CASE REPORT article
Front. Immunol.
Sec. Autoimmune and Autoinflammatory Disorders : Autoimmune Disorders
This article is part of the Research TopicCase Reports in Autoimmune and Autoinflammatory Disorders: Volume IIView all 34 articles
Case Report: A Chinese woman with primary Sjögren's syndrome presented with simultaneous involvement of the cerebral and coronary arteries as initial symptoms
Provisionally accepted- 1Quzhou KeCheng People’s Hospital, quzhou, China
- 2Wenzhou Medical University, Wenzhou, China
Select one of your emails
You have multiple emails registered with Frontiers:
Notify me on publication
Please enter your email address:
If you already have an account, please login
You don't have a Frontiers account ? You can register here
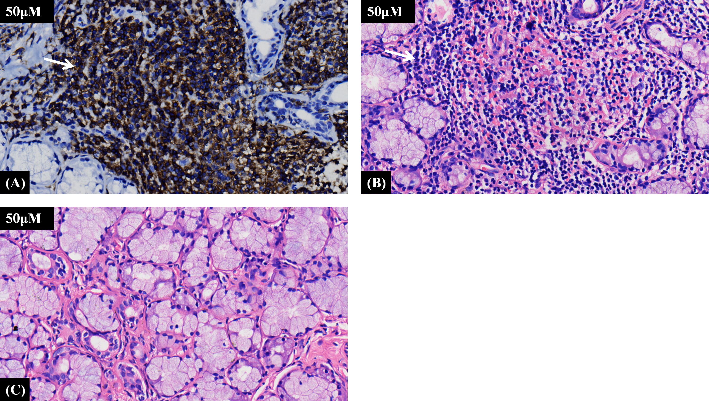
Introduction: Primary Sjögren's syndrome (pSS) is a heterogeneous autoimmune disorder that may be associated with systemic manifestations such as pulmonary or articular involvement.Compared to other autoimmune diseases, vascular injury and accelerated atherosclerosis in pSS are less studied. Case presentation: A 51-year-old woman presented with a 2-month history of dizziness, chest tightness, and exertional dyspnea. Vascular imaging revealed multifocal stenoses in the left anterior descending coronary artery (70%), bilateral middle cerebral arteries, right anterior cerebral artery, and left posterior cerebral artery. Her only traditional cardiovascular risk factor was hypertension, and she reported only mild xerostomia. Serology showed anti-SSA positivity. Schirmer's test was abnormal, and a labial gland biopsy confirmed focal lymphocytic sialadenitis (≥1 foci/4 mm²), leading to a pSS diagnosis per 2016 ACR-EULAR criteria. She responded favorably to a combination of immunomodulators (hydroxychloroquine and total glucosides of paeony), antiplatelet therapy, and statins, with symptom resolution at follow-up. Conclusion: This case represents an exceptionally rare documented instance of pSS simultaneously affecting both cerebral and coronary arterial systems. It underscores that severe multifocal arterial stenosis can present as the initial manifestation of this disease, even in the absence of prominent dryness symptoms. This highlights the necessity for vascular assessment in pSS patients and the urgency of conducting autoimmune evaluations in cases of unexplained multivessel arteriopathy.
Keywords: primary Sjögren's syndrome, Cerebral artery stenosis, Coronary artery stenosis, risk factor, case report
Received: 01 Sep 2025; Accepted: 29 Oct 2025.
Copyright: © 2025 Tang, Shen, Xu and Wang. This is an open-access article distributed under the terms of the Creative Commons Attribution License (CC BY). The use, distribution or reproduction in other forums is permitted, provided the original author(s) or licensor are credited and that the original publication in this journal is cited, in accordance with accepted academic practice. No use, distribution or reproduction is permitted which does not comply with these terms.
* Correspondence: ChenChen  Wang, 446959130@qq.com
Disclaimer: All claims expressed in this article are solely those of the authors and do not necessarily represent those of their affiliated organizations, or those of the publisher, the editors and the reviewers. Any product that may be evaluated in this article or claim that may be made by its manufacturer is not guaranteed or endorsed by the publisher.
