CASE REPORT article
Front. Immunol.
Sec. Autoimmune and Autoinflammatory Disorders : Autoimmune Disorders
This article is part of the Research TopicCase Reports in Autoimmune and Autoinflammatory Disorders: Volume IIView all 36 articles
A case report of eosinophilic granulomatosis with polyangiitis in children with cerebella infarction as the first symptom and literature review
Provisionally accepted- Anhui Provincial Children’s Hospital, Hefei, China
Select one of your emails
You have multiple emails registered with Frontiers:
Notify me on publication
Please enter your email address:
If you already have an account, please login
You don't have a Frontiers account ? You can register here
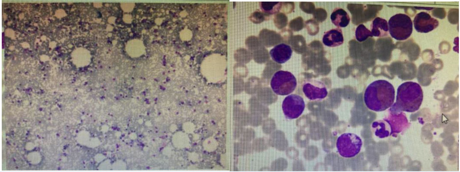
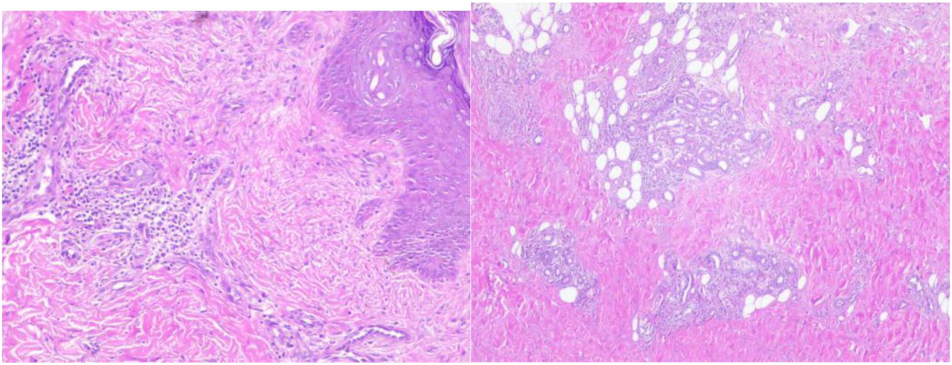
Objective This case report presents a pediatric case of eosinophilic granulomatosis with polyangiitis (EGPA) presenting with cerebella infarction as the initial symptom. The study aims to summarize the clinical features and treatment advancements of this condition, enhancing clinicians 'understanding and reducing misdiagnosis and missed diagnosis. Methods A 9-year-old male patient admitted to the Rheumatology Department of Anhui Provincial Children's Hospital was evaluated for "Dizziness, vomiting for one day, and consciousness impairment for half a day." The patient had recurrent bilateral lower limb rashes and asthma attacks over the past year. Blood tests revealed elevated eosinophil levels and IgE antibodies, while bone marrow cytology showed increased eosinophil counts. Brain MRI demonstrated cerebral infarction, herniation, and suspected thrombosis, with skin biopsy confirming vasculitis characteristics. Through retrospective analysis of clinical data and literature review, this study comprehensively summarizes EGPA's clinical features and treatment progress. Results The patient presented with cerebella infarction as the initial symptom, accompanied by central nervous system involvement, skin manifestations, hematological disorders, and vasculitis. With a history of asthma attacks, eosinophil counts during hospitalization peaked at 4.9×10^9/L (compared to baseline levels>1×10^9/L). After thorough evaluation for infections, malignancies, diffuse connective tissue diseases, immunodeficiency disorders, and inherited metabolic disorders, EGPA was confirmed. Treatment included anti-inflammatory steroids, cyclophosphamide (CTX) induction therapy, anticoagulation, followed by mycophenolate mofetil (MMF) maintenance at therapeutic doses, supplemented with rituximab. Current follow-up shows normalized eosinophil counts, restored muscle strength, resolution of skin rashes without recurrence, and favorable clinical response. Conclusion EGPA presents diverse clinical features. Cerebella infarction as the first neurological manifestation in children is rare. Eosinophilia serves as a characteristic feature. When pediatric asthma patients exhibit neurological symptoms, EGPA should be considered. For cases with central nervous system involvement, combined steroid therapy with cyclophosphamide pulse induction proves effective.
Keywords: Eosinophilic granulomatous polyangiitis, Cerebella Infarction, Eosinophils, Children, Centralnervous system
Received: 08 Aug 2025; Accepted: 04 Nov 2025.
Copyright: © 2025 Chen, He, Shen, Gao, Chen, Hang, Wang, Li and Xu. This is an open-access article distributed under the terms of the Creative Commons Attribution License (CC BY). The use, distribution or reproduction in other forums is permitted, provided the original author(s) or licensor are credited and that the original publication in this journal is cited, in accordance with accepted academic practice. No use, distribution or reproduction is permitted which does not comply with these terms.
* Correspondence: Daliang Xu, xdlmy0605@163.com
Disclaimer: All claims expressed in this article are solely those of the authors and do not necessarily represent those of their affiliated organizations, or those of the publisher, the editors and the reviewers. Any product that may be evaluated in this article or claim that may be made by its manufacturer is not guaranteed or endorsed by the publisher.
