CASE REPORT article
Front. Immunol.
Sec. Cancer Immunity and Immunotherapy
Case report: unexpected non-pathogenic autoantibodies without clinical involvement following PD-L1 blockade
Provisionally accepted- First Hospital, Peking University, Beijing, China
Select one of your emails
You have multiple emails registered with Frontiers:
Notify me on publication
Please enter your email address:
If you already have an account, please login
You don't have a Frontiers account ? You can register here
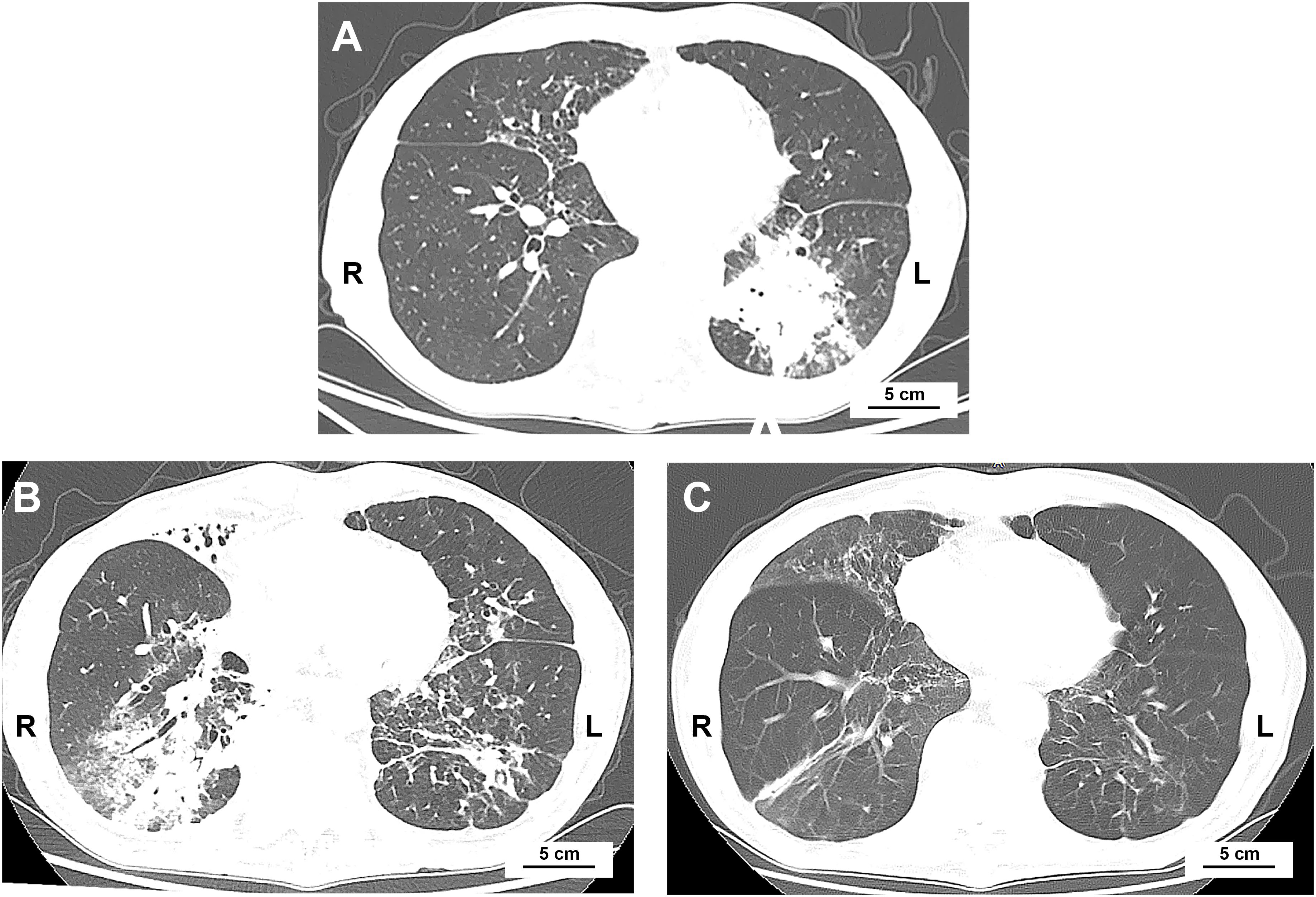
Several immune checkpoint inhibitors (ICIs) have improved outcomes in extensive-stage small cell lung cancer (ES-SCLC), but immune-related adverse events (irAEs) remain a concern. Beyond irAEs, ICIs may induce various immune changes requiring further investigation. A 74-year-old man with ES-SCLC received atezolizumab plus chemotherapy and developed aspiration pneumonia due to dysphagia. Concurrently, elevated anti-glomerular basement membrane, antinuclear, double-stranded DNA, myeloperoxidase-antineutrophil cytoplasmic, proteinase 3 antibodies were detected without any clinical involvement. Moderate glucocorticoids were administered, and during a 3-month follow-up, he remained entirely asymptomatic, with persistently high antibody titers. The case report presents specific autoantibodies following PD-L1 blockage and questions their pathogenic potential.
Keywords: Immune checkpoint inhibitor, cancer immunotherapy, Autoantibody, glomerular basement membraneantibody, Small Cell Lung Cancer
Received: 03 Aug 2025; Accepted: 31 Oct 2025.
Copyright: © 2025 Zhang, Jin and Wang. This is an open-access article distributed under the terms of the Creative Commons Attribution License (CC BY). The use, distribution or reproduction in other forums is permitted, provided the original author(s) or licensor are credited and that the original publication in this journal is cited, in accordance with accepted academic practice. No use, distribution or reproduction is permitted which does not comply with these terms.
* Correspondence: Shixuan Wang, wangshixuan1989@163.com
Disclaimer: All claims expressed in this article are solely those of the authors and do not necessarily represent those of their affiliated organizations, or those of the publisher, the editors and the reviewers. Any product that may be evaluated in this article or claim that may be made by its manufacturer is not guaranteed or endorsed by the publisher.
