CASE REPORT article
Front. Immunol.
Sec. Autoimmune and Autoinflammatory Disorders : Autoimmune Disorders
This article is part of the Research TopicCase Reports in Autoimmune and Autoinflammatory Disorders: Volume IIView all 35 articles
Severe kidney involvement in a case of very early onset inflammatory bowel disease
Provisionally accepted- 1Department of Neuroscience, Rehabilitation, Ophthalmology, Genetics, Maternal and Child Health (DINOGMI), Università degli Studi di Genova, Genova, Italy
- 2UOC Reumatologia e Malattie Autoinfiammatorie, IRCCS Istituto Giannina Gaslini, Genova, Italy
- 3Pathology Unit, IRCCS Istituto Giannina Gaslini, Genova, Italy
- 4Division of Nephrology, Dialysis and Transplantation, IRCCS Istituto Giannina Gaslini, Genova, Italy
- 5Pediatric Gastroenterology and Endoscopy Unit, IRCSS Istituto Giannina Gaslini, Genova, Italy
Select one of your emails
You have multiple emails registered with Frontiers:
Notify me on publication
Please enter your email address:
If you already have an account, please login
You don't have a Frontiers account ? You can register here
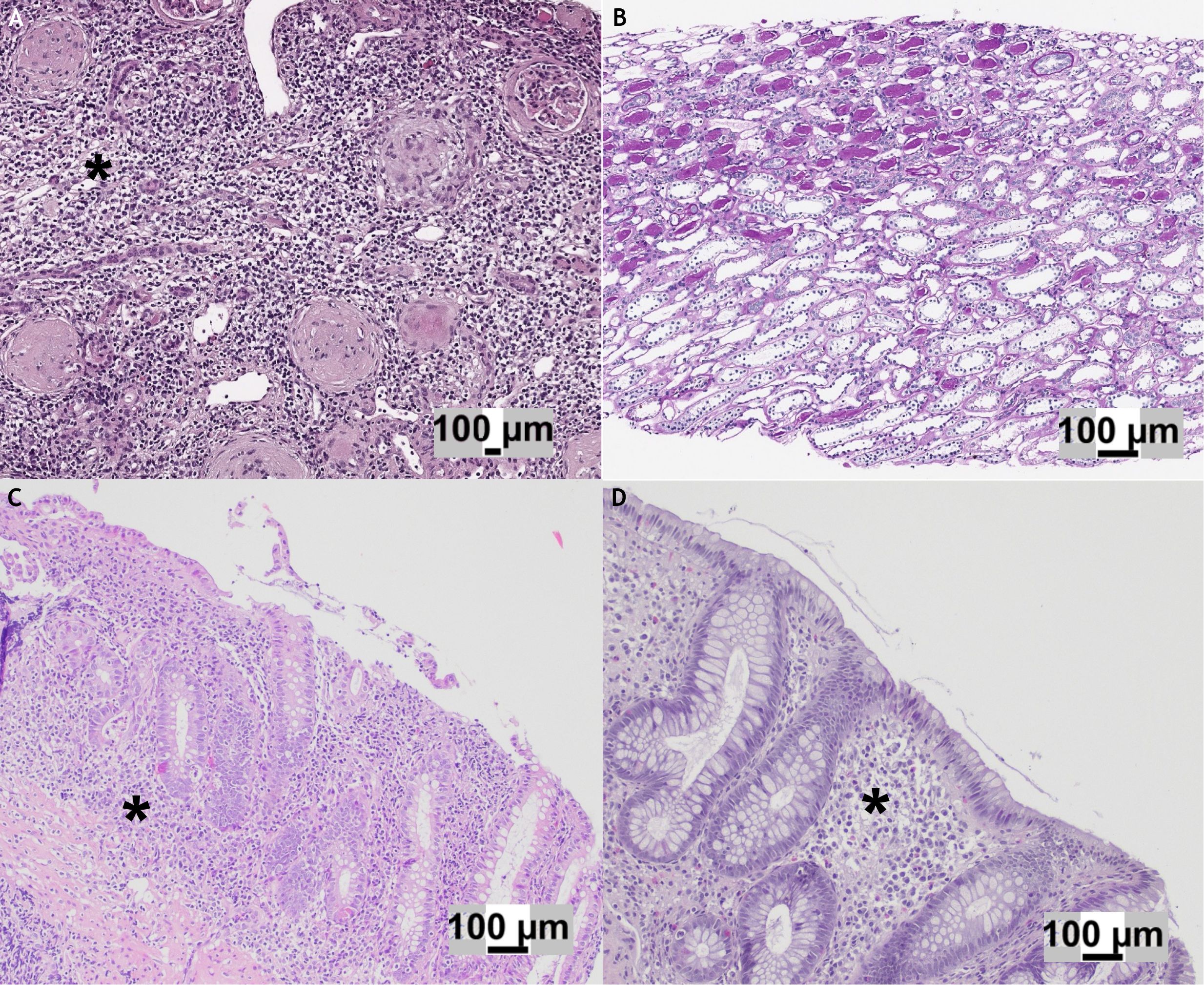
Background: Patients affected by very early onset inflammatory bowel disease (VEO-IBD) are frequently refractory to standard treatments. Despite the lack of randomized clinical trials, vedolizumab emerged as an effective and safe alternative treatment in VEO-IBD resistant to TNF-antagonist. We here present a case of VEO-IBD with ulcerative colitis (UC) phenotype developing renal injury after vedolizumab administration. Case presentation: An 11-year-old female patient with VEO-UC was referred to our clinic for fever, nausea, and fatigue. She has been treated with vedolizumab for one year due to steroid-dependent disease and failure of multiple therapies, including anti-TNF agents. At admission, she was in steroid-free clinical and endoscopic remission, with leukocytosis, increased inflammatory markers and a raise in serum creatinine. Urine samples revealed persistent leukocyturia over the past 8-10 months with the absence of lower urinary tract symptoms and negative serial urine culture. MRI showed swollen-looking kidneys with bilateral irregular DWI signal restriction. Kidney biopsy revealed the presence of acute tubular damage with a mixed interstitial inflammatory infiltrate consistent with drug-induced acute tubulointerstitial nephritis (TIN). After prompt start of systemic glucocorticoid therapy and temporary discontinuation of vedolizumab, normalization of renal function and urinalysis was observed. Vedolizumab was restarted after 2 months, pre-medicated with steroid. The follow-up renal biopsy performed after 6 months showed a regression of the histological pattern, with chronic signs characterized by mild tubular atrophy and interstitial fibrosis. Conclusion: Vedolizumab-related acute TIN is a potentially severe complication, rarely described in adult patients. We report the first case of VEO-IBD with a probable vedolizumab-related acute TIN, treated with corticosteroids, with a good response and maintenance of vedolizumab. Persisting sterile leukocyturia could represent an early sign.
Keywords: VEO-IBD, Vedolizumab, ulcerative colitis, tubulointerstitial nephritis (TIN), drug-induced acute interstitial nephritis
Received: 12 Aug 2025; Accepted: 31 Oct 2025.
Copyright: © 2025 Drago, Carfora, Cafferata, Gaggero, Puzone, La Porta, Signa, Gandullia, Vellone, Angeletti and Arrigo. This is an open-access article distributed under the terms of the Creative Commons Attribution License (CC BY). The use, distribution or reproduction in other forums is permitted, provided the original author(s) or licensor are credited and that the original publication in this journal is cited, in accordance with accepted academic practice. No use, distribution or reproduction is permitted which does not comply with these terms.
* Correspondence: Enrico Drago, enripu.drago@gmail.com
Disclaimer: All claims expressed in this article are solely those of the authors and do not necessarily represent those of their affiliated organizations, or those of the publisher, the editors and the reviewers. Any product that may be evaluated in this article or claim that may be made by its manufacturer is not guaranteed or endorsed by the publisher.
