CASE REPORT article
Front. Immunol.
Sec. Cancer Immunity and Immunotherapy
Tislelizumab plus Lenvatinib for hepatocellular carcinoma with hypothyroidism. A Case Report and literature review
Provisionally accepted- 1Zhejiang Chinese Medical University, Hangzhou, China
- 2People's Hospital of Quzhou, Quzhou, China
Select one of your emails
You have multiple emails registered with Frontiers:
Notify me on publication
Please enter your email address:
If you already have an account, please login
You don't have a Frontiers account ? You can register here
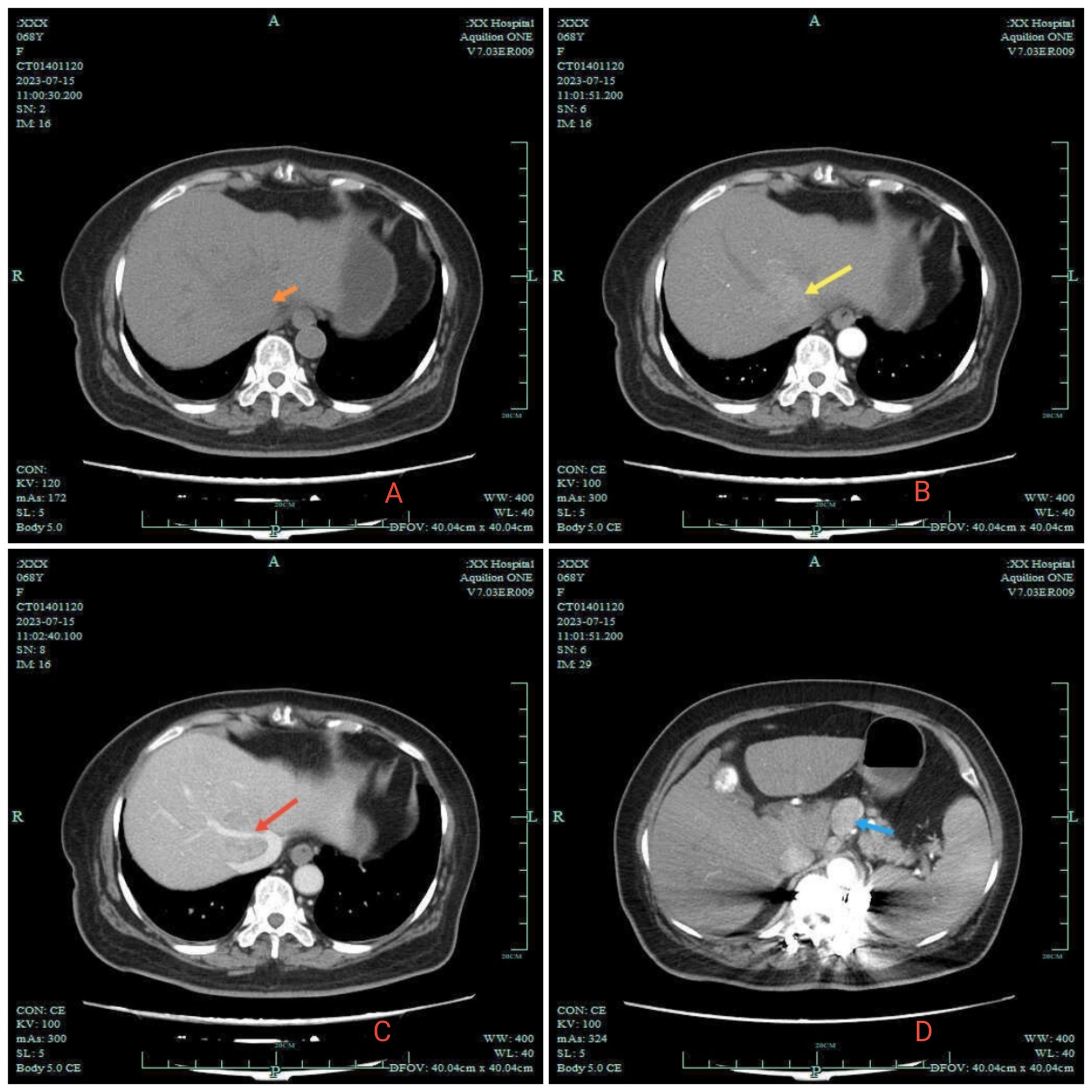
This report presents the case of a 70-year-old female patient with hepatocellular carcinoma (HCC) who was hospitalized for fever of unknown origin.We confirmed the diagnosis of HCC with lymphadenopathy through needle biopsy. The patient experienced hypertension and malaise after therapy with tislelizumab plus lenvatinib. Additionally, there was a persistent decrease in T3 and T4 levels accompanied by elevated TSH levels. During treatment, tumor regression and notable shrinkage of enlarged lymph nodes met the criteria for surgical intervention. However, since the patient's family declined surgery, the tumor subsequently progressed, resulting in clinical deterioration. This case highlights the uncommon occurrence of hypothyroidism after targeted immunotherapy in HCC patients and emphasizes the critical role of monitoring thyroid function in prognosis assessment. Conclusion: Hypothyroidism following combination therapy with tislelizumab and lenvatinib in HCC may indicate a favorable therapeutic response. Early surgical intervention is recommended once tumor shrinkage and symptom improvement occur.
Keywords: Hepatocellular Carcinoma, Lenvatinib, tislelizumab, Hypothyroidism, literature review
Received: 16 May 2025; Accepted: 23 Oct 2025.
Copyright: © 2025 Mao and Jiang. This is an open-access article distributed under the terms of the Creative Commons Attribution License (CC BY). The use, distribution or reproduction in other forums is permitted, provided the original author(s) or licensor are credited and that the original publication in this journal is cited, in accordance with accepted academic practice. No use, distribution or reproduction is permitted which does not comply with these terms.
* Correspondence: Renya Jiang, yaya20011222@126.com
Disclaimer: All claims expressed in this article are solely those of the authors and do not necessarily represent those of their affiliated organizations, or those of the publisher, the editors and the reviewers. Any product that may be evaluated in this article or claim that may be made by its manufacturer is not guaranteed or endorsed by the publisher.
