CASE REPORT article
Front. Immunol.
Sec. Cancer Immunity and Immunotherapy
This article is part of the Research TopicInnovative Ways of Targeting the RTK/RAS/RAF PathwayView all 4 articles
Response to Dabrafenib and Trametinib Combined with Pembrolizumab in an Elderly Patient with Lung Adenocarcinoma of Unknown Primary Harboring BRAF V600E Mutation and High PD-L1 Expression: A Case Report
Provisionally accepted- Chinese People's Liberation Army Naval Medical Center, Shanghai, China
Select one of your emails
You have multiple emails registered with Frontiers:
Notify me on publication
Please enter your email address:
If you already have an account, please login
You don't have a Frontiers account ? You can register here
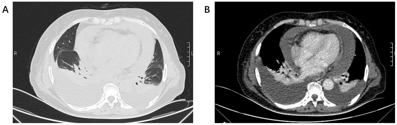
BRAF V600E mutation defines a rare but targetable subset of NSCLC. We report a 70-year-old non-smoking woman with unknown primary lung adenocarcinoma presenting with multistation mediastinal lymph-node metastases and massive malignant pleural and pericardial effusions. Molecular profiling showed BRAF V600E mutation and high PD-L1 expression(TPS 90%, CPS 95). The patient received combined dabrafenib, trametinib, and pembrolizumab with close safety monitoring, achieving rapid tumor control and complete remission by six months with manageable toxicity. This case suggests that early integration of PD-1 blockade with BRAF/MEK inhibition treatment may benefit selected patients and underscores the value of comprehensive molecular and immunohistochemical assessment to guide individualized therapy.
Keywords: BRAF V600E mutation, Non-small cell lung cancer, Immunotherapy, targeted therapy, dabrafenib, trametinib, case report
Received: 15 Jul 2025; Accepted: 30 Oct 2025.
Copyright: © 2025 Li, Hu, Bao and Cai. This is an open-access article distributed under the terms of the Creative Commons Attribution License (CC BY). The use, distribution or reproduction in other forums is permitted, provided the original author(s) or licensor are credited and that the original publication in this journal is cited, in accordance with accepted academic practice. No use, distribution or reproduction is permitted which does not comply with these terms.
* Correspondence:
Nan Li, linan@smmu.edu.cn
Zhigang Cai, zhigangcai120@163.com
Disclaimer: All claims expressed in this article are solely those of the authors and do not necessarily represent those of their affiliated organizations, or those of the publisher, the editors and the reviewers. Any product that may be evaluated in this article or claim that may be made by its manufacturer is not guaranteed or endorsed by the publisher.
