ORIGINAL RESEARCH article
Front. Immunol.
Sec. Nutritional Immunology
Harnessing natural feed additives for sustainable production and economics: The role of Thymus vulgaris, L. oil as an antimicrobial agent and growth promoter in improving production and health of broiler chickens
Provisionally accepted- 1Zagazig University, Zagazig, Egypt
- 2King Saud University, Riyadh, Saudi Arabia
- 3Universita degli Studi di Camerino, Camerino, Italy
- 4United Arab Emirates University Department of Government and Society, Al Ain, United Arab Emirates
- 5Benha University, Banha, Egypt
Select one of your emails
You have multiple emails registered with Frontiers:
Notify me on publication
Please enter your email address:
If you already have an account, please login
You don't have a Frontiers account ? You can register here
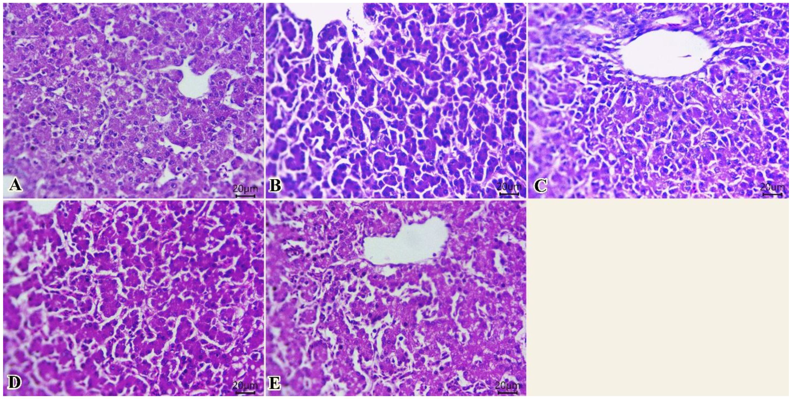
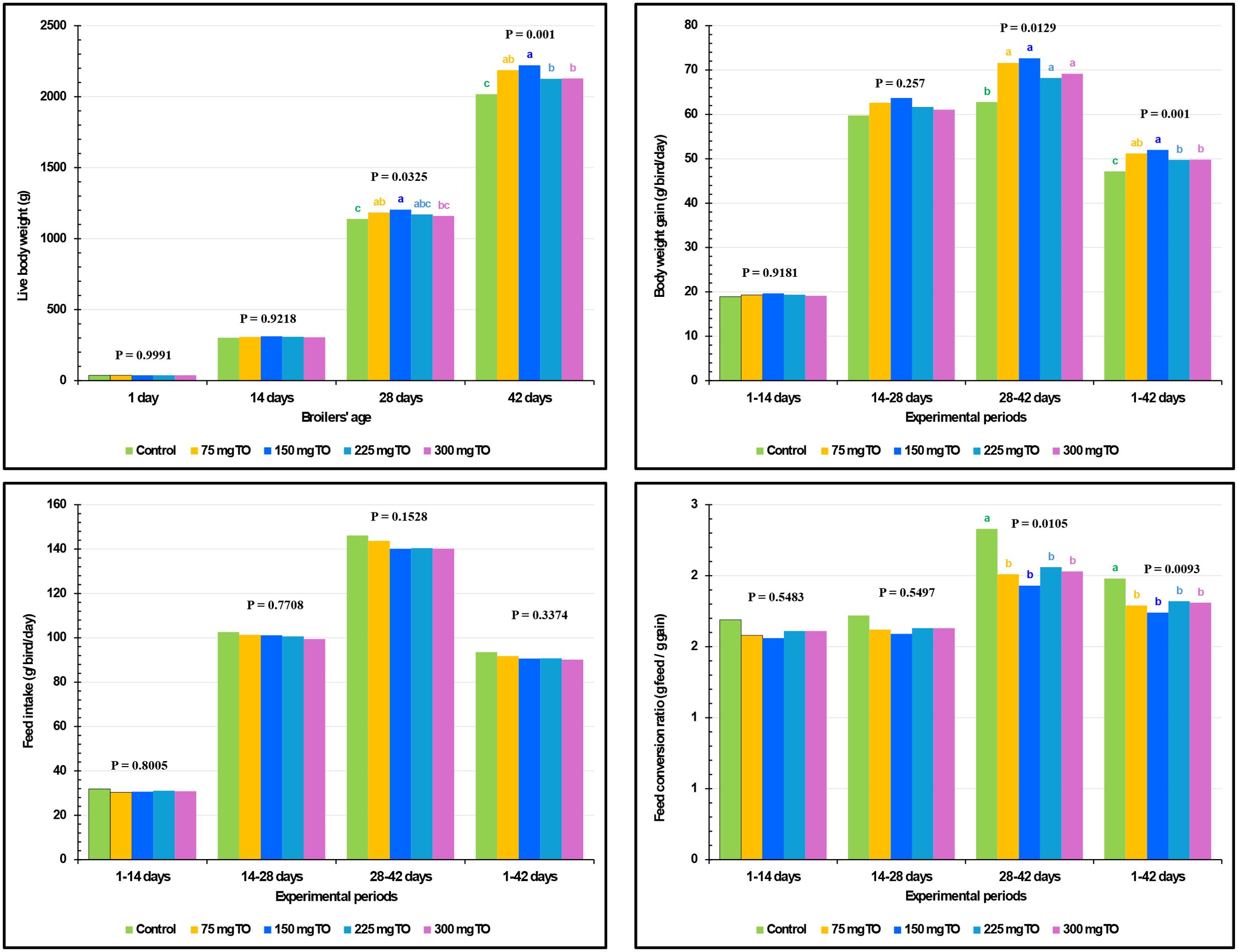
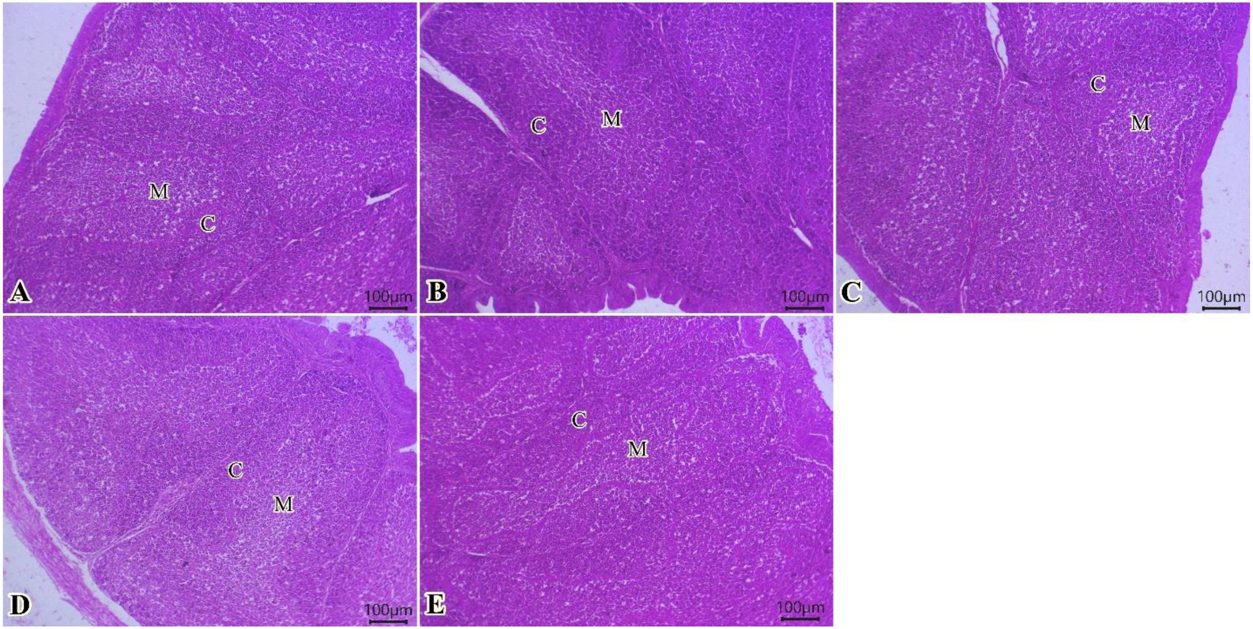
Introduction: This study examined the effects of adding thyme oil (TO) in broiler diets on growth performance, intestinal health, immune organ indices, and blood biochemical parameters as well as economic feasibility. Methods: In a completely randomized block design, five groups of one-day-old broiler chicks (n=300) with five replicates, each consisting of 12 chicks: a basal diet (BD) was supplied to the control group, while a BD plus 75, 150, 225, and 300 mg/kg of TO was given to the other groups. Results and discussion: TO improved final BW and total BWG and FCR (P<0.05), without affecting FI. The groups fed 150, 225, and 300 mg/kg of TO showed higher levels of digestive enzymes than controls (P<0.05). Moreover, total protein, globulin, immunoglobulin (IgG and IgM), lysozyme, complement 3 were significantly higher by TO at 150, 225, and 300 mg/kg than 0 and 75 mg/kg diet; while, IgA did not exhibit any statistically significant changes due to the addition of TO. Lipid peroxidation was significantly decreased by TO supplementation (150, 225, and 300 mg/kg), while superoxide dismutase (SOD), total antioxidant capacity (TAC), catalase (CAT), reduced glutathione (GSH), glutathione reductase (GST) were significantly increased by 225 and 300 mg TO /kg compared to the controls. Lower levels of total cholesterol (TC), triglyceride (TG), low-density lipoprotein (LDL), and very low-density lipoprotein (VLDL) were induced by 150, 225, and 300 mg TO/kg than 0 and 75 mg/kg (P<0.05), while higher high-density lipoprotein (HDL) levels were observed by 225 and 300 mg TO/kg than the control (P<0.05). The net revenue and economic efficiency of treated broilers were improved during the experiment (1-6 wks of age) with TO supplementation; the best value was observed in the group of receiving 150 mg/kg of diet. Collectively, supplementation with dietary TO enhanced growth performance, intestinal health, immune system development and function, liver and kidney function, and antioxidant capacity, and regulates the lipid profile as well as improved economic feasibility.
Keywords: broilers, thyme, Growth, Intestinal morphology, microbiota, Economics
Received: 29 Aug 2025; Accepted: 14 Oct 2025.
Copyright: © 2025 Alagawany, Saied, Attia, Reda, El-Kholy, Al-Badwi, Azzam, Di Cerbo, El-Tarabily and EL Nagar. This is an open-access article distributed under the terms of the Creative Commons Attribution License (CC BY). The use, distribution or reproduction in other forums is permitted, provided the original author(s) or licensor are credited and that the original publication in this journal is cited, in accordance with accepted academic practice. No use, distribution or reproduction is permitted which does not comply with these terms.
* Correspondence: Mahmoud M Alagawany, dr.mahmoud.alagwany@gmail.com
Disclaimer: All claims expressed in this article are solely those of the authors and do not necessarily represent those of their affiliated organizations, or those of the publisher, the editors and the reviewers. Any product that may be evaluated in this article or claim that may be made by its manufacturer is not guaranteed or endorsed by the publisher.
