CASE REPORT article
Front. Immunol.
Sec. Cancer Immunity and Immunotherapy
Local and Systemic Combination Therapy: Endoscopic Injection of an Oncolytic Virus with PD-1 Inhibitor for an Elderly Patient with Advanced Gastrointestinal Cancer
Provisionally accepted- 1Guizhou Medical University Clinical Medical College, Guiyang, China
- 2The Affiliated Hospital of Guizhou Medical University, Guiyang, China
Select one of your emails
You have multiple emails registered with Frontiers:
Notify me on publication
Please enter your email address:
If you already have an account, please login
You don't have a Frontiers account ? You can register here
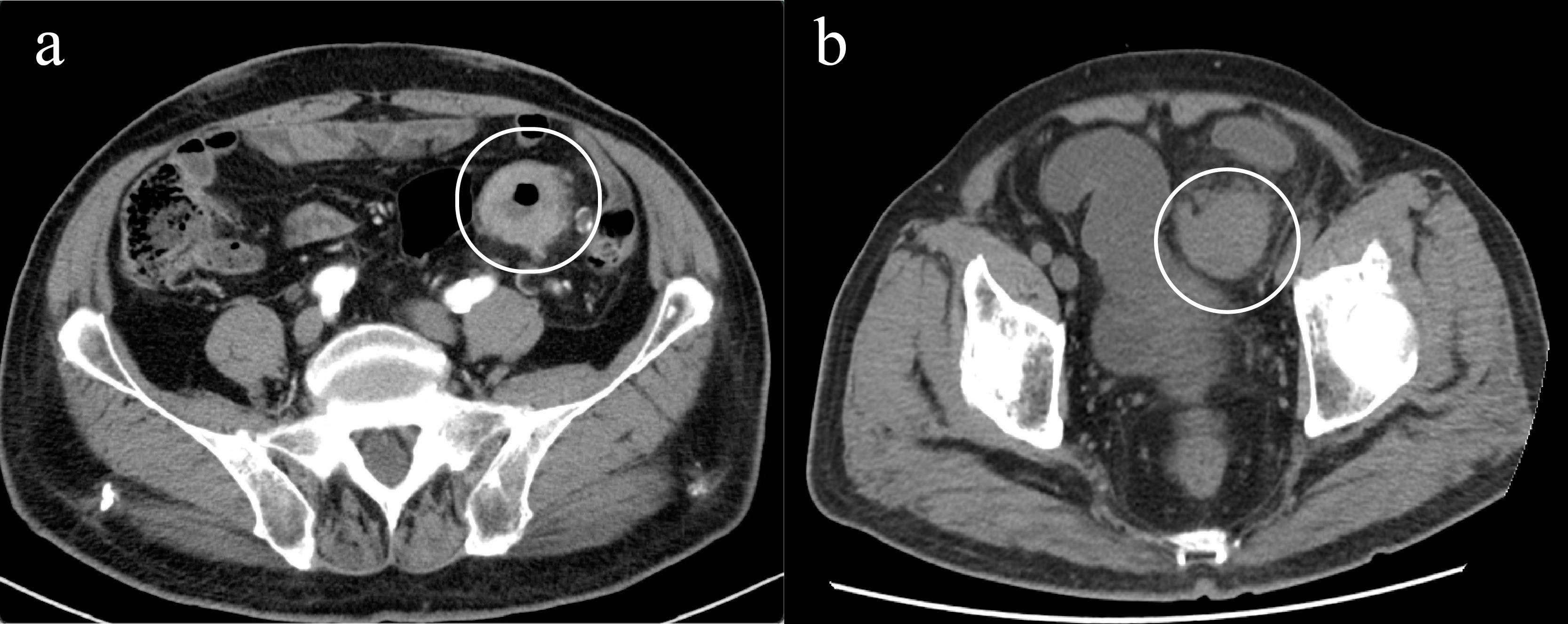
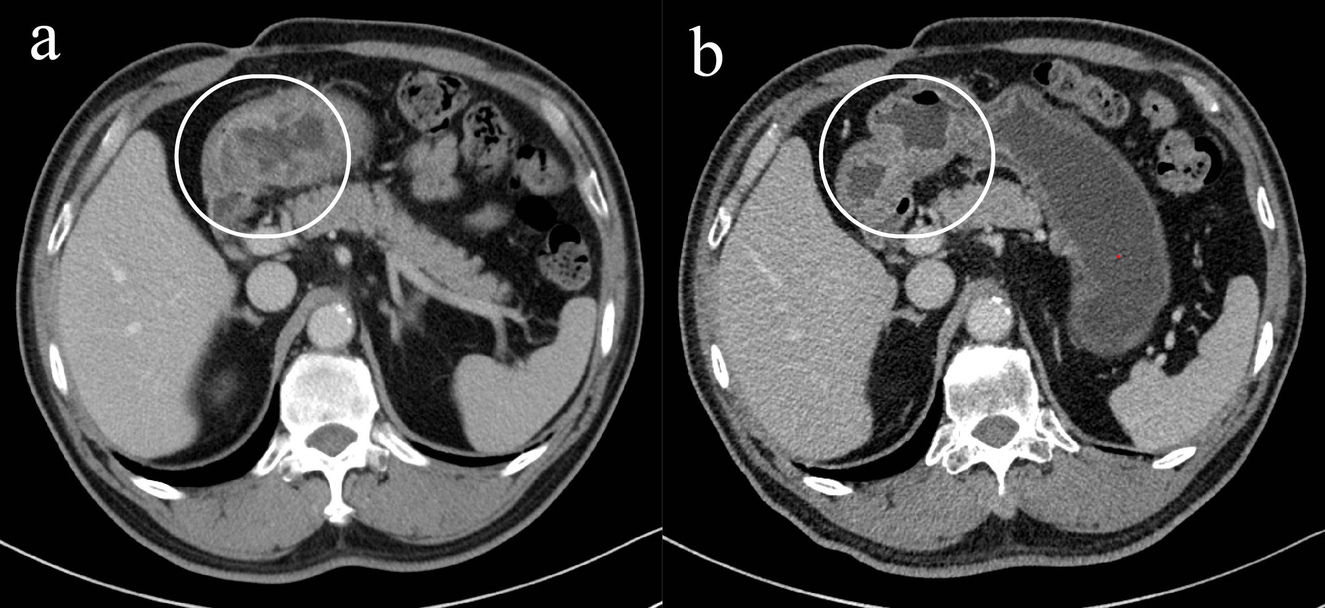
Gastric and colorectal cancers present significant therapeutic challenges, particularly in the elderly population, who often have comorbidities and diminished tolerance to standard treatments. This report describes an 85-year-old male with concurrent stage III gastric adenocarcinoma and stage IIIb microsatellite stable colorectal cancer, who declined both surgery and chemotherapy. Subsequently, the patient was treated with an innovative regimen consisting of endoscopic intratumoral injections of Oncolytic adenovirus H101 in combination with the PD-1 inhibitor tislelizumab. Following this combined therapeutic approach, the patient demonstrated notable tumor shrinkage and downstaging, accompanied by a reduction in serum tumor markers, including CEA and CA19-9. Additionally, there was an observed increase in CD8⁺ and CD4⁺ T-cell counts, indicating systemic immune activation. The treatment was well-tolerated, with the only reported adverse event being mild fever. The patient achieved nearly 4 months of progression-free survival and a substantial improvement in quality of life. This case highlights the potential of combining oncolytic virotherapy with PD-1 inhibition as a promising and novel personalized strategy for treating elderly patients with advanced gastrointestinal cancers who are unsuitable candidates for conventional therapies.
Keywords: gastric cancer, colorectal cancer, oncolytic virus, PD-1 inhibitors, elderly patients
Received: 06 Oct 2025; Accepted: 30 Oct 2025.
Copyright: © 2025 Luo, Ding, Zhang, Dai, Zhang, Wang, Wang and Jin. This is an open-access article distributed under the terms of the Creative Commons Attribution License (CC BY). The use, distribution or reproduction in other forums is permitted, provided the original author(s) or licensor are credited and that the original publication in this journal is cited, in accordance with accepted academic practice. No use, distribution or reproduction is permitted which does not comply with these terms.
* Correspondence: Xiangren  Jin, jinxiangren92@163.com
Disclaimer: All claims expressed in this article are solely those of the authors and do not necessarily represent those of their affiliated organizations, or those of the publisher, the editors and the reviewers. Any product that may be evaluated in this article or claim that may be made by its manufacturer is not guaranteed or endorsed by the publisher.
