ORIGINAL RESEARCH article
Front. Microbiol.
Sec. Microorganisms in Vertebrate Digestive Systems
This article is part of the Research TopicThe Interaction Between Food Ingredients and Gut Microbiome on Health and DiseaseView all 35 articles
Chewable tablets containing rape bee pollen and maca attenuate testosterone propionate–induced benign prostatic hyperplasia in Sprague–Dawley rats by regulating the gut microbiota and modulating the IL-6/JAK2/STAT3 signaling pathway
Provisionally accepted- 1Huanghe University of Science and Technology, Zhengzhou, Henan Province, China
- 2Henan University, Kaifeng, Henan Province, China
- 3Institute of Botany, Jiangsu Province and Chinese Academy of Sciences, Nanjing, China
Select one of your emails
You have multiple emails registered with Frontiers:
Notify me on publication
Please enter your email address:
If you already have an account, please login
You don't have a Frontiers account ? You can register here
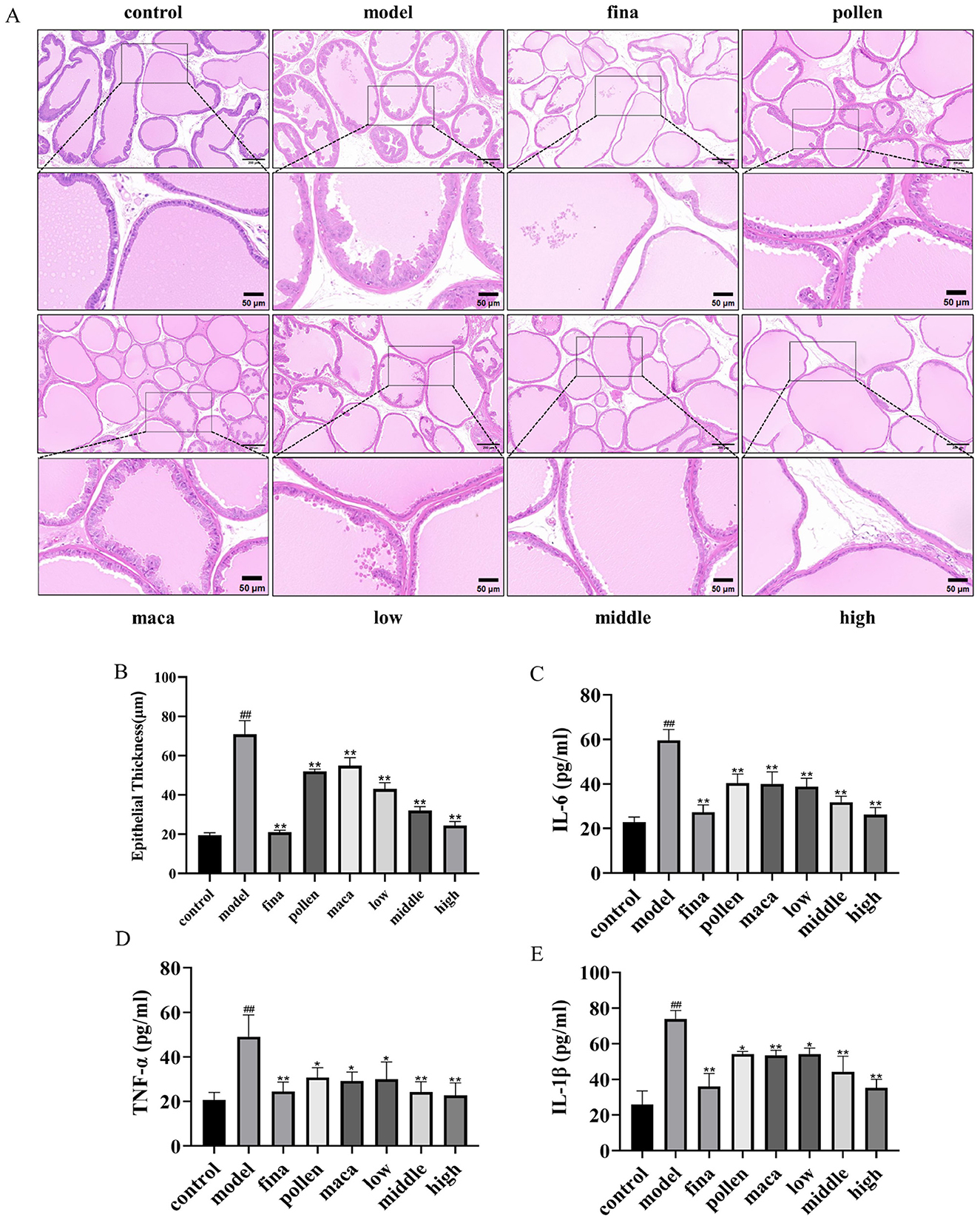
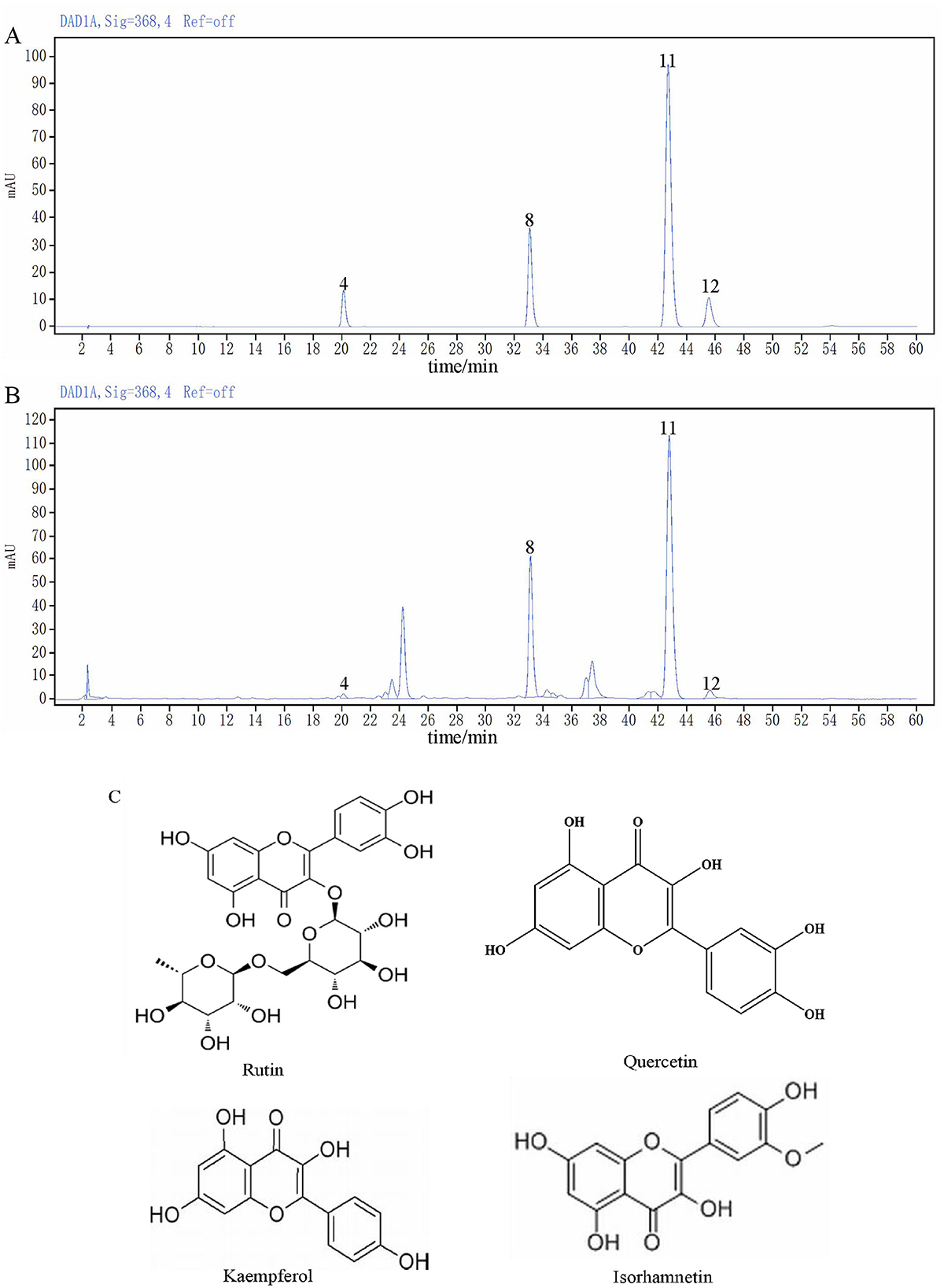
Benign prostatic hyperplasia (BPH) impairs quality of life and imposes significant economic burden, with current pharmacotherapies offering only symptomatic relief and notable side effects. Rape bee pollen and maca, both nutrient-rich functional foods with diverse biological activities, have not been previously studied in combination for BPH treatment or mechanistic insight. This study evaluates the therapeutic efficacy and molecular mechanisms of a novel chewable tablet containing rape bee pollen and maca in a rat model of BPH. The formulation was prepared and characterized via HPLC fingerprinting, with quantitative analysis of four major components. BPH was induced in rats by subcutaneous testosterone propionate injections over four weeks, during which the chewable tablets were administered orally. Treatment significantly reduced prostate index, serum levels of dihydrotestosterone (DHT), testosterone (T), estradiol (E2), E2/T ratio, and pro-inflammatory cytokines (IL-6, TNF-α, IL-1β), while enhancing antioxidant markers—SOD and GSH—and reducing lipid peroxidation (MDA). Histopathological examination confirmed amelioration of prostate hyperplasia. Notably, the combination therapy outperformed either component alone, suggesting synergistic effects. Mechanistically, Western blot analysis revealed downregulation of IL-6, phosphorylated JAK2 (p-JAK2), and phosphorylated STAT3 (p-STAT3), implicating suppression of the IL-6/JAK2/STAT3 signaling pathway. Furthermore, 16S rDNA sequencing of fecal samples showed that the tablet modulated gut microbiota by enriching beneficial genera—including Faecalibacterium, Collinsella, Phascolarctobacterium, Kineothrix, and Lactobacillus—while reducing the pro-inflammatory Prevotella. These findings suggest that the chewable tablet exerts protective effects against BPH through dual modulation of systemic inflammation and oxidative stress, as well as gut microbiome balance. The therapeutic synergy between rape bee pollen and maca highlights their potential as a safe, natural alternative for BPH management, acting via the gut-prostate axis and IL-6/JAK2/STAT3 pathway inhibition.
Keywords: Benign prostatic hyperplasia, Rape bee pollen, Maca, Gut Microbiota, IL-6/JAK2/STAT3 signaling pathway
Received: 14 Jan 2025; Accepted: 24 Oct 2025.
Copyright: © 2025 Huang, Ru, Tian, Zhang, Zhao, Wang, An and Zhao. This is an open-access article distributed under the terms of the Creative Commons Attribution License (CC BY). The use, distribution or reproduction in other forums is permitted, provided the original author(s) or licensor are credited and that the original publication in this journal is cited, in accordance with accepted academic practice. No use, distribution or reproduction is permitted which does not comply with these terms.
* Correspondence:
Jia An, 201208120@hhstu.edu.cn
Wanli Zhao, zhaowanlitcm@126.com
Disclaimer: All claims expressed in this article are solely those of the authors and do not necessarily represent those of their affiliated organizations, or those of the publisher, the editors and the reviewers. Any product that may be evaluated in this article or claim that may be made by its manufacturer is not guaranteed or endorsed by the publisher.
