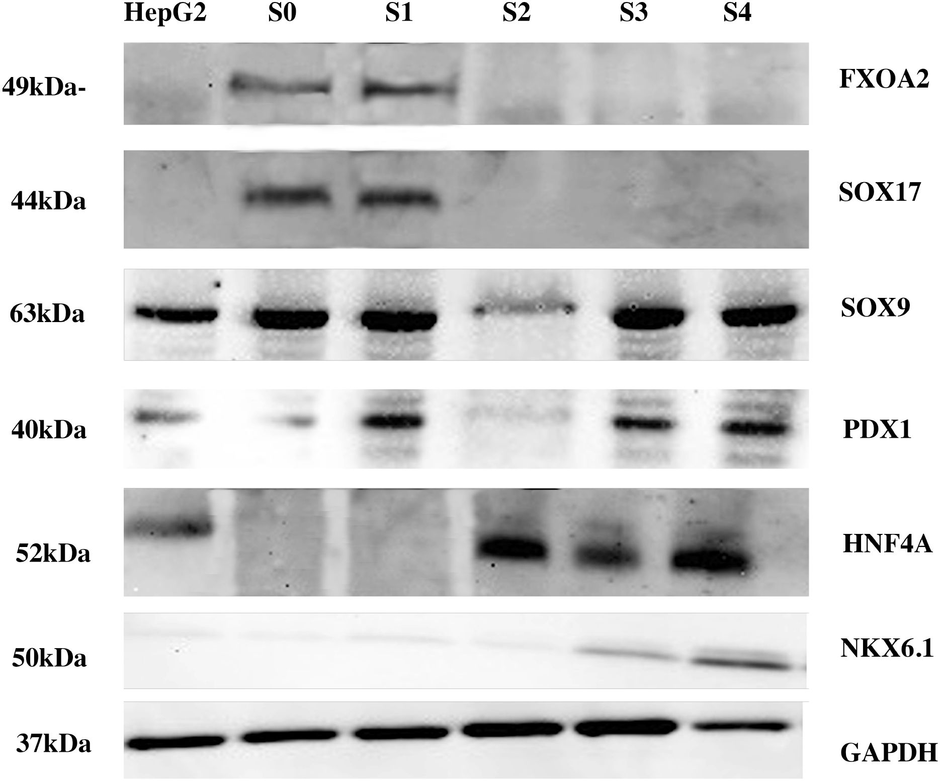
Figure 3
Western blot analysis showing protein levels across different samples (HepG2, S0, S1, S2, S3, S4). Proteins analyzed include FXOA2 (49 kDa), SOX17 (44 kDa), SOX9 (63 kDa), PDX1 (40 kDa), HNF4A (52 kDa), NKX6.1 (50 kDa), and GAPDH (37 kDa) as a loading control. Each protein shows varying band intensities across the samples, indicating differential expression levels.

Figure 3. Western blot result of the differentiation process. The figure represents all the proteins detected during different differentiation stages of the iPSCs KDM4A-KD. Proteins are detected individually at each differentiation stage. A HepG2 cell line was used as the control for the experiment. The approximate molecular weight of the protein (kDa) is shown. SOX17–44 kDa; FOXA2–49 kDa; HNF4A 52 kDa; PDX1–40 kDa; SOX9–63 kDa; PTF1A 42 kDa; NKX6.1–50 kDa. S0, Stage 0; S1, Stage 1; S2, Stage 2; S3, Stage 3; S4, Stage 4.

Figure 4
Bar charts A through E show relative gene expression across different stages. Each chart compares a control to specific genes, marked by asterisks for significance. Expression varies by stage and gene type, with notable increases in genes like foxA2, sox17, hnf4A, pdx1, and others, across the stages.

Figure 4. Gene expression during differentiation. Line bars represent gene expression in WT iPSCs throughout the differentiation protocol, while dotted bars represent gene expression in KDM4A-KD iPSCs. Expression levels were normalized to the control (β-actin transcript). Each experiment was performed in triplicate. Bars marked with the same symbol (*) indicate a statistically significant difference compared to the control group (two-tailed, unpaired Student’s t-test, *p < 0.05). Bars marked with the same symbol (**) indicate a statistically significant difference between the two groups (WT and KDM4A-KD, two-tailed, unpaired Student’s t-test, **p < 0.05). (A) Stage 0 (DE); (B) Stage 1 Gene expression (PG); (C) Stage 2 Gene expression (PP); (D) Stage 3 Gene expression (EP); (E) Stage 4 Gene expression (PβLC). foxA2, Forkhead box A2; sox17, SRY-box transcription factor 17; hnf4A, Hepatocyte nuclear factor 4 alpha; pdx1, Pancreatic and duodenal homeobox 1; sox9, SRY-box transcription factor 9; nkx6.1, Nk6 homeobox 1 protein; ngn 3, Neurogenin-3; ins, Insulin; ptf1A, Pancreas associated transcription factor 1A; sst, Somatostatin; cgc, Glucagon.

The results shown in Figure 3 indicate that proteins involved in endodermal differentiation were expressed at each stage of the protocol. However, when comparing gene expression between wild-type iPSCs (iPSCs-WT) and KDM4A knockdown iPSCs (KDM4A-KD), both differentiated under the same conditions, we observed a significant reduction in gene expression related to the differentiation process in KDM4A-KD cells (Figure 4, dotted bars) compared to WT cells (Figure 4, line bars).

These findings suggest that knocking down KDM4A, a protein involved in histone demethylation, directly affects cell differentiation in vitro. The slower cell growth and reduced expression of pancreatic differentiation genes observed may indicate that proper epigenetic regulation, facilitated by KDM4A, is essential for successful differentiation (29, 30).

The differences in gene expression between WT iPSCs and KDM4A-KD iPSCs are shown in Figure 4. Notably, throughout the assay, gene expression shown by KDM4A-KD iPSCs (dotted bar) was lower than that shown by WT iPSCs (line bar). However, the expression of proteins associated with the differentiation process (Figure 3) did not show an absence in the expression of any of the characteristic proteins, which is why it was considered that inhibiting the expression of the KDM4A protein would not influence pancreatic differentiation. However, when both cell groups obtained after 14 days of the protocol were analyzed (Figure 4E), we noticed the main differences at the gene expression level.

Notably, the most relevant differences in gene expression were observed at the expression level of crucial genetic markers of functional pancreatic β cells, such as pdx1, ngn3, and ins, which could indicate that the cells have not entirely differentiated into pancreatic β cells (31). Likewise, when we examined the expression of essential genes at the pancreatic β cell maturation level, we found that differentiated KDM4A-KD iPSCs presented low levels of nkx6.1 expression compared to WT iPSCs.

The reduced expression of key pancreatic genes observed in PβLCs derived from KDM4A-KD iPSCs suggests that the knockdown of KDM4A disrupts the proper differentiation process. Although these cells express endodermal differentiation proteins (Figure 3) and pancreatic differentiation genes (Figure 4), their low gene expression may indicate inefficiencies in the protocol, cellular immaturity, or functional limitations, which could compromise their use in regenerative medicine (32). Notably, the low expression of the critical pancreatic β-cell lineage marker ngn3 during the final differentiation stage (Stage 4) underscores this issue (33, 34). These findings suggest that KDM4A knockdown may promote hypermethylation processes, impairing lineage specification, particularly for pancreatic β-cell differentiation, and ultimately restricting their functionality and development (35).

3.3 PβLC KDM4A-KD insulin secretion

To evaluate the functionality of KDM4A-KD pancreatic β-like cells (PβLC-KD), glucose-stimulated insulin secretion (GSIS) and immunofluorescence (IF) assays were performed to assess the impact of KDM4A knockdown on their functional capacity. Insulin secretion was measured using a glucose challenge at two concentrations: low (2 mM) for basal insulin levels and high (20 mM) for stimulated secretion, with an ELISA test quantifying insulin level (Figure 5). The results revealed that while PβLC-KD cells responded to glucose, their insulin secretion levels were significantly lower (1.94 and 3.49 µIU/mL) compared to PβLC-WT (5.59 and 8.12 µIU/mL) and INS 823/13 cells (12.67 and 22.56 µIU/mL). This reduced functionality may be attributed to the low expression of key pancreatic β-cell genes, including pdx1, ngn3, and nkx6.1 (Figure 4E). These are critical for proper cell function and were negatively impacted by the differentiation methodology used in this assay (36).

Figure 5
Bar graph showing insulin secretion in microunits per milliliter for various cell types under 2 millimolar and 20 millimolar glucose conditions. Insulin-secreting cells have the highest secretion at 20 millimolar glucose. Other cell types, PβLC-KD, PβLC, iPSCs WT, and HEK293T, show significantly lower secretion levels.

Figure 5. ELISA measurements of human insulin. Basal insulin was measured one-hour post-treatment with 2 mM glucose (close Barr). Stimulated insulin was measured one-hour post-treatment with 20 mM glucose (open Barr). All measurements were performed by triplicate. PβLC-KD, pancreatic β-like cells KDM4A-KD; PβLC, pancreatic β-like cells; Insulin-secreting cells (INS823/13); iPSC WT, Induced pluripotent cells without differentiation; HEK293T, Human embryonic kidney cells.

We performed an immunofluorescence assay comparing PβLC-KD, PβLC, and insulin-producing cells to evaluate insulin expression and functionality. The results, shown in Figure 6, were obtained after exposing the differentiated cells (PβLC and PβLC-KD) and insulin-producing cells to 20 mM glucose for 1 hour, followed by insulin detection using specific antibodies. As depicted, INS823/13 cells (Figure 6D) exhibited the highest insulin production, followed by PβLC (Figure 6A) and PβLC-KD (Figure 6B). HepG2 cells served as a negative control for the assay.

Figure 6
Section A shows immunofluorescence images of different cell lines labeled with DAPI (blue) and insulin (green). Panel A: PβLC; Panel B: PβLC-KD; Panel C: HepG2; Panel D: INS823/13. Section B is a bar graph comparing the percentage of immunofluorescence in insulin-secreting cells, PβLC, PβLC-KD, and HepG2, with significant differences indicated by asterisks. Scale bars indicate fifty micrometers in the images.

Figure 6. (A) Immunofluorescence staining showing insulin (green), DAPI (blue), and merge pictures. The results showed that PβLC and PβLC-KD express insulin in response to glucose. However, insulin production in response to glucose by PβLC-KD was lower than that of PβLC, which would be consistent with the results obtained by qRT-PCR. Scale bar = 50 µm. All images were obtained on an Eclipse Ni-E microscope (Nikon) and analyzed with ImageJ software (National Institutes of Health) at 80 ms of exposure. (B) Insulin expression percentage. The fluorescence expressed by insulin was normalized to that expressed by the nucleus. Bars under the same symbol (*) are statistically different under the two-tailed, unpaired Student’s t-test (p < 0.05*; p < 0.05** n = 3). A. PβLC: Pancreatic β-like cells; B. PβLC-KD: Pancreatic β-like cells KDM4A-KD. C. HepG2: Hepatoblastoma cell line (negative control). D. INS823/13: Rat insulinoma cell line (insulin-secreting cells).

The low insulin expression observed in PβLC-KD cells may be linked to changes in methylation patterns in the promoters of key pancreatic β-cell identity genes, such as pdx1, nkx6.1, and ngn3 (31, 37). Previous studies have suggested that hypermethylation of these promoter sequences can contribute to the development of type 2 diabetes mellitus (T2DM), highlighting the possibility that knockdown of proteins involved in histone demethylation could directly impair the production of functional insulin-producing cells, as evidenced in Figures 46 of this study (38, 39).

Moreover, the reduced expression of functional pancreatic β-cell genes (pdx1, nkx6.1, and ngn3; Figure 4E, dotted bar), the lower insulin secretion in response to glucose (Figure 5, PβLC-KD), and the diminished fluorescence in the immunofluorescence assay (Figure 6B) strongly suggest deficiencies in the pancreatic differentiation protocol. These results, when compared to PβLC-WT cells, provide clear indicators of the challenges associated with KDM4A knockdown during differentiation. (4042).

These findings collectively demonstrate that the knockdown of the KDM4A protein negatively impacts the generation of functional pancreatic β-like cells capable of producing insulin in response to glucose and hinders the maturation of the differentiated cells.

4 Discussion

The present study provides novel evidence that KDM4A knockdown significantly impairs the differentiation of iPSCs into pancreatic β-like cells. Silencing KDM4A reduced the expression of key transcription factors involved in β-cell identity and markedly diminished both insulin content and glucose-stimulated insulin secretion (GSIS). These findings support the role of KDM4A as a critical epigenetic modulator in β-cell fate specification, suggesting that histone demethylation is a required step for the acquisition of functional maturity during pancreatic endocrine differentiation.

Our data support the hypothesis that KDM4A regulates β-cell differentiation by removing H3K9me3, a repressive histone mark associated with chromatin condensation and transcriptional silencing. The reduction in β-cell marker expression and insulin output observed in KDM4A-KD cells suggests that this demethylase facilitates chromatin accessibility at endocrine regulatory loci. These results are consistent with the idea that unresolved repressive chromatin states may act as developmental roadblocks, limiting transcriptional engagement of β-cell gene networks (43).

The differentiation defects observed in KDM4A-deficient cells align with prior studies reporting incomplete β-cell maturation from pluripotent stem cells, often yielding polyhormonal or immature cells (18, 19, 44), Kaestner and colleagues have highlighted that the persistence of bivalent or repressive chromatin domains—notably H3K9me3 and H3K27me3—can prevent full endocrine specification (6, 45). Additionally, work in primate SCNT models has demonstrated that KDM4-mediated removal of H3K9me3 is essential for unlocking transcriptional plasticity and supporting embryonic development, thereby reinforcing the notion that H3K9me3 demethylation is a prerequisite for lineage conversion (22, 26).

Epigenetic control is increasingly recognized as a primary regulatory layer in determining pancreatic lineage. Beyond transcription factor binding, chromatin accessibility shaped by histone modifications defines which genes can be activated during endocrine differentiation (46, 47). The present findings suggest that KDM4A may function as a gatekeeper of β-cell identity, ensuring that lineage-specific genes escape heterochromatic repression at key developmental transitions. Moreover, consistent with its role in other biological systems, reduced KDM4A expression may stabilize repressive chromatin structures, thereby altering both transcriptional programs and cellular identity (48, 49).

Knockdown of KDM4A resulted in downregulation of core endocrine transcription factors—including PDX1, NKX6.1, INS, and NGN3—during late stages of differentiation. This impairment was not due to failure in general differentiation capacity, as insulin expression was detectable, but rather reflected a disrupted specification program incompatible with full β-cell identity. Our findings contrast with prior studies suggesting that general KDM inhibition enhances endodermal gene expression and instead underscore the lineage-specific requirement of KDM4A in β-cell commitment (50, 51).

While this study focused on β-cell identity and function, future work should address whether KDM4A knockdown diverts cells toward alternate pancreatic fates, such as exocrine or polyhormonal lineages. Planned CUT&Tag assays targeting H3K9me3 will provide genome-wide insight into how KDM4A modulates chromatin during β-cell specification. In addition, single-cell transcriptomic approaches and lineage-tracing experiments will be instrumental in elucidating fate trajectories. These strategies will help establish whether KDM4A activity not only enables β-cell differentiation but also prevents off-target lineage activation, with direct implications for improving stem cell-based therapies for diabetes.

Taken together, our findings establish KDM4A as a key chromatin-modifying enzyme required for endocrine lineage commitment. By clarifying its role in the epigenetic regulation of β-cell development, this study contributes to the refinement of differentiation protocols and supports the broader application of epigenetic editing strategies in regenerative medicine. Future experiments focusing on KDM4A overexpression are essential to determine whether it could enhance differentiation protocols and improve the yield of functional pancreatic β-cells with a higher maturation capacity. If knockdown experiments revealed specific repression effects during differentiation, it is plausible that KDM4A overexpression may help optimize laboratory methodologies for generating pancreatic β-cells, potentially advancing regenerative therapies for diabetes mellitus.

Data availability statement

The original contributions presented in the study are included in the article/Supplementary Material. Further inquiries can be directed to the corresponding author/s.

Ethics statement

Ethical approval was not required for the studies on humans in accordance with the local legislation and institutional requirements because only commercially available established cell lines were used. Ethical approval was not required for the studies on animals in accordance with the local legislation and institutional requirements because only commercially available established cell lines were used.

Author contributions

FA: Methodology, Writing – original draft, Investigation, Project administration, Formal analysis, Software. LM: Methodology, Investigation, Writing – original draft. FL: Conceptualization, Software, Resources, Supervision, Writing – review & editing, Funding acquisition, Data curation, Visualization, Validation, Methodology.

Funding

The author(s) declare financial support was received for the research and/or publication of this article. This research was funded by Dirección General de Investigación (DIN) from Universidad de La Sabana, grant numbers MED 255-2019 and MED 292-2020.

Acknowledgments

The authors especially thank Yazmin Lopez for the help in the acquisition of the financial funding.

Conflict of interest

The authors declare that the research was conducted in the absence of any commercial or financial relationships that could be construed as a potential conflict of interest.

Generative AI statement

The author(s) declare that no Generative AI was used in the creation of this manuscript.

Any alternative text (alt text) provided alongside figures in this article has been generated by Frontiers with the support of artificial intelligence and reasonable efforts have been made to ensure accuracy, including review by the authors wherever possible. If you identify any issues, please contact us.

Publisher’s note

All claims expressed in this article are solely those of the authors and do not necessarily represent those of their affiliated organizations, or those of the publisher, the editors and the reviewers. Any product that may be evaluated in this article, or claim that may be made by its manufacturer, is not guaranteed or endorsed by the publisher.

Supplementary material

The Supplementary Material for this article can be found online at: https://www.frontiersin.org/articles/10.3389/fendo.2025.1697097/full#supplementary-material

References

1. Takahashi K. Cellular reprogramming. Cold Spring Harb Perspect Biol. (2014) 6. doi: 10.1101/cshperspect.a018606

PubMed Abstract | Crossref Full Text | Google Scholar

2. Guerra-Calderas L, Gonzalez-Barrios R, Herrera LA, Cantu de Leon D, and Soto-Reyes E. The role of the histone demethylase KDM4A in cancer. Cancer Genet. (2015) 208:215–24. doi: 10.1016/j.cancergen.2014.11.001

PubMed Abstract | Crossref Full Text | Google Scholar

3. Quilichini E and Haumaitre C. Implication of epigenetics in pancreas development and disease. Best Pract Res Clin Endocrinol Metab. (2015) 29:883–98. doi: 10.1016/j.beem.2015.10.010

PubMed Abstract | Crossref Full Text | Google Scholar

4. Garcia J and Lizcano F. Kdm4c is recruited to mitotic chromosomes and is relevant for chromosomal stability, cell migration and invasion of triple negative breast cancer cells. Breast Cancer (Auckl). (2018) 12:1178223418773075. doi: 10.1177/1178223418773075

PubMed Abstract | Crossref Full Text | Google Scholar

5. Rosales W and Lizcano F. The histone demethylase JMJD2A modulates the induction of hypertrophy markers in iPSC-derived cardiomyocytes. Front Genet. (2018) 9:14. doi: 10.3389/fgene.2018.00014

PubMed Abstract | Crossref Full Text | Google Scholar

6. Avrahami D and Kaestner KH. Epigenetic regulation of pancreas development and function. Semin Cell Dev Biol. (2012) 23:693–700. doi: 10.1016/j.semcdb.2012.06.002

PubMed Abstract | Crossref Full Text | Google Scholar

7. Xie R, Everett LJ, Lim HW, Patel NA, Schug J, Kroon E, et al. Dynamic chromatin remodeling mediated by polycomb proteins orchestrates pancreatic differentiation of human embryonic stem cells. Cell Stem Cell. (2013) 12:224–37. doi: 10.1016/j.stem.2012.11.023

PubMed Abstract | Crossref Full Text | Google Scholar

8. Pedersen MT, Kooistra SM, Radzisheuskaya A, Laugesen A, Johansen JV, Hayward DG, et al. Continual removal of H3K9 promoter methylation by Jmjd2 demethylases is vital for ESC self-renewal and early development. EMBO J. (2016) 35:1550–64. doi: 10.15252/embj.201593317

PubMed Abstract | Crossref Full Text | Google Scholar

9. Chen Z, Zang J, Whetstine J, Hong X, Davrazou F, Kutateladze TG, et al. Structural insights into histone demethylation by JMJD2 family members. Cell. (2006) 125:691–702. doi: 10.1016/j.cell.2006.04.024

PubMed Abstract | Crossref Full Text | Google Scholar

10. Shi Y and Whetstine JR. Dynamic regulation of histone lysine methylation by demethylases. Mol Cell. (2007) 25:1–14. doi: 10.1016/j.molcel.2006.12.010

PubMed Abstract | Crossref Full Text | Google Scholar

11. Hou H and Yu H. Structural insights into histone lysine demethylation. Curr Opin Struct Biol. (2010) 20:739–48. doi: 10.1016/j.sbi.2010.09.006

PubMed Abstract | Crossref Full Text | Google Scholar

12. Black JC, Van Rechem C, and Whetstine JR. Histone lysine methylation dynamics: establishment, regulation, and biological impact. Mol Cell. (2012) 48:491–507. doi: 10.1016/j.molcel.2012.11.006

PubMed Abstract | Crossref Full Text | Google Scholar

13. Hancock RL, Masson N, Dunne K, Flashman E, and Kawamura A. The activity of jmjC histone lysine demethylase KDM4A is highly sensitive to oxygen concentrations. ACS Chem Biol. (2017) 12:1011–9. doi: 10.1021/acschembio.6b00958

PubMed Abstract | Crossref Full Text | Google Scholar

14. Lee DH, Kim GW, Jeon YH, Yoo J, Lee SW, and Kwon SH. Advances in histone demethylase KDM4 as cancer therapeutic targets. FASEB J. (2020) 34:3461–84. doi: 10.1096/fj.201902584R

PubMed Abstract | Crossref Full Text | Google Scholar

15. Young NL and Dere R. Mechanistic insights into KDM4A driven genomic instability. Biochem Soc Trans. (2021) 49:93–105. doi: 10.1042/BST20191219

PubMed Abstract | Crossref Full Text | Google Scholar

16. Wu Q, Young B, Wang Y, Davidoff AM, Rankovic Z, and Yang J. Recent advances with KDM4 inhibitors and potential applications. J Med Chem. (2022) 65:9564–79. doi: 10.1021/acs.jmedchem.2c00680

PubMed Abstract | Crossref Full Text | Google Scholar

17. Berry WL and Janknecht R. KDM4/JMJD2 histone demethylases: epigenetic regulators in cancer cells. Cancer Res. (2013) 73:2936–42. doi: 10.1158/0008-5472.CAN-12-4300

PubMed Abstract | Crossref Full Text | Google Scholar

18. D’Amour KA, Bang AG, Eliazer S, Kelly OG, Agulnick AD, Smart NG, et al. Production of pancreatic hormone-expressing endocrine cells from human embryonic stem cells. Nat Biotechnol. (2006) 24:1392–401. doi: 10.1038/nbt1259

PubMed Abstract | Crossref Full Text | Google Scholar

19. Hering BJ, Rickels MR, Bellin MD, Millman JR, Tomei AA, Garcia AJ, et al. Advances in cell replacement therapies for diabetes. Diabetes. (2025) 74:1068–77. doi: 10.2337/db25-0037

PubMed Abstract | Crossref Full Text | Google Scholar

20. Marinac M, Rickels MR, Gaglia JL, O’Connell PJ, Johnson PR, Piemonti L, et al. Future directions and clinical trial considerations for novel islet beta-cell replacement therapies for type 1 diabetes. Diabetes. (2025) 74:1452–63. doi: 10.2337/dbi24-0037

PubMed Abstract | Crossref Full Text | Google Scholar

21. Chen J, Liu H, Liu J, Qi J, Wei B, Yang J, et al. H3K9 methylation is a barrier during somatic cell reprogramming into iPSCs. Nat Genet. (2013) 45:34–42. doi: 10.1038/ng.2491

PubMed Abstract | Crossref Full Text | Google Scholar

22. Li K, Kong Y, Zhang M, Xie F, Liu P, and Xu S. Differentiation of pluripotent stem cells for regenerative medicine. Biochem Biophys Res Commun. (2016) 471:1–4. doi: 10.1016/j.bbrc.2016.01.182

PubMed Abstract | Crossref Full Text | Google Scholar

23. Nicetto D and Zaret KS. Role of H3K9me3 heterochromatin in cell identity establishment and maintenance. Curr Opin Genet Dev. (2019) 55:1–10. doi: 10.1016/j.gde.2019.04.013

PubMed Abstract | Crossref Full Text | Google Scholar

24. Ninova M, Fejes Toth K, and Aravin AA. The control of gene expression and cell identity by H3K9 trimethylation. Development. (2019) 146. doi: 10.1242/dev.181180

PubMed Abstract | Crossref Full Text | Google Scholar

25. Efrat S. Epigenetic Memory: Lessons From iPS Cells Derived From Human beta Cells. Front Endocrinol (Lausanne). (2020) 11:614234. doi: 10.3389/fendo.2020.614234

PubMed Abstract | Crossref Full Text | Google Scholar

26. Xie Z, Chang C, Huang G, and Zhou Z. The role of epigenetics in type 1 diabetes. Adv Exp Med Biol. (2020) 1253:223–57. doi: 10.1007/978-981-15-3449-2_9

PubMed Abstract | Crossref Full Text | Google Scholar

27. Arroyave F, Uscategui Y, and Lizcano F. From iPSCs to Pancreatic beta Cells: Unveiling Molecular Pathways and Enhancements with Vitamin C and Retinoic Acid in Diabetes Research. Int J Mol Sci. (2024) 25. doi: 10.3390/ijms25179654

PubMed Abstract | Crossref Full Text | Google Scholar

28. Kim K, Doi A, Wen B, Ng K, Zhao R, Cahan P, et al. Epigenetic memory in induced pluripotent stem cells. Nature. (2010) 467:285–90. doi: 10.1038/nature09342

PubMed Abstract | Crossref Full Text | Google Scholar

29. Labbe RM, Holowatyj A, and Yang ZQ. Histone lysine demethylase (KDM) subfamily 4: structures, functions and therapeutic potential. Am J Transl Res. (2013) 6:1–15.

PubMed Abstract | Google Scholar

30. Yang Y, Luan Y, Feng Q, Chen X, Qin B, Ren KD, et al. Epigenetics and beyond: targeting histone methylation to treat type 2 diabetes mellitus. Front Pharmacol. (2021) 12:807413. doi: 10.3389/fphar.2021.807413

PubMed Abstract | Crossref Full Text | Google Scholar

31. Sun X, Wang L, Obayomi SMB, and Wei Z. Epigenetic regulation of beta cell identity and dysfunction. Front Endocrinol (Lausanne). (2021) 12:725131. doi: 10.3389/fendo.2021.725131

PubMed Abstract | Crossref Full Text | Google Scholar

32. Silva IBB, Kimura CH, Colantoni VP, and Sogayar MC. Stem cells differentiation into insulin-producing cells (IPCs): recent advances and current challenges. Stem Cell Res Ther. (2022) 13:309. doi: 10.1186/s13287-022-02977-y

PubMed Abstract | Crossref Full Text | Google Scholar

33. Gu G, Dubauskaite J, and Melton DA. Direct evidence for the pancreatic lineage: NGN3+ cells are islet progenitors and are distinct from duct progenitors. Development. (2002) 129:2447–57. doi: 10.1242/dev.129.10.2447

PubMed Abstract | Crossref Full Text | Google Scholar

34. Manea T, Nelson JK, Garrone CM, Hansson K, Evans I, Behrens A, et al. USP7 controls NGN3 stability and pancreatic endocrine lineage development. Nat Commun. (2023) 14:2457. doi: 10.1038/s41467-023-38146-9

PubMed Abstract | Crossref Full Text | Google Scholar

35. Liu J, Banerjee A, Herring CA, Attalla J, Hu R, Xu Y, et al. Neurog3-independent methylation is the earliest detectable mark distinguishing pancreatic progenitor identity. Dev Cell. (2019) 48:49–63 e47. doi: 10.1016/j.devcel.2018.11.048

PubMed Abstract | Crossref Full Text | Google Scholar

36. Balboa D, Barsby T, Lithovius V, Saarimaki-Vire J, Omar-Hmeadi M, Dyachok O, et al. Functional, metabolic and transcriptional maturation of human pancreatic islets derived from stem cells. Nat Biotechnol. (2022) 40:1042–55. doi: 10.1038/s41587-022-01219-z

PubMed Abstract | Crossref Full Text | Google Scholar

37. Parveen N and Dhawan S. DNA methylation patterning and the regulation of beta cell homeostasis. Front Endocrinol (Lausanne). (2021) 12:651258. doi: 10.3389/fendo.2021.651258

PubMed Abstract | Crossref Full Text | Google Scholar

38. Fantuzzi F, Toivonen S, Schiavo AA, Chae H, Tariq M, Sawatani T, et al. In depth functional characterization of human induced pluripotent stem cell-derived beta cells in vitro and in vivo. Front Cell Dev Biol. (2022) 10:967765. doi: 10.3389/fcell.2022.967765

PubMed Abstract | Crossref Full Text | Google Scholar

39. Siwakoti P, Rennie C, Huang Y, Li JJ, Tuch BE, McClements L, et al. Challenges with cell-based therapies for type 1 diabetes mellitus. Stem Cell Rev Rep. (2023) 19:601–24. doi: 10.1007/s12015-022-10482-1

PubMed Abstract | Crossref Full Text | Google Scholar

40. Zhu Y, Liu Q, Zhou Z, and Ikeda Y. PDX1, Neurogenin-3, and MAFA: critical transcription regulators for beta cell development and regeneration. Stem Cell Res Ther. (2017) 8:240. doi: 10.1186/s13287-017-0694-z

PubMed Abstract | Crossref Full Text | Google Scholar

41. Memon B, Karam M, Al-Khawaga S, and Abdelalim EM. Enhanced differentiation of human pluripotent stem cells into pancreatic progenitors co-expressing PDX1 and NKX6.1. Stem Cell Res Ther. (2018) 9:15. doi: 10.1186/s13287-017-0759-z

PubMed Abstract | Crossref Full Text | Google Scholar

42. Aigha II and Abdelalim EM. NKX6.1 transcription factor: a crucial regulator of pancreatic beta cell development, identity, and proliferation. Stem Cell Res Ther. (2020) 11:459. doi: 10.1186/s13287-020-01977-0

PubMed Abstract | Crossref Full Text | Google Scholar

43. Cheng KCL, Frost JM, Sanchez-Luque FJ, Garcia-Canadas M, Taylor D, Yang WR, et al. Vitamin C activates young LINE-1 elements in mouse embryonic stem cells via H3K9me3 demethylation. Epigenet Chromatin. (2023) 16:39. doi: 10.1186/s13072-023-00514-6

PubMed Abstract | Crossref Full Text | Google Scholar

44. Kroon E, Martinson LA, Kadoya K, Bang AG, Kelly OG, Eliazer S, et al. Pancreatic endoderm derived from human embryonic stem cells generates glucose-responsive insulin-secreting cells in vivo. Nat Biotechnol. (2008) 26:443–52. doi: 10.1038/nbt1393

PubMed Abstract | Crossref Full Text | Google Scholar

45. Kaestner KH, Campbell-Thompson M, Dor Y, Gill RG, Glaser B, Kim SK, et al. What is a beta cell? - Chapter I in the Human Islet Research Network (HIRN) review series. Mol Metab. (2021) 53:101323. doi: 10.1016/j.molmet.2021.101323

PubMed Abstract | Crossref Full Text | Google Scholar

46. Bele S, Wokasch AS, and Gannon M. Epigenetic modulation of cell fate during pancreas development. Trends Dev Biol. (2023) 16:1–27.

PubMed Abstract | Google Scholar

47. Lu P, Xu J, Shen X, Sun J, Liu M, Niu N, et al. Spatiotemporal role of SETD2-H3K36me3 in murine pancreatic organogenesis. Cell Rep. (2024) 43:113703. doi: 10.1016/j.celrep.2024.113703

PubMed Abstract | Crossref Full Text | Google Scholar

48. Wu L, Wary KK, Revskoy S, Gao X, Tsang K, Komarova YA, et al. Histone demethylases KDM4A and KDM4C regulate differentiation of embryonic stem cells to endothelial cells. Stem Cell Rep. (2015) 5:10–21. doi: 10.1016/j.stemcr.2015.05.016

PubMed Abstract | Crossref Full Text | Google Scholar

49. Sankar A, Lerdrup M, Manaf A, Johansen JV, Gonzalez JM, Borup R, et al. KDM4A regulates the maternal-to-zygotic transition by protecting broad H3K4me3 domains from H3K9me3 invasion in oocytes. Nat Cell Biol. (2020) 22:380–8. doi: 10.1038/s41556-020-0494-z

PubMed Abstract | Crossref Full Text | Google Scholar

50. He F, Li N, Huang HB, Wang JB, Yang XF, Wang HD, et al. LSD1 inhibition yields functional insulin-producing cells from human embryonic stem cells. Stem Cell Res Ther. (2020) 11:163. doi: 10.1186/s13287-020-01674-y

PubMed Abstract | Crossref Full Text | Google Scholar

51. Yang XF, Zhou SY, Wang C, Huang W, Li N, He F, et al. Inhibition of LSD1 promotes the differentiation of human induced pluripotent stem cells into insulin-producing cells. Stem Cell Res Ther. (2020) 11:185. doi: 10.1186/s13287-020-01694-8

PubMed Abstract | Crossref Full Text | Google Scholar

Keywords: induced pluripotent stem cells, knock-down, KDM4A, pancreatic β-like cells, differentiation, insulin-secreting cells

Citation: Arroyave F, Méndez-Castillo L and Lizcano F (2025) Deciphering the epigenetic role of KDM4A in pancreatic β-like cell differentiation from iPSCs. Front. Endocrinol. 16:1697097. doi: 10.3389/fendo.2025.1697097

Received: 01 September 2025; Accepted: 20 October 2025;
Published: 31 October 2025.

Edited by:

Ioannis Serafimidis, Biomedical Research Foundation of the Academy of Athens (BRFAA), Greece

Reviewed by:

Mayur Doke, University of Miami, United States
Erez Dror, Hebrew University of Jerusalem, Israel

Copyright © 2025 Arroyave, Méndez-Castillo and Lizcano. This is an open-access article distributed under the terms of the Creative Commons Attribution License (CC BY). The use, distribution or reproduction in other forums is permitted, provided the original author(s) and the copyright owner(s) are credited and that the original publication in this journal is cited, in accordance with accepted academic practice. No use, distribution or reproduction is permitted which does not comply with these terms.

*Correspondence: Fernando Lizcano, ZmVybmFuZG8ubGl6Y2Fub0B1bmlzYWJhbmEuZWR1LmNv

Disclaimer: All claims expressed in this article are solely those of the authors and do not necessarily represent those of their affiliated organizations, or those of the publisher, the editors and the reviewers. Any product that may be evaluated in this article or claim that may be made by its manufacturer is not guaranteed or endorsed by the publisher.