ORIGINAL RESEARCH article
Front. Immunol.
Sec. Molecular Innate Immunity
This article is part of the Research TopicInnovative Insights into Pattern Recognition and Signaling in Innate ImmunityView all 12 articles
Manganese mediates antiviral effects by driving an ATM -TBK1 phosphorylation signaling pathway
Provisionally accepted- Frederick National Laboratory for Cancer Research, National Cancer Institute at Frederick (NIH), Frederick, United States
Select one of your emails
You have multiple emails registered with Frontiers:
Notify me on publication
Please enter your email address:
If you already have an account, please login
You don't have a Frontiers account ? You can register here
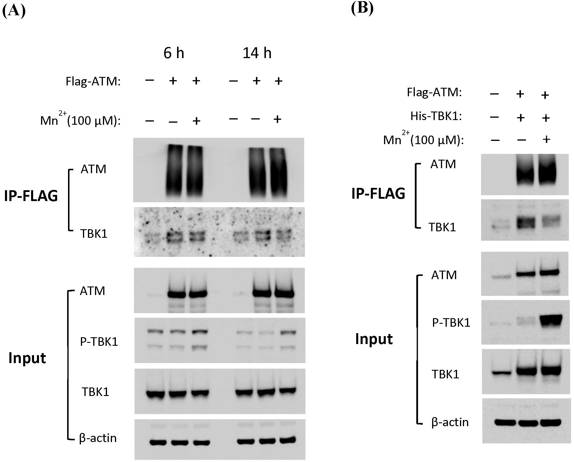
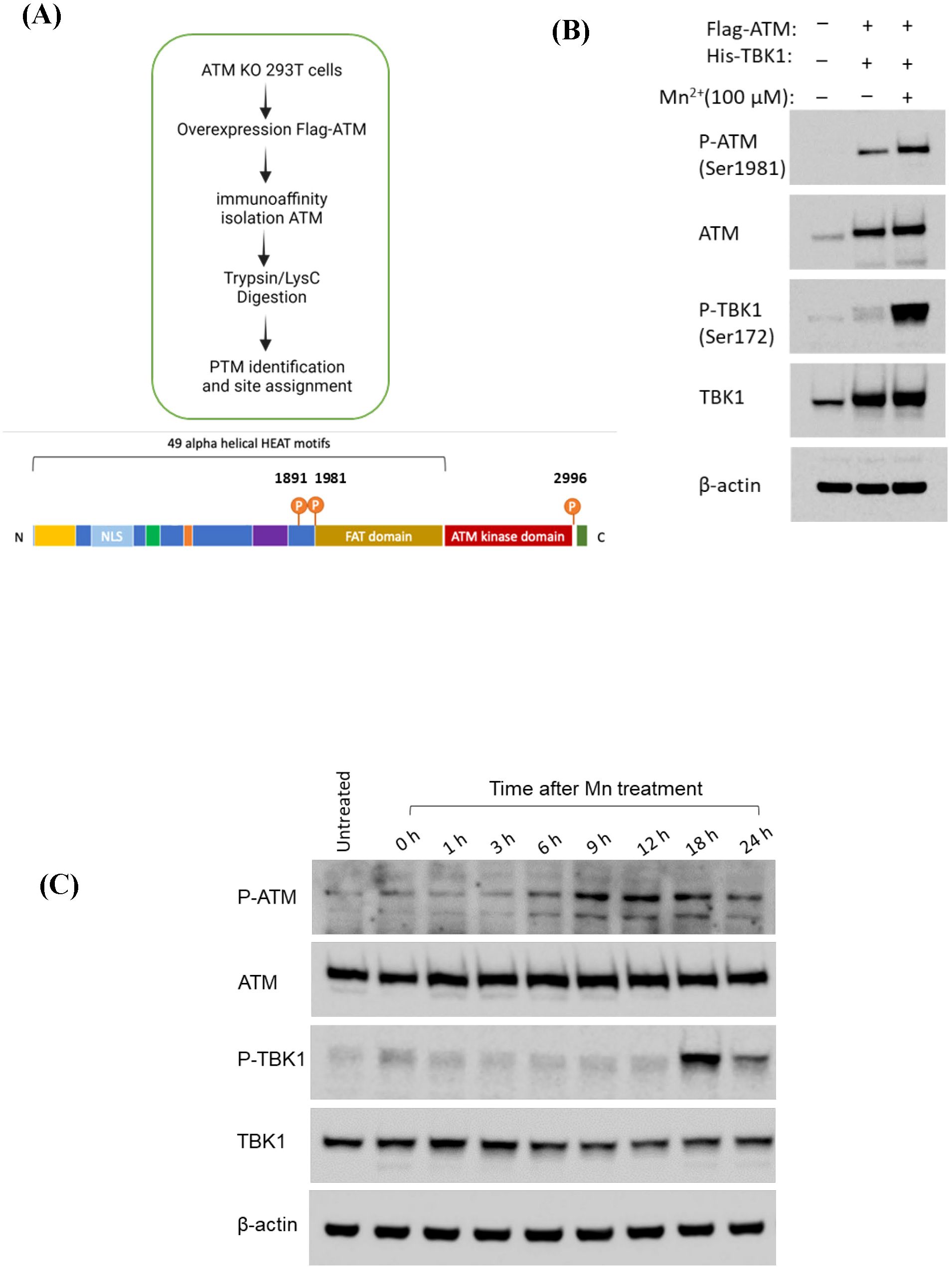
Abstract Ataxia-telangiectasia mutated (ATM) is traditionally recognized as a nuclear kinase involved in DNA damage repair. We were the first to report that ATM also participates in a manganese (Mn)-dependent TBK1 phosphorylation pathway. However, the underlying mechanism by which how Mn induces TBK1 phosphorylation through ATM remained unclear. Here, we show that Mn dose-dependently induced TBK1 phosphorylation in the presence of ATM across multiple cell lines, as well as in primary human macrophages and T cells. This phosphorylation was abolished in ATM-deficient cells, and we identified cytoplasmic ATM as a key mediator. Immunoprecipitation assays revealed that Mn promoted ATM phosphorylation at Ser1891, Ser1981, and Ser2996. TBK1 interacted with phosphorylated ATM at early stages, but upon phosphorylation, TBK1 dissociated from the ATM–TBK1 complex. This dissociation coincided with enhanced antiviral cytokine production. Furthermore, Mn inhibited HIV replication in a dose-dependent manner by inducing multiple antiviral host factors and cytokines, with Mn-dependent ATM-TBK1 phosphorylation pathway being patricianly involved. Together, these findings identify a cytoplasmic ATM–TBK1 phosphorylation cycle as one of essential regulators of antiviral innate immunity and suggest Mn supplementation as a potential therapeutic approach against HIV and other viral infections.
Keywords: Manganese, ATM, TBK1, Phosphorylation, antiviral immunity
Received: 18 Sep 2025; Accepted: 31 Oct 2025.
Copyright: © 2025 Sui, Wiscovitch-Russo, Cachaco, Yang, Bruchey, Laverdure, Chen and Imamichi. This is an open-access article distributed under the terms of the Creative Commons Attribution License (CC BY). The use, distribution or reproduction in other forums is permitted, provided the original author(s) or licensor are credited and that the original publication in this journal is cited, in accordance with accepted academic practice. No use, distribution or reproduction is permitted which does not comply with these terms.
* Correspondence: Hongyan Sui, suih@mail.nih.gov
Disclaimer: All claims expressed in this article are solely those of the authors and do not necessarily represent those of their affiliated organizations, or those of the publisher, the editors and the reviewers. Any product that may be evaluated in this article or claim that may be made by its manufacturer is not guaranteed or endorsed by the publisher.
