ORIGINAL RESEARCH article
Front. Immunol.
Sec. Viral Immunology
This article is part of the Research TopicA Nanoparticle-Antibody Alliance: A New Era in Disease DiagnosticsView all articles
Development of nanobody-based DAS-ELISA and Au nanoparticle-based immunochromatographic test strip for highly sensitive detection of Chikungunya virus
Provisionally accepted- 1Laboratory of Advanced Biotechnology, Zhejiang University-Hangzhou Global Scientific and Technological Innovation Center, Hangzhou, China
- 2Laboratory of Advanced Biotechnology, Beijing Institute of Biotechnology, Beijing, China
Select one of your emails
You have multiple emails registered with Frontiers:
Notify me on publication
Please enter your email address:
If you already have an account, please login
You don't have a Frontiers account ? You can register here
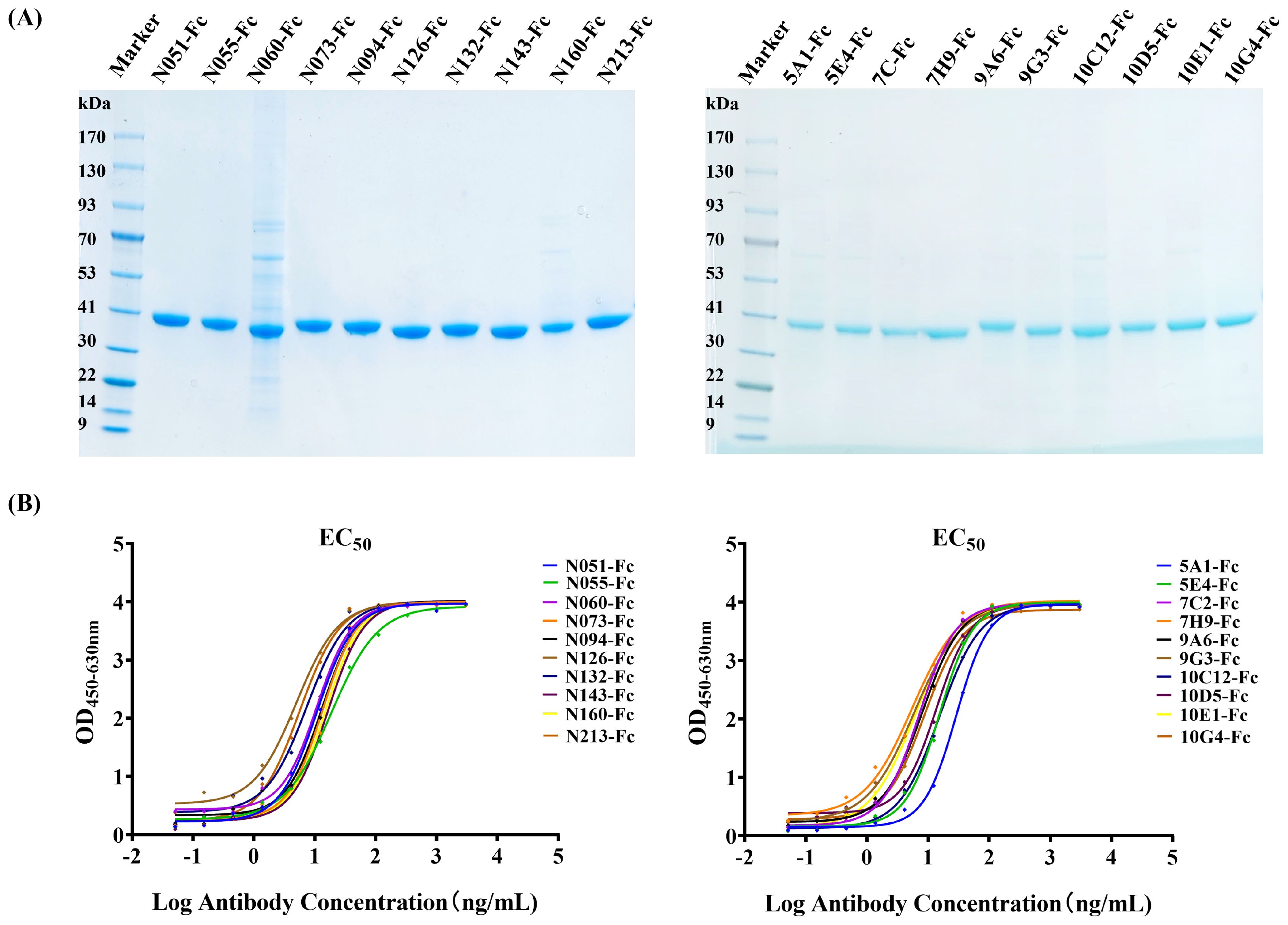
Chikungunya virus (CHIKV) is a mosquito-borne alphavirus that can cause severe diseases in both humans and animals, and it continues to pose a significant global public health threat. Current diagnostic methods primarily rely on the detection of CHIKV-specific IgM and IgG antibodies; however, these methods are limited to the phase of humoral immunity following viral infection. To address the diagnostic gap during the window period of antibody response, we developed two antigen detection assays that can directly detect CHIKV Envelope protein (CHIKV-E), enabling early and rapid viral detection. In this work, twenty nanobodies (Nbs) specifically binding to CHIKV-E protein were screened and identified from a constructed immune nanobody library via phage display technology. These Nbs were fused to human IgG1-Fc and expressed as recombinant Nb-Fc antibodies in Expi293F cells. Subsequently, the preferred Nb-Fc (N055-Fc/N055-mIgG1-Fc and 10G4-Fc) was used to establish DAS-ELISA and Au nanoparticle-based immunochromatographic test strip (AuNP-ICTS) detection methods, which demonstrated high sensitivity for CHIKV-E. In addition, the two established assays demonstrated exclusive specificity for CHIKV-E protein, showing no cross-reactivity with envelope proteins from four related alphaviruses or two co-circulating flaviviruses. Moreover, epitope mapping showed that Nanobody N055 and 10G4 recognized different linear epitopes, respectively. N055 targets E1 Domain II, while 10G4 recognizes the E1 fusion loop with additional interactions in E1 Domain II and E2 Domain B. Quantitative sensitivity analysis reveals that both DAS-ELISA and AuNP-ICTS assays effectively detect CHIKV-E in serum, with detection limits (LoD) of 49 pg/mL and 1.56 ng/mL, respectively. These results demonstrate superior sensitivity compared to existing similar antigen detection methods. Notably, the AuNP-ICTS method can complete the detection within 10 min, which significantly improves detection efficiency. Collectively, the developed DAS-ELISA and AuNP-ICTS methods overcome the limitations of conventional IgM/IgG serological assays, demonstrating superior sensitivity and rapid detection capabilities that make them promising diagnostic tools for early CHIKV detection.
Keywords: Chikungunya virus, Immune Nanobody library, Nanobody, DAS-ELISA, AuNP-ICTS
Received: 17 Sep 2025; Accepted: 31 Oct 2025.
Copyright: © 2025 Guo, Song, Liu, Hu, Chen, Fu, Yuan and Li. This is an open-access article distributed under the terms of the Creative Commons Attribution License (CC BY). The use, distribution or reproduction in other forums is permitted, provided the original author(s) or licensor are credited and that the original publication in this journal is cited, in accordance with accepted academic practice. No use, distribution or reproduction is permitted which does not comply with these terms.
* Correspondence: 
Hongyu  Yuan, 15652827690@163.com
Jianmin  Li, lijmqz@126.com
Disclaimer: All claims expressed in this article are solely those of the authors and do not necessarily represent those of their affiliated organizations, or those of the publisher, the editors and the reviewers. Any product that may be evaluated in this article or claim that may be made by its manufacturer is not guaranteed or endorsed by the publisher.
