ORIGINAL RESEARCH article
Front. Immunol.
Sec. Cancer Immunity and Immunotherapy
This article is part of the Research TopicCrosstalk in Tumor Microenvironments: Shaping Early Drug and Immunotherapy StrategiesView all 11 articles
Expression and prognostic value of FKBP51 in Hodgkin lymphoma
Provisionally accepted- 1University of Naples Federico II, Naples, Italy
- 2University of Insubria, Varese, Lombardia, Italy
Select one of your emails
You have multiple emails registered with Frontiers:
Notify me on publication
Please enter your email address:
If you already have an account, please login
You don't have a Frontiers account ? You can register here
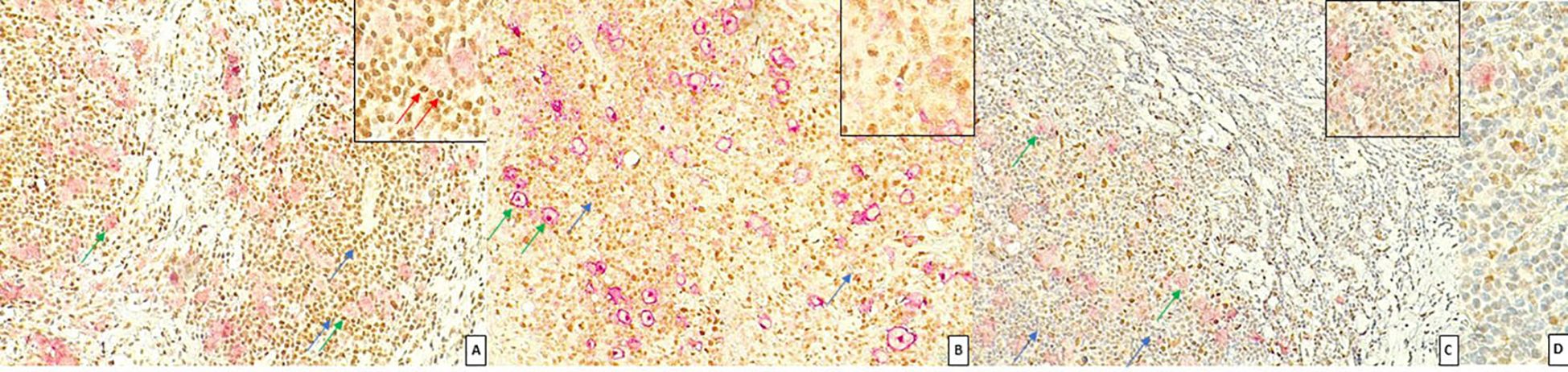
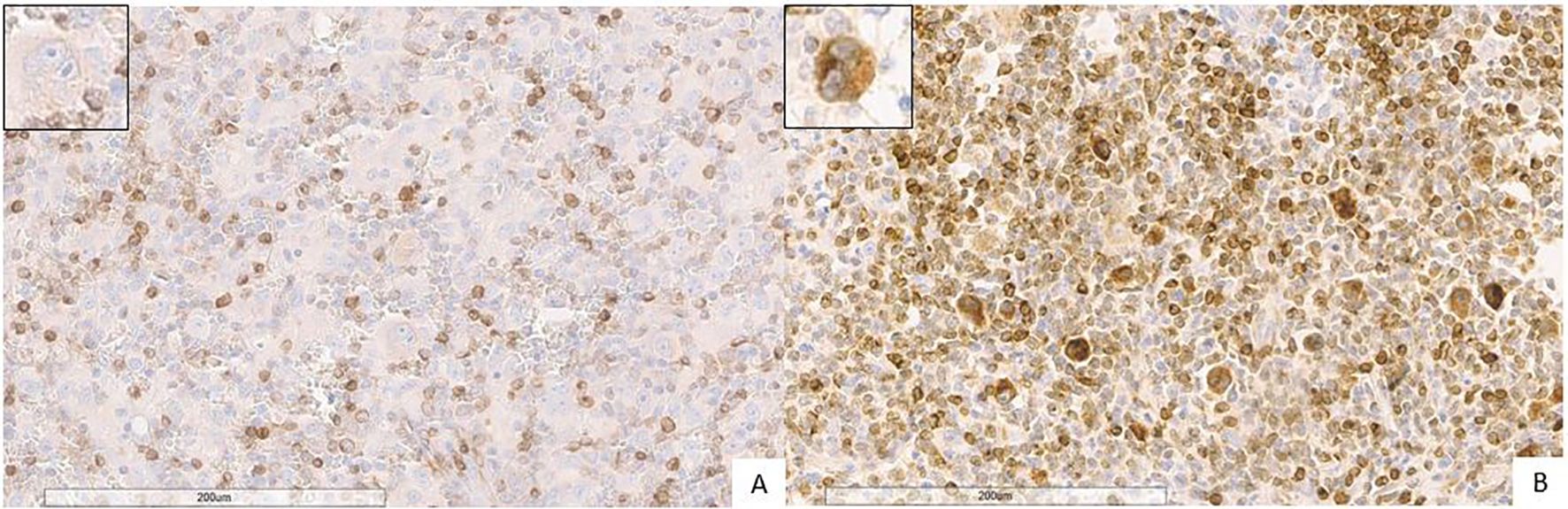
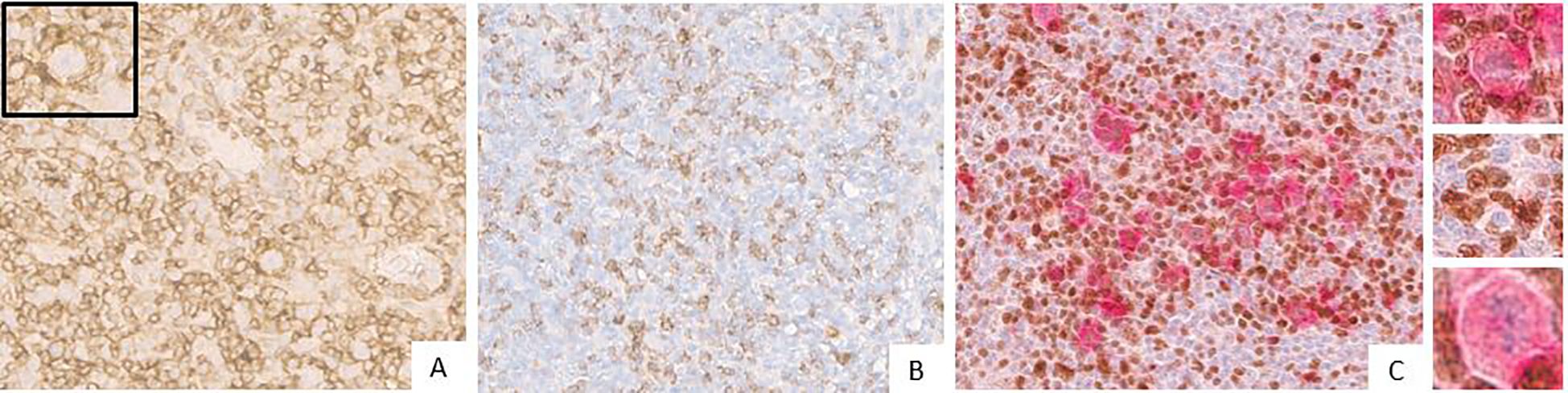
Background: Hodgkin lymphoma (HL) is characterized by rare Hodgkin/Reed-Sternberg (H/RS) cells surrounded by a predominant immune infiltrate that shapes tumor biology and influences prognosis. FKBP51, an immunophilin and NF-κB/Akt modulator, is implicated in cancer progression, but its role within the HL tumor microenvironment (TME) remains unclear. Methods: We retrospectively analyzed 103 HL cases by immunohistochemistry for FKBP51, Bcl2, and immune subsets (CD4, CD8, CD68, CD163), with quantitative PCR of FKBP5, TRAF2, PCNA, XIAP, and BCL2 in 36 cases. Spatial immune architecture was assessed morphologically and via image analysis, with a focus on CD4 T-cell rosettes. Prognostic associations were evaluated through multivariate analyses. Results: FKBP51 was detected in both H/RS cells and infiltrating lymphocytes. While nuclear FKBP51 in H/RS cells lacked prognostic significance, FKBP51 expression in the TME correlated with adverse outcomes and remained an independent prognostic factor. CD4 T cells were the predominant immune cell subset and the main FKBP51-positive population. However, it was the density of tumor-associated macrophages (TAMs), rather than CD4 T-cell density, that held prognostic significance. CD4 T cells frequently formed rosette-like structures around H/RS cells, a spatial organization associated with the highest FKBP51 scores and unfavorable prognosis. CD8 T cells were less abundant, increased in advanced stages along with TAMs, and exhibited limited FKBP51 expression. Gene expression analysis showed FKBP51 correlation with proliferative and anti-apoptotic transcripts (PCNA, TRAF2, XIAP), supporting a protumor, NF-κB-driven microenvironment. Conclusions: FKBP51 expression in CD4 tumor-infiltrating lymphocytes, rather than tumor cells, defines a protumor TME that supports H/RS cell survival. Spatial immune architecture, particularly CD4 rosettes and TAM density, holds prognostic relevance in HL. FKBP51 may serve as a biomarker for risk stratification.
Keywords: Hodgkin lymphoma, FKBP51, Bc2, Tumor Microenvironment, prognosis
Received: 02 Apr 2025; Accepted: 20 Oct 2025.
Copyright: © 2025 Varricchio, Romano, Russo, Travaglino, Cappiello, Cervasio, Ilardi, Marrone, Pane, Picardi, Persico, Vigliar, Acanfora, Romano and Mascolo. This is an open-access article distributed under the terms of the Creative Commons Attribution License (CC BY). The use, distribution or reproduction in other forums is permitted, provided the original author(s) or licensor are credited and that the original publication in this journal is cited, in accordance with accepted academic practice. No use, distribution or reproduction is permitted which does not comply with these terms.
* Correspondence: Maria Fiammetta Romano, mariafiammetta.romano@unina.it
Disclaimer: All claims expressed in this article are solely those of the authors and do not necessarily represent those of their affiliated organizations, or those of the publisher, the editors and the reviewers. Any product that may be evaluated in this article or claim that may be made by its manufacturer is not guaranteed or endorsed by the publisher.
