CASE REPORT article
Front. Immunol.
Sec. Autoimmune and Autoinflammatory Disorders : Autoimmune Disorders
Case Report: KLHL11 Encephalitis in a Female Patient with Dual Primary Malignancies of Breast and Lung Cancer: Response to FcRn Inhibitor Therapy
Provisionally accepted- 1Department of Neurology, First Affiliated Hospital of Zhengzhou University, Zhengzhou, Henan Province, China
- 2Henan Key Laboratory of Cerebrovascular Diseases, First Affiliated Hospital of Zhengzhou University, Zhengzhou, Henan Province, China
- 3Department of Oncology, First Affiliated Hospital of Zhengzhou University, Zhengzhou, Henan Province, China
Select one of your emails
You have multiple emails registered with Frontiers:
Notify me on publication
Please enter your email address:
If you already have an account, please login
You don't have a Frontiers account ? You can register here
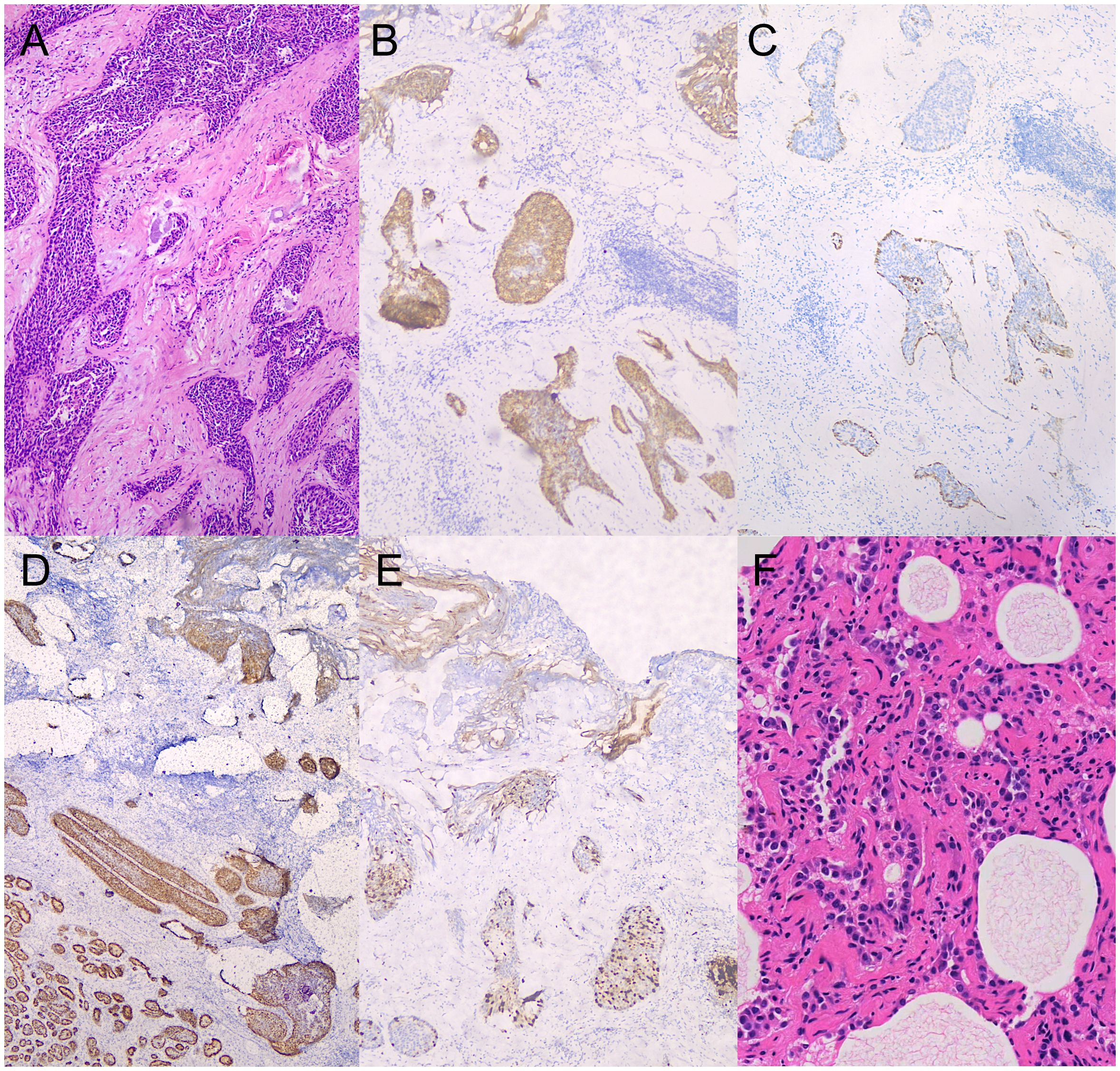
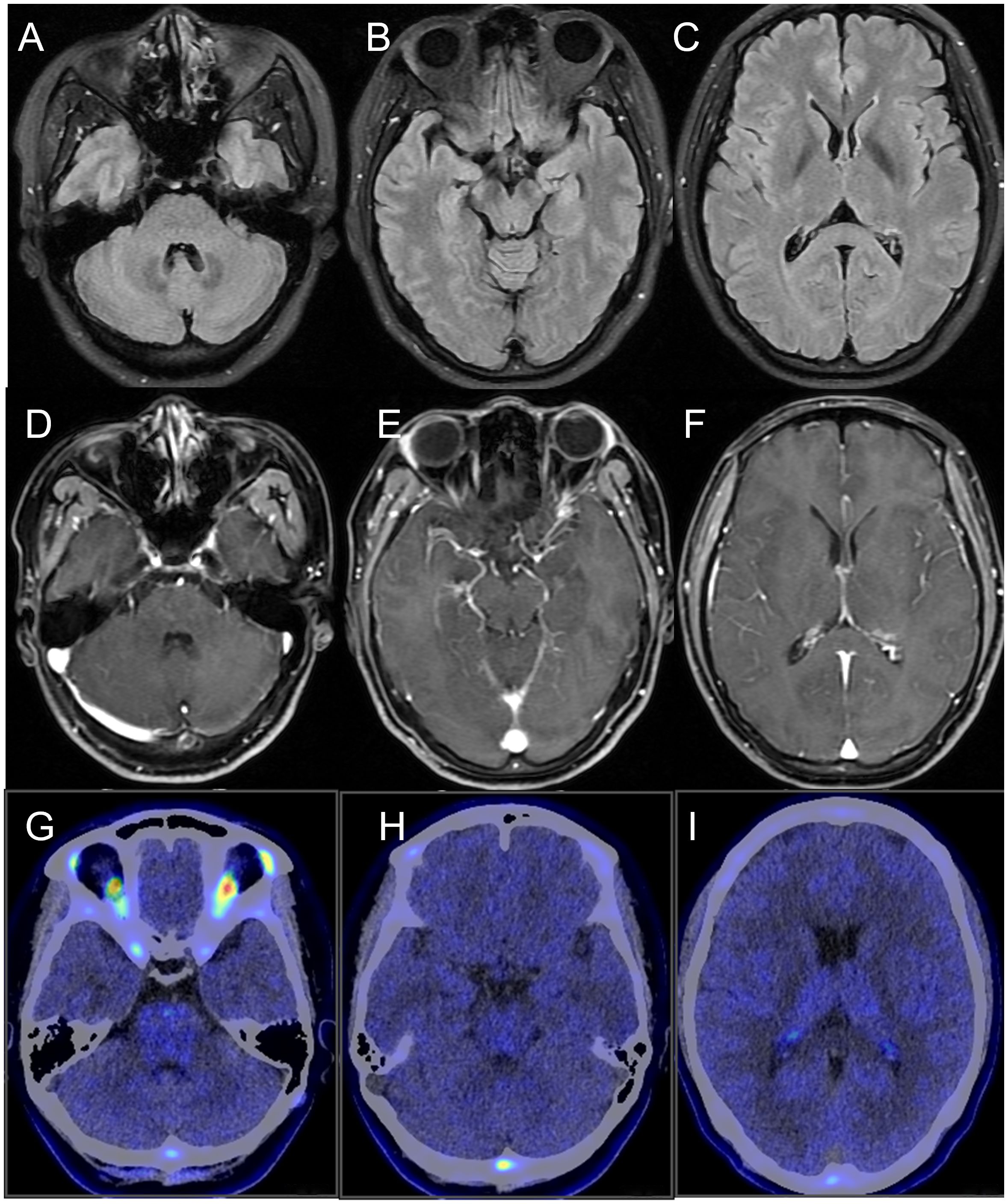
Kelch-like protein 11 (KLHL11) encephalitis is a rare clinical condition characterized by autoimmune-mediated encephalitis associated with the presence of KLHL11 antibodies, which commonly presents with ataxia, diplopia, vertigo, hearing loss, and seizures. While the link between this high-risk paraneoplastic autoantibody and male testicular germ cell tumors is well-established, female cases are rare, and no case of ductal breast carcinoma or dual primary malignancies have been reported. The disease is generally resistant to conventional therapies. In this study, we reported a case of KLHL11 encephalitis in a female patient presenting with fever, seizures, and ataxia, alongside dual primary malignancies: ductal breast carcinoma and pulmonary adenocarcinoma. Following immunotherapy with a neonatal Fc receptor (FcRn) inhibitor (efgartigimod) and resection of tumors, the patient achieved complete symptomatic remission with no recurrence. Current studies showed that KLHL11 encephalitis contributed to pathogenesis through cytotoxic T-cell-mediated neuronal injury and loss. However, in this case, rapid clinical improvement was observed after FcRn inhibitor therapy. This is the first report of FcRn inhibitor in the treatment of KLHL11 encephalitis. This case demonstrated a rare association of KLHL11 encephalitis with breast and lung cancer, and expanded on the clinical manifestations, associated tumor types, and treatment options of KLHL11 encephalitis in women.
Keywords: KLHL11 antibody, autoimmune encephalitis, Paraneoplastic neurological syndromes, neonatal Fc receptor inhibitor, efgartigimod
Received: 16 Apr 2025; Accepted: 23 Oct 2025.
Copyright: © 2025 Li, Xing, Cao, Cui and Zhao. This is an open-access article distributed under the terms of the Creative Commons Attribution License (CC BY). The use, distribution or reproduction in other forums is permitted, provided the original author(s) or licensor are credited and that the original publication in this journal is cited, in accordance with accepted academic practice. No use, distribution or reproduction is permitted which does not comply with these terms.
* Correspondence: Lu Zhao, fcczhaol2@zzu.edu.cn
Disclaimer: All claims expressed in this article are solely those of the authors and do not necessarily represent those of their affiliated organizations, or those of the publisher, the editors and the reviewers. Any product that may be evaluated in this article or claim that may be made by its manufacturer is not guaranteed or endorsed by the publisher.
