ORIGINAL RESEARCH article
Front. Microbiol.
Sec. Microbiotechnology
This article is part of the Research TopicMetabolic Engineering for the Production of Bioactive CompoundsView all 6 articles
A Novel Exo-lytic and Disaccharide-Yielding Glycosaminoglycan Lyase of a Marine-Derived Polysaccharide-degrading Actinobacterium Microbacterium sp. strain WS15
Provisionally accepted- 1Shandong University, Jinan, China
- 2Jinan Enlighten Biotechnology Co. ltd., Jinan, China
- 3The Second Hospital of Shandong University, Jinan, China
Select one of your emails
You have multiple emails registered with Frontiers:
Notify me on publication
Please enter your email address:
If you already have an account, please login
You don't have a Frontiers account ? You can register here
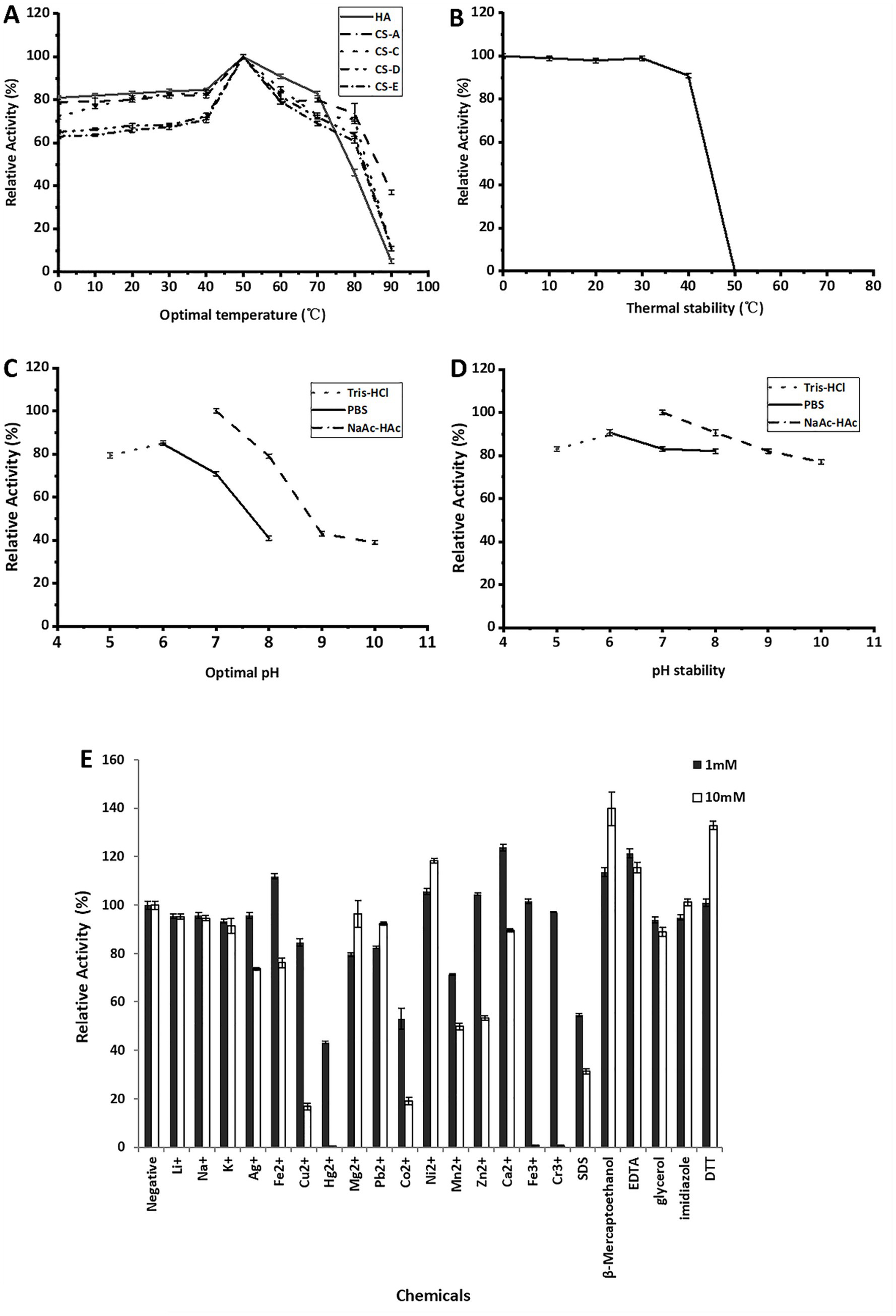
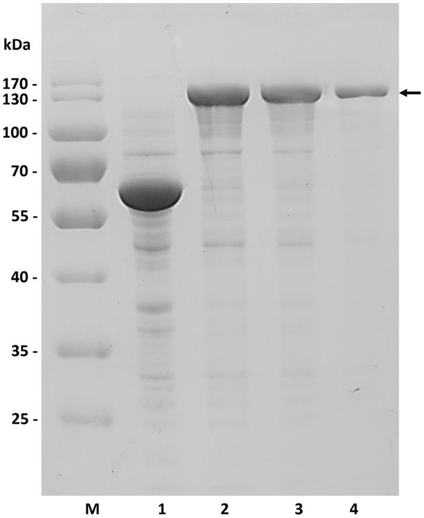
Glycosaminoglycan (GAG) lyases play key roles in preparing oligosaccharides, treating human diseases, and learning relationships between complex structures and various functions of carbohydrates. An endo-lytic enzyme will depolymerize GAGs randomly and finally produce a series of size-defined oligosaccharide fractions, whereas an exo-lytic lyase can usually yield the sole final oligosaccharide products. However, it is difficult to distinguish them depending on protein sequences directly, leading a limit of further resource explorations.In this study, we initially isolated and identified a marine-derived polysaccharide-degrading actinobacterium Microbacterium sp. strain WS15, subsequently explored the protein TT16 by genome sequencing and data mining, as a new candidate GAGs lyase within the eighth polysaccharide lyase (PL8) family, for sharing high sequence identity with characterized endo-type GAG lyases. The recombinant proteins of TT16 were optimal at 50℃ and pH 7.0 respectively, and active against multiple polysaccharide substrates including both unsulfated GAG (e.g., hyaluronate) and sulphated GAGs (e.g., chondroitin sulfate A, C, D and E types), implying a broad spectrum basing on sulfation tolerance. However, TT16 was novel for predominantly yielding unsaturated disaccharides as an exo-type instead of an endo-type lyase, with the smallest substrate of associated tetrasaccharides, suggesting the potential in disaccharide preparation. Comparative enzymatic analyses indicated that all the biochemical characteristics and catalytic properties were determined by the TT16 protein rather than the additional protein tag. Moreover, protein structure modeling followed by molecular docking, revealed that protein TT16 showed low binding energies with various donors, and its catalytic cavity was large and flexible to accommodate either two unsulfated hyaluronate disaccharides or a chondroitin sulfate E tetra-saccharide with four sulfate groups as donor, implying a structural basis suitable for the disaccharide-yielding type. Furthermore, the motif of Tyr284, Asn225 and His275 also provided the catalytic basis for β-elimination, while residues Ala71 and Arg219 might be essential for the novel exo-lytic mode. This study provided the protein TT16 as a novel exo-lytic tool for preparing unsaturated GAG disaccharides, and the potential exo-lytic mechanism, which will benefit the initial enzyme identification and further property improvements.
Keywords: Active site residue, Action mode, GAG lyase, molecular docking, Sulfation
Received: 06 Aug 2025; Accepted: 14 Oct 2025.
Copyright: © 2025 Li, Liu, Ma, Gu, Shan, Han, Wang, Li and Tan. This is an open-access article distributed under the terms of the Creative Commons Attribution License (CC BY). The use, distribution or reproduction in other forums is permitted, provided the original author(s) or licensor are credited and that the original publication in this journal is cited, in accordance with accepted academic practice. No use, distribution or reproduction is permitted which does not comply with these terms.
* Correspondence: Wenjun Han, hanwenjun_79@sdu.edu.cn
Disclaimer: All claims expressed in this article are solely those of the authors and do not necessarily represent those of their affiliated organizations, or those of the publisher, the editors and the reviewers. Any product that may be evaluated in this article or claim that may be made by its manufacturer is not guaranteed or endorsed by the publisher.
