ORIGINAL RESEARCH article
Front. Microbiol.
Sec. Antimicrobials, Resistance and Chemotherapy
This article is part of the Research TopicA Molecular and Structural Approach to Deciphering and Combating Infectious PathogensView all 8 articles
Structural and genomic insights into erythromycin and clindamycin resistance of group B Streptococcus isolates in rural West Virginia, United States
Provisionally accepted- 1Department of Microbiology, Immunology, and Cell Biology, School of Medicine, West Virginia University, Morgantown, United States
- 2Istituto di Biostrutture e Bioimmagini Consiglio Nazionale delle Ricerche, Naples, Italy
- 3Department of Pathology, School of Medicine, West Virginia University, Morgantown, United States
- 4West Virginia Clinical and Translational Science Institute, Morgantown, United States
Select one of your emails
You have multiple emails registered with Frontiers:
Notify me on publication
Please enter your email address:
If you already have an account, please login
You don't have a Frontiers account ? You can register here
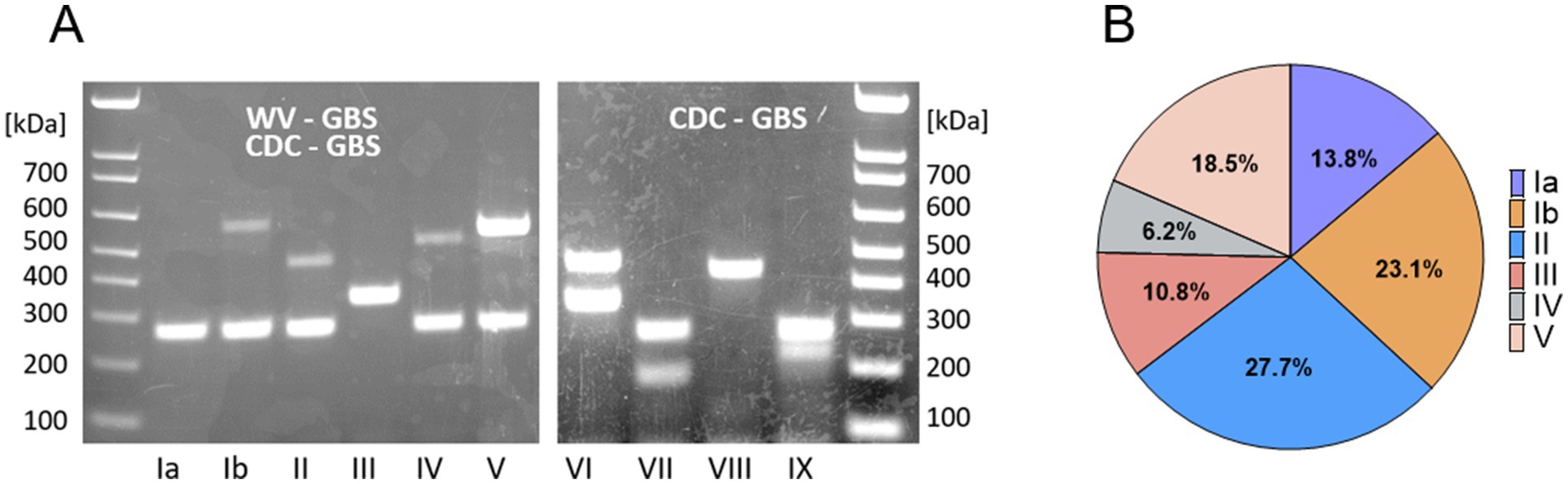
Group B Streptococcus (GBS) is a leading etiological agent of neonatal sepsis and meningitis, as well as invasive infections that predominately affect adults over 65 and people with comorbidities. The Centers for Disease Control and Prevention's (CDC) nationwide surveillance has identified rising clindamycin and erythromycin resistance as a concerning level threat for invasive GBS infections. West Virginia (WV) is a rural state outside the CDC catchment area, therefore, we investigated 65 WV-GBS isolates identified in clinical specimens from various sources for serotype distribution, as well as the spectrum and genetic markers of erythromycin and clindamycin resistance. GBS isolates of serotypes II (27.7%), Ib (23.1%), V (18.5%), Ia (13.8%), III (10.8%), and IV (6.2%), were identified. The mef(A) gene encoding macrolide resistance (M phenotype) was detected in 15.4% isolates. The erm(A) and erm(B) genes that are responsible for the combined erythromycin and clindamycin resistance, which characterizes an MLSB [macrolide, lincosamide, and streptogramin B] resistance phenotype, were detected in 67.7% of WV-GBS isolates; also, 81.4% of those displayed constitutive (cMLSB) and 18.6% inducible (iMLSB) resistance to clindamycin by erythromycin using the D-test. A cluster of mutations within the regulatory region of erm(A) were identified in association with a cMLSB sub-phenotype, whereas most of the erm(B) promoters sequenced from isolates with a cMLSB background lacked analogous sequence polymorphisms. Further, higher erythromycin MIC values were associated with the erm(B) determinant compared with erm(A), while structural models of the GBS-ErmA and GBS-ErmB enzymes show conservation in both SAM-and rRNA-binding sites. Our data demonstrate that the 80.0% rate of erythromycin and 70.8% of clindamycin resistance in WV is higher than the national average of 61.7% and 52.5%, respectively, while being widespread across a variety of clinical specimens (urine, throat, respiratory tract, blood, foot ulcers, perisplenic fluid, various wounds, and the rectovaginal area). Providers should be aware of the current threat of antibiotic resistance, especially in "primary care deserts" existing in rural areas such as WV.
Keywords: GBS resistance1, Streptococcus agalactiae2, ErmA/B structure3, macrolide resistance4, lincosamide resistance5
Received: 15 Aug 2025; Accepted: 11 Nov 2025.
Copyright: © 2025 Smith, Powell, Palmer, Choi, Berisio, Demkowicz and Lukomski. This is an open-access article distributed under the terms of the Creative Commons Attribution License (CC BY). The use, distribution or reproduction in other forums is permitted, provided the original author(s) or licensor are credited and that the original publication in this journal is cited, in accordance with accepted academic practice. No use, distribution or reproduction is permitted which does not comply with these terms.
* Correspondence: Slawomir Lukomski, slukomski@hsc.wvu.edu
Disclaimer: All claims expressed in this article are solely those of the authors and do not necessarily represent those of their affiliated organizations, or those of the publisher, the editors and the reviewers. Any product that may be evaluated in this article or claim that may be made by its manufacturer is not guaranteed or endorsed by the publisher.
