Abstract
Recent studies in double-unit cord blood transplantation have shown that when the patient (PT) and the losing unit (LU) share an HLA determinant mismatched against the winning unit (WU), leukemia relapse risk declines without added graft-versus-host disease (GvHD), suggesting a potential “HLA-vaccine” effect. Building on this principle, we treated five patients with refractory leukemia using graft combinations beyond cord–cord pairs, including haploidentical–cord (haplo-cord) and haploidentical–haploidentical (haplo-haplo) transplants, purposefully selected for predicted HLA-vaccine effects. All patients had measurable residual disease at transplantation and received reduced-intensity conditioning without total body irradiation. Engraftment occurred in all cases, with durable WU dominance and complete remission achieved within one month. Transient chimerism of the LU suggests a rapid, immune-mediated graft-versus-graft (GvG) and potentially graft-versus-leukemia (GvL) effect, triggered by shared, mismatched HLA allotypes. These findings imply that HLA-vaccine transplantation may be feasible across diverse graft pairings, offering a novel therapeutic avenue for refractory leukemia.
Introduction
In double-unit cord blood transplantations, recent studies have demonstrated that if the patient (PT) and the losing unit (LU) share the same HLA determinant mismatched against the winning unit (WU), the risk of leukemia relapse decreases without an increase in graft-versus-host disease (GVHD) (1, 2). These observations support the hypothesis that the mismatched antigen in the LU can serve as a “vaccine” for the WU against the PT’s leukemia cells (2). In practice, such favorable pairs of cord blood units may not always be available for all candidates of hematopoietic stem cell transplantation (HSCT). We herein report 5 patients with refractory leukemia who received other combinations of double-unit transplantations, such as haploidentical–cord blood (haplo-cord) or haploidentical–haploidentical (haplo-haplo) HSCT. Their donor pairs were selected purposefully for the HLA-vaccine effect, irrespective of which graft ultimately predominated.
Patients and methods
All 5 patients had poor-prognosis leukemia with persistent measurable residual disease (MRD) at the time of vaccine transplantation (Table 1).
Table 1
| Age | Primary disease | Prior HSCT | Prior CAR-T/antibody | Disease status at HSCT referral | Bridging therapy before vaccine HSCT | Disease status at vaccine HSCT | Vaccine graft – winning graft | Vaccine antigen (HLA) | Conditioning | Acute GVHD | Chronic GVHD | Status | Time after vaccine HSCT |
|---|---|---|---|---|---|---|---|---|---|---|---|---|---|
| 7 | T-ALL TCF7:: SPI1 |
No | No | Day 33 MRD 1.61% | Protocol 1b HDMTX Nelarabine Dasatinib |
BM MRD 5x10-5 |
Haplo – UCB |
A, DRB1 | Flu-Bu-TT-Cy-AraC | None | None | Alive in CR, MRD– |
9m |
| 12 | T-ALL NUP98:: RAP1-GDS1 |
No | No | Day 37 BM Blasts 46.4% |
Protocol 1b Nelarabine Venetoclax |
BM MRD 1x10-5 |
MSD – Haplo |
A, B, C, DRB1 | Flu-Bu-TT-Cy-AraC | Grade 3, Skin, Gut |
Moderate, Lung |
Alive in CR, MRD– |
9m |
| 15 | B-ALL MEF2D:: BCL9 |
1.Haplo 2.Haplo |
1.Tisa-Cel 2.Tisa-Cel 3.CD19/22 /72 CAR-T |
6th relapse, Orbit |
Radiation Venetoclax Sunitinib Bortezomib |
BM MRD 5x10-5 |
UCB – Haplo |
B, C, DRB1 | Flu-Treo-TT-Cy-AraC | None | Moderate Skin, Eye Mouth, Liver |
Alive in CR, MRD– |
5m |
| 6 | B-ALL Hyper-diploid |
1.MUD | 1.Blinatu-momab 2.Inotuzu-mab |
2nd relapse, BM Blasts 78% | HDMTX Venetoclax Mini-hyper CVD |
BM MRD 2.2% | UCB – Haplo |
A | Flu-Bu-TT-Cy-AraC | None | None | Alive in CR, MRD– |
5m |
| 16 | AML FLT3-ITD |
1.MSD | No | 1st relapse, BM blasts 91% | Gilteritinib, Venetoclax Azacytidine |
PB Blasts 54% | Haplo – Haplo |
A, B, DRB1 | Flu-Treo-TT-Cy-AraC | Grade 3, Gut Liver |
None | Alive in CR, MRD– |
3m |
Patient characteristics and outcomes.
*MUD, matched unrelated donor; MSD, matched sibling donor; HDMTX, high-dose methotrexate; MRD, measurable residual disease; BM, bone marrow; PB, peripheral blood; Haplo, haploidentical; UCB, umbilical cord blood; Flu, fludarabine (160-200mg/m2); Bu, busulfan (10mg/kg); Treo, treosulfan (30mg/kg); TT, thiotepa (10mg/kg); Cy, cyclophosphamide (130-180mg/kg); AraC, cytarabine (200-900mg/m2); CR, complete remission.
-
Patient 1 had T-lineage acute lymphoblastic leukemia (T-ALL) with TCF7::SPI1 gene fusion, previously associated with uniformly poor overall survival (3). As expected, she had high-level MRD (1.61%) post-induction and persistent disease despite intensive consolidation chemotherapy, including nelarabine and dasatinib.
-
Patient 2 had T-ALL with NUP98::RAP1GDS1 fusion, also linked to poor treatment response and short survival (4). She experienced induction failure with >40% blasts in the bone marrow on Day 37 of induction chemotherapy. After intensive salvage, including nelarabine and venetoclax, she still had persistent MRD.
-
Patient 3 had B-ALL with high-risk MEF2D::BCL9 fusion (5). His leukemia relapsed 6 times despite multimodality treatment, including two haploidentical HSCTs, two Tisa-Cel infusions, and one trial of triple-targeting αCD19/CD22/CD72 CAR T cells. At his 6th relapse, he had orbital extramedullary disease and MRD in the marrow, treated with radiation and multiagent therapy including venetoclax, sunitinib, and bortezomib.
-
Patient 4 had hyperdiploid B-ALL. After his first marrow relapse, he had 43.3% residual blasts post-reinduction. Following 2 cycles of blinatumomab and TBI-containing (12 Gy) matched unrelated donor HSCT, he relapsed again 7 months later. Inotuzumab failed, resulting in a triple-negative (CD19–/CD20–/CD22–) phenotype. After bridging therapy with high-dose methotrexate, venetoclax, and mini–hyper-CVD regimen A, he had 2.27% residual blasts at the time of vaccine transplant.
-
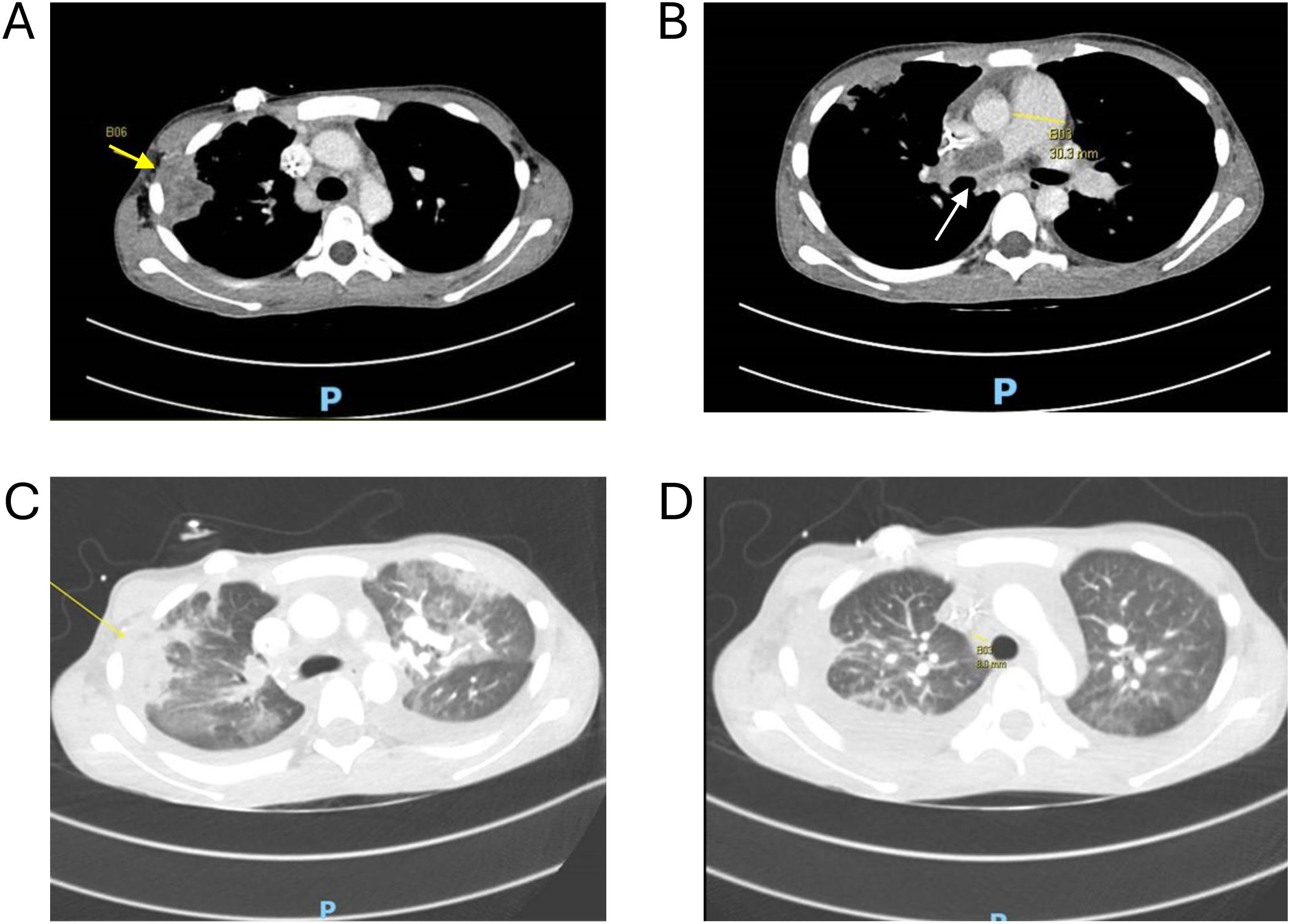
Patient 5 had AML with FLT3-ITD, relapsing within 4 months after consolidative HSCT (busulfan–cyclophosphamide conditioning, matched sibling donor). The AML was refractory to azacitidine/venetoclax reinduction and complicated by angio-invasive pulmonary mucormycosis (Rhizopus) involving the right main pulmonary artery, left lower lobar artery, right chest wall, and both lung extensively (Figure 1). After referral, mucormycosis was treated with thrombectomies, isavuconazole, and ambisome, while leukemia was treated with gilteritinib, venetoclax, and azacitidine. At vaccine transplant, he still had extensive pulmonary disease and ~50% circulating blasts.
Figure 1

Angioinvasive pulmonary mucormycosis. (A) Peripheral consolidation with pleural and chest wall invasion (yellow arrow). (B) Extensive pulmonary embolus (white arrow) expanding the right main pulmonary artery (30.3mm) extending into the right lobar, segmental and subsegmental pulmonary arteries. (C) Extensive ground glass opacities scattered throughout both lungs. (D) Interval resolution one month after vaccine transplantation.
HLA vaccine transplant
All patients received non-TBI conditioning with fludarabine–busulfan/treosulfan–thiotepa–cyclophosphamide–cytarabine (6), with busulfan replaced by treosulfan if previously used. Doses were reduced-intensity (total busulfan 10 mg/kg, treosulfan 30 mg/kg, thiotepa 10 mg/kg, cytarabine 200–900 mg/m²), sufficient for engraftment but not for leukemia ablation, to limit morbidity in chemo-refractory disease. Tacrolimus and mycophenolate mofetil were given for GVHD prophylaxis.
Results
The median number of HLA-vaccine antigens was 3 (range 1–4), involving both MHC Class I and II (Table 1). Median neutrophil engraftment occurred at 20 days (range 15–36). All patients had transient LU chimerism (median 17%, range 1–34%, peak Day 13) in peripheral blood, with WU subsequently reaching >90% chimerism at a median of 18 days (range 8–27). Around this period, a transient surge in lymphocyte count was seen in all patients (Figure 2). At last follow-up 3–9 months post-transplant, all patients maintained 100% WU-derived chimerism.
Figure 2

Absolute lymphocyte count. Absolute lymphocyte count (ALC) of the 5 patients peri-engraftment, demonstrating a pattern of transient surge in cell number followed by contraction.
Two patients developed acute GVHD (both grade 3) and two developed chronic GVHD (both moderate), all responsive to systemic steroids. All 5 patients are alive in complete remission without MRD.
Discussion
This study demonstrates the feasibility of HLA-vaccine transplantations for refractory leukemia, extending beyond double-unit cord blood to haploidentical–cord blood or haploidentical–haploidentical HSCT. If validated in other cohorts, this approach may broaden accessibility, as suitable vaccine-effect double-cord units are not always available as illustrated in our cohort. Recent randomized studies have demonstrated favorable survival after haploidentical–cord blood HSCT without excessive toxicities (7, 8).
Despite refractoriness to contemporary therapies—including conventional HSCT, CAR-T cells, antibodies, and small molecules—all 5 patients achieved MRD-negative remission within 1 month of HLA-vaccine transplantation. The timing of leukemia clearance coincided with rapid LU rejection, supporting the hypothesis that LU provided an HLA-vaccine effect against leukemia cells sharing the mismatched HLA allotype. This hematopoietic cell-derived vaccine effect appeared relatively specific for hematologic malignancies, as clearance occurred in 2 of the 5 patients without clinical GVHD, consistent with prior reports (1, 2).
We purposefully selected graft pairs for vaccine effect regardless of WU dominance, preferring involvement of both MHC Class I and II when possible (Table 2) (2, 9). Mechanistically, in double-unit cord blood HSCT, prior studies showed WU-derived CD8+ T cells mediating graft-versus-graft (GvG) alloreactivity via mismatched class I against LU (10). Similarly, HLA class II–mismatched HSCT showed robust expansion of WU-derived CD4+ T cells against LU alleles in 29/31 recipients (11, 12). In both, WU-derived T cells were non-reactive against third-party cells, suggesting an HLA allotype–restricted GvG and GvL effect (10–12).
Table 2
| HLA | Patient | Haploidentical graft | UCB graft | |||
|---|---|---|---|---|---|---|
| Haplotype | a | c | a | b | e | c |
| A | 02:03 | 11:01 | 02:03 | 24:02 | 34:05 | 11:01 |
| B | 38:02 | 38:02 | 38:02 | 55:02 | 38:02 | 38:02 |
| C | 07:02 | 07:02 | 07:02 | 12:03 | 07:02 | 07:02 |
| DRB1 | 16:02 | 15:02 | 16:02 | 13:12 | 15:02 | 15:02 |
An illustrative example of HLA-vaccine antigens in patient 1.
*Potential HLA-vaccine antigens are underlined in red font. This cord blood unit was chosen based on 3 sets of criteria: [1] Fulfilment of the standard step-by-step CBU selection guide in the United States (Ref 13), including TNC >2.5x107/kg, CD34 >1.5x105/kg, HLA allele match at least 5/8, collection <15 years ago, RBC depleted unit, and accredited UCB bank, with units sorted by 8-allele HLA match (the best matched units available were 6/8 in GVHD direction in this case). [2] All the mismatched HLA alleles were preferably sited in the haplotype shared by the patient and the haploidentical graft (Haplotype a), involving both MHC Class I and II if possible; thus if the UCB was the WU, the HLA-A*02:03 and HLA-DRB1*16:02 in the haploideintical LU may serve as the vaccine antigens. [3] The matched HLA alleles were preferably sited in the haplotype that was not shared by the patient and the haploidentical graft (Haplotype c); thus if the haploidentical graft was the WU, the matched HLA alleles HLA-A*11:01 and HLA-DRB1*15:02 in the UCB that were absent in the haploidentical graft may serve as the vaccine antigens.
Although our findings support broader feasibility, limitations include the small cohort and short follow-up. While HLA-vaccine effect is the most plausible explanation for leukemia response, the multiagent non-TBI conditioning may have contributed despite refractory disease. Larger, longer-term studies are needed to confirm durability of remission. If validated, vaccine transplantation may represent a novel and powerful therapy for refractory leukemia lacking curative options.
Statements
Data availability statement
The original contributions presented in the study are included in the article/supplementary material. Further inquiries can be directed to the corresponding author.
Ethics statement
The studies involving humans were approved by KK Women’s and Children’s Hospital. The studies were conducted in accordance with the local legislation and institutional requirements. Written informed consent for participation in this study was provided by the participants’ legal guardians/next of kin. Written informed consent was obtained from the individual(s) for the publication of any potentially identifiable images or data included in this article.
Author contributions
WL: Conceptualization, Writing – review & editing, Writing – original draft. MS-FS: Methodology, Writing – review & editing, Data curation. TP: Writing – review & editing, Methodology. DC: Writing – review & editing, Methodology. AT: Writing – review & editing, Resources, Methodology.
Funding
The author(s) declared that financial support was received for this work and/or its publication. This research was funded in part by Goh Foundation, Singapore.
Acknowledgments
We thank the patients and their parents for participating in this study.
Conflict of interest
The authors declare that the research was conducted in the absence of any commercial or financial relationships that could be construed as a potential conflict of interest.
The author(s) declared that they were an editorial board member of Frontiers, at the time of submission. This had no impact on the peer review process and the final decision.
Generative AI statement
The author(s) declare that no Generative AI was used in the creation of this manuscript.
Any alternative text (alt text) provided alongside figures in this article has been generated by Frontiers with the support of artificial intelligence and reasonable efforts have been made to ensure accuracy, including review by the authors wherever possible. If you identify any issues, please contact us.
Publisher’s note
All claims expressed in this article are solely those of the authors and do not necessarily represent those of their affiliated organizations, or those of the publisher, the editors and the reviewers. Any product that may be evaluated in this article, or claim that may be made by its manufacturer, is not guaranteed or endorsed by the publisher.
References
1
Wynn R Volt F Guardiola P Senthil S Scigliuolo G Kenzey C et al . Impact of shared HLA determinants between patient and losing cord blood unit on relapse after double cord blood transplantation. Blood Adv. (2025) 9:4425–35. doi: 10.1182/bloodadvances.2025015938
2
Wong CH Chan WYK Lee PPW Cheuk DKL Leung W . HLA vaccine effect in double cord blood transplant: Chinese cohort. Blood Adv. (2025) 9(20):5378–9. doi: 10.1182/bloodadvances.2025017346
3
Seki M Kimura S Isobe T Yoshida K Ueno H Nakajima-Takagi Y et al . Recurrent SPI1 (PU.1) fusions in high-risk pediatric T cell acute lymphoblastic leukemia. Nat Genet. (2017) 49:1274–81. doi: 10.1038/ng.3900
4
Colli S Furforo L Rojo Pisarello E Maidana M Martín C Bordone J et al . A der(11)t(4;11)(q21;p15) in a T-ALL/LBL patient. Cancer Genet. (2016) 209:166–70. doi: 10.1016/j.cancergen.2016.01.001
5
Suzuki K Okuno Y Kawashima N Muramatsu H Okuno T Wang X et al . MEF2D-BCL9 fusion gene is associated with high-risk acute B-cell precursor lymphoblastic leukemia in adolescents. J Clin Oncol. (2016) 34:3451–9. doi: 10.1200/JCO.2016.66.5547
6
Xiao YH Liu SS Li CF Leung W Feng XQ He YL et al . Post transplantation fludarabine and cyclophosphamide selected and promoted low dose of unrelated UCB implantation in combined transplantation of haploid and UCB stem cells in childhood leukemia: 40 cases report in double center. Blood. (2021) 138:2875–6. doi: 10.1182/blood-2021-150888
7
Zhou B Chen J Liu T Ye Y Zhang Y Ding Y et al . Haploidentical hematopoietic cell transplantation with or without an unrelated cord blood unit for adult acute myeloid leukemia: a multicenter, randomized, open-label, phase 3 trial. Signal Transduct Target Ther. (2024) 9:108. doi: 10.1038/s41392-024-01820-5
8
Yu S Huang F Xu N Zhang Z Liu C Xu X et al . Haploidentical peripheral blood stem cells combined with bone marrow or unrelated cord blood as grafts for haematological Malignancies: an open-label, multicentre, randomised, phase 3 trial. Lancet Haematol. (2025) 12:e190–200. doi: 10.1016/S2352-3026(24)00372-7
9
Dahlberg A Milano F . Targeted GVL through HLA mismatch in double cord blood transplant. Blood Adv. (2025) 9:4470–1. doi: 10.1182/bloodadvances.2025016876
10
Gutman JA Turtle CJ Manley TJ Heimfeld S Bernstein ID Riddell SR et al . Single-unit dominance after double-unit umbilical cord blood transplantation coincides with a specific CD8+ T-cell response against the nonengrafted unit. Blood. (2010) 115:757–65. doi: 10.1182/blood-2009-07-228999
11
Lamers CH Wijers R van Bergen CA Somers JA Braakman E Gratama JW et al . CD4+ T-cell alloreactivity toward mismatched HLA class II alleles early after double umbilical cord blood transplantation. Blood. (2016) 128:2165–74. doi: 10.1182/blood-2016-06-718619
12
Kalin B Ter Borg M Wijers R Somers JAE van der Holt B van Bergen CAM et al . Double umbilical cord blood transplantation in high-risk hematological patients: A phase II study focusing on the mechanism of graft predominance. Hemasphere. (2019) 3:e285. doi: 10.1097/HS9.0000000000000285
13
Politikos I Davis E Nhaissi M Wagner JE Brunstein CG Cohen S American society for transplantation and cellular therapy cord blood special interest group et al . Guidelines for Cord Blood Unit Selection. Biol Blood Marrow Transplant. (2020) 26:2190–6. doi: 10.1016/j.bbmt.2020.07.030
Summary
Keywords
HLA, leukemia, allogeneic stem cell transplantation, graft verses leukemia response, alternative donor sources
Citation
Leung W, Seng MS-F, Pham TNA, Chong D and Tan AM (2025) HLA-vaccine transplantations for refractory leukemia: beyond double-unit cord blood. Front. Immunol. 16:1726216. doi: 10.3389/fimmu.2025.1726216
Received
16 October 2025
Revised
15 November 2025
Accepted
17 November 2025
Published
05 December 2025
Volume
16 - 2025
Edited by
Martin Maiers, National Marrow Donor Program, United States
Reviewed by
Rob Wynn, Royal Manchester Children’s Hospital, United Kingdom
Biqi Zhou, The First Affiliated Hospital of Soochow University, China
Updates
Copyright
© 2025 Leung, Seng, Pham, Chong and Tan.
This is an open-access article distributed under the terms of the Creative Commons Attribution License (CC BY). The use, distribution or reproduction in other forums is permitted, provided the original author(s) and the copyright owner(s) are credited and that the original publication in this journal is cited, in accordance with accepted academic practice. No use, distribution or reproduction is permitted which does not comply with these terms.
*Correspondence: Wing Leung, leung.wing.hang@singhealth.com.sg
†These authors have contributed equally to this work
Disclaimer
All claims expressed in this article are solely those of the authors and do not necessarily represent those of their affiliated organizations, or those of the publisher, the editors and the reviewers. Any product that may be evaluated in this article or claim that may be made by its manufacturer is not guaranteed or endorsed by the publisher.