SYSTEMATIC REVIEW article
Front. Immunol.
Sec. Autoimmune and Autoinflammatory Disorders : Autoimmune Disorders
Granulomatous Mastitis, Erythema Nodosum and Arthritis (GMENA) Syndrome: A Narrative Review
Provisionally accepted- Peking University International Hospital, Beijing, China
Select one of your emails
You have multiple emails registered with Frontiers:
Notify me on publication
Please enter your email address:
If you already have an account, please login
You don't have a Frontiers account ? You can register here
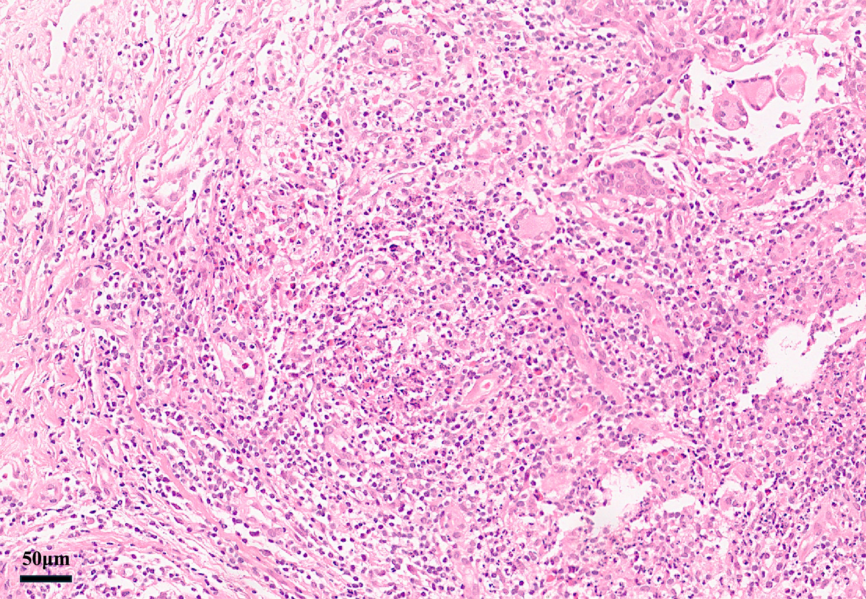
Idiopathic granulomatous mastitis (IGM) is a rare chronic inflammatory breast disease of unknown etiology, often presenting with breast pain, swelling, and mass formation. Erythema nodosum (EN) is an inflammatory panniculitis that can occur as a systemic manifestation of various conditions, and arthritis has occasionally been observed alongside GM, suggesting an underlying autoimmune component. In this narrative review, Using PubMed and EMBASE, we synthesize reported cases of GM with EN (with or without arthritis) – termed "GMENA" syndrome – to characterize this entity's clinical features and management. We identified a total of 45 reported patients in the literature. All patients were women of reproductive age (median ~32 years); one-third presented during pregnancy or postpartum. Breast involvement was exclusively unilateral, manifesting as painful inflammatory masses often mimicking carcinoma. EN was universal (100%), usually affecting both shins and ankles, while two-thirds developed acute, non-erosive oligoarthritis, most often in the ankles. Laboratory workups consistently showed elevated inflammatory markers but negative autoantibodies and sterile cultures. Histology revealed lobulocentric noncaseating granulomas with neutrophilic microabscesses. Corticosteroids induced remission in >75% of cases, while methotrexate or azathioprine provided steroid-sparing benefit in refractory disease. Antibiotics and anti-tuberculous regimens were ineffective; surgery was required only for biopsy, drainage, or limited excision in most reports. Relapses (13%) typically followed rapid steroid tapering or subsequent pregnancy, but all were successfully re-treated. No patient developed systemic sarcoidosis, malignancy, or died from the disease. Given the consistent clinical characteristics (GM with EN ± arthritis) and their favorable response to immunosuppressive treatment, this triad may represent an immune-mediated association; however, alternative explanations—such as overlap with sarcoidosis or even coincidental co-occurrence—remain possible.
Keywords: Idiopathic granulomatous mastitis (IGM), Erythema Nodosum (EN), Arthritis, GMENA syndrome, Autoimmune mastitis, immunosuppressive therapy, Breast disease, Narrative review
Received: 20 Aug 2025; Accepted: 17 Nov 2025.
Copyright: © 2025 Li, Zhang, Li, Zhang, Zou, Long, Yu and Zhang. This is an open-access article distributed under the terms of the Creative Commons Attribution License (CC BY). The use, distribution or reproduction in other forums is permitted, provided the original author(s) or licensor are credited and that the original publication in this journal is cited, in accordance with accepted academic practice. No use, distribution or reproduction is permitted which does not comply with these terms.
* Correspondence: Sheng-Guang Li, lishengguang@vip.sina.com
Disclaimer: All claims expressed in this article are solely those of the authors and do not necessarily represent those of their affiliated organizations, or those of the publisher, the editors and the reviewers. Any product that may be evaluated in this article or claim that may be made by its manufacturer is not guaranteed or endorsed by the publisher.
