CASE REPORT article
Front. Immunol.
Sec. Autoimmune and Autoinflammatory Disorders : Autoimmune Disorders
This article is part of the Research TopicCase Reports in Autoimmune and Autoinflammatory Disorders: Volume IIView all 33 articles
Case report: A rare case of concurrence of IgG4-related tubulointerstitial nephritis and renal Amyloid A amyloidosis
Provisionally accepted- 1Laboratory of Electron Microscopy, Pathological Center, Peking University First Hospital, Beijing, China, Other, Beijing, China
- 2Peking University First Hospital, Beijing, China
Select one of your emails
You have multiple emails registered with Frontiers:
Notify me on publication
Please enter your email address:
If you already have an account, please login
You don't have a Frontiers account ? You can register here
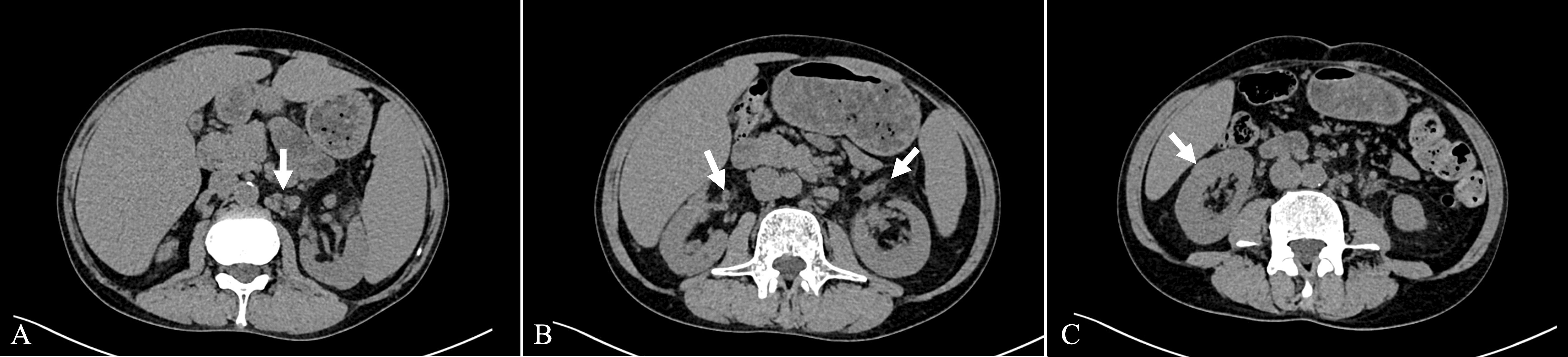
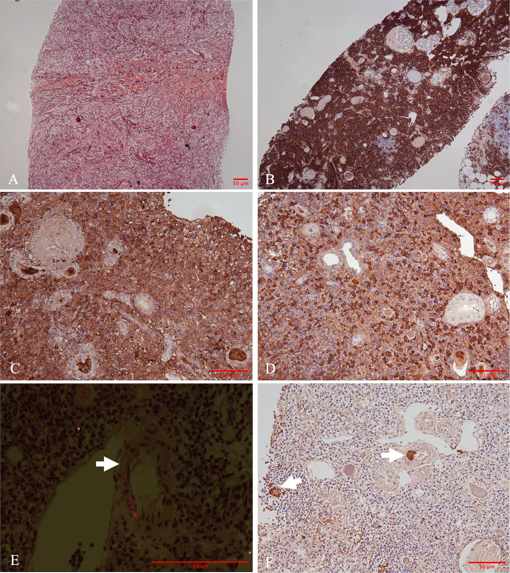
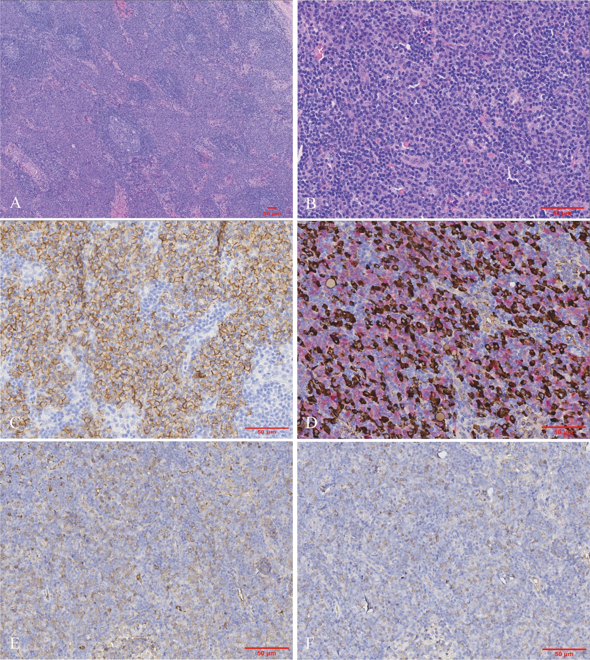
Immunoglobulin G4-related disease (IgG4-RD) is a systemic immune-mediated fibroinflammatory condition affecting multiple organs. IgG4-related tubulointerstitial nephritis (IgG4-TIN) is the predominant pattern of kidney involvement. Amyloid A (AA) amyloidosis is a systemic amyloidosis that develops secondary to chronic inflammation or infection, most frequently affecting the kidneys. The association between IgG4-RD and AA amyloidosis is rarely reported. Herein, we report a case of a 56-year-old Chinese man presenting with a one-year history of dizziness and fatigue. The clinical evaluation and laboratory findings showed multiple enlarged lymph nodes, elevated serum creatinine, and increased levels of IgG4 and C-reactive protein. A kidney biopsy revealed IgG4-TIN. Furthermore, patchy congophilic amyloid deposits in the interstitium and arteriolar walls were positive for AA protein by immunohistochemical staining. Subsequent cervical lymph node biopsy showed IgG4-related lymphadenopathy. With prednisone and cyclophosphamide treatment, the patient achieved complete remission of renal function and a noticeable decrease in IgG4 and C-reactive protein levels. This is the first reported case to our knowledge of IgG4-related lymphadenopathy, IgG4-TIN, concurrent with renal AA amyloidosis. Clinicians should be aware that AA amyloidosis may occur in patients with IgG4-TIN, warranting further investigation into the underlying mechanisms linking AA amyloidosis to IgG4-RD.
Keywords: IgG4-related disease, IgG4-related lymphadenopathy, IgG4-related tubulointerstitial nephritis, Amyloid A amyloidosis, case report
Received: 24 Jul 2025; Accepted: 24 Oct 2025.
Copyright: © 2025 Zhu, Zhu, Wang, Wang, Xu and Wang. This is an open-access article distributed under the terms of the Creative Commons Attribution License (CC BY). The use, distribution or reproduction in other forums is permitted, provided the original author(s) or licensor are credited and that the original publication in this journal is cited, in accordance with accepted academic practice. No use, distribution or reproduction is permitted which does not comply with these terms.
* Correspondence: Su-xia Wang, suxiawang@bjmu.edu.cn
Disclaimer: All claims expressed in this article are solely those of the authors and do not necessarily represent those of their affiliated organizations, or those of the publisher, the editors and the reviewers. Any product that may be evaluated in this article or claim that may be made by its manufacturer is not guaranteed or endorsed by the publisher.
