ORIGINAL RESEARCH article
Front. Immunol.
Sec. Cancer Immunity and Immunotherapy
This article is part of the Research TopicEpitranscriptomic Regulation of Anti-Tumor ImmunityView all 4 articles
Epigenetic activation of CD274/PD-L1 by the MSL complex expands its role beyond dosage compensation
Provisionally accepted- 1Affiliated Hospital of North Sichuan Medical College, Nanchong, China
- 2Changchun GeneScience Pharmaceuticals Co Ltd, Changchun, China
- 3Jilin University School of Life Sciences, Changchun, China
Select one of your emails
You have multiple emails registered with Frontiers:
Notify me on publication
Please enter your email address:
If you already have an account, please login
You don't have a Frontiers account ? You can register here
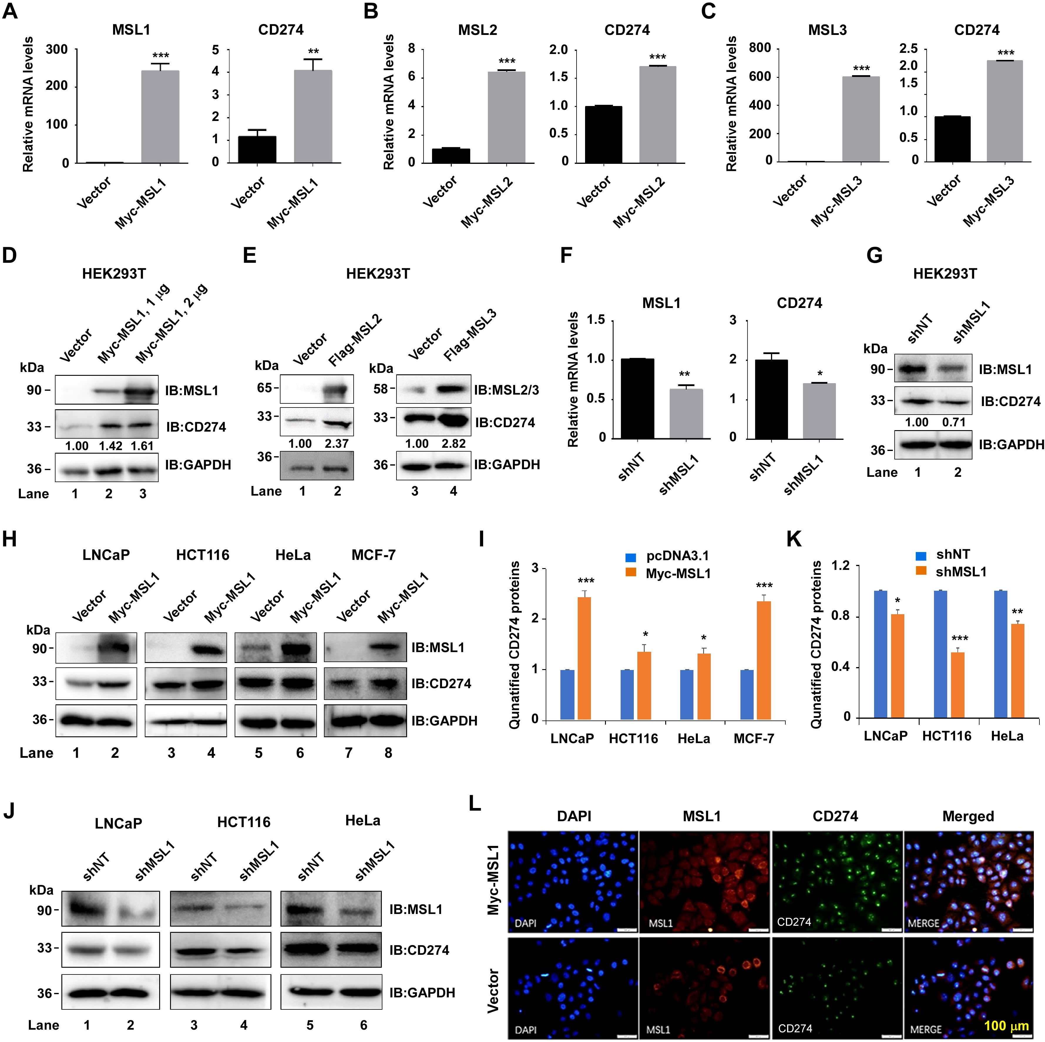
Introduction: The regulation of CD274 (PD-L1), a pivotal immune checkpoint in cancer immunotherapy, remain incompletely understood. The male-specific lethal (MSL ) complex, initially identified in Drosophila dosage compensation, contains the core subunit KAT8 (MOF), which catalyzes histone H4 lysine 16 acetylation (H4K16ac). However, whether the MSL complex directly regulates CD274 transcription has not been established. Methods: Using TIMER and GEPIA2, we charted pan-cancer expression of MSL subunits and their correlation with immune infiltration, integrating Kaplan–Meier survival and copy number variation (CNV) data to assess clinical relevance. CRISPR–Cas9 deletion of MSL1 or MSL3 in HEK293T cells, followed by RNA-seq, identified CD274 as a potential target. MSL1 knockdown or overexpression in LNCaP, HCT116, HeLa and MCF-7 cells confirmed regulation of CD274 protein, validated by rescue experiments in HEK293T cells. Luciferase reporter, ChIP–qPCR and ChIP–seq analyses collectively map the MSL-complex–CD274 regulatory axis. Results and discussion: Here we demonstrate that MSL1, a key subunit of the complex directly activates CD274 transcription by recruiting MOF to its promoter region and promoting H4K16 acetylation. Bioinformatic analyses revealed strong correlations between MSL1 expression, immune cell infiltration, and enrichment of immune-related gene sets across multiple cancer types. CRISPR/Cas9-mediated knockout of MSL1 or MSL3 markedly suppressed CD274 expression, whereas MSL1 overexpression enhancesd CD274 levels and upregulated downstream immune-and apoptosis-related genes, including BIRC3 and HLA-A. Dual-luciferase reporter assays, ChIP-qPCR and ChIP-seq further confirmed MSL1 binding near the –700 bp region of the CD274 promoter. Collectively, these findings uncover a previously unrecognized epigenetic mechanism linking the MSL complex to CD274 transcriptional regulation and identify MSL1 as a potential target for enhancing immunotherapy efficacy.
Keywords: histone acetyltransferase, CD274, Transcriptional regulation, Male-specific lethal, H4K16Ac
Received: 23 Sep 2025; Accepted: 18 Nov 2025.
Copyright: © 2025 Wen, Feng, Li, Cui, Zou, Cai, Jin and He. This is an open-access article distributed under the terms of the Creative Commons Attribution License (CC BY). The use, distribution or reproduction in other forums is permitted, provided the original author(s) or licensor are credited and that the original publication in this journal is cited, in accordance with accepted academic practice. No use, distribution or reproduction is permitted which does not comply with these terms.
* Correspondence: Yunxiao He, hyxnsmc@163.com
Disclaimer: All claims expressed in this article are solely those of the authors and do not necessarily represent those of their affiliated organizations, or those of the publisher, the editors and the reviewers. Any product that may be evaluated in this article or claim that may be made by its manufacturer is not guaranteed or endorsed by the publisher.
