ORIGINAL RESEARCH article
Front. Microbiol.
Sec. Antimicrobials, Resistance and Chemotherapy
This article is part of the Research TopicPlant-derived Products for Developing New AntimicrobialsView all 11 articles
Unearthing anti-MRSA agents from alpine lichens: discovery and characterization of bioactive compounds in Cetraria islandica from the snowy Cangshan region
Provisionally accepted- Dali University School of Public Health, Dali, China
Select one of your emails
You have multiple emails registered with Frontiers:
Notify me on publication
Please enter your email address:
If you already have an account, please login
You don't have a Frontiers account ? You can register here
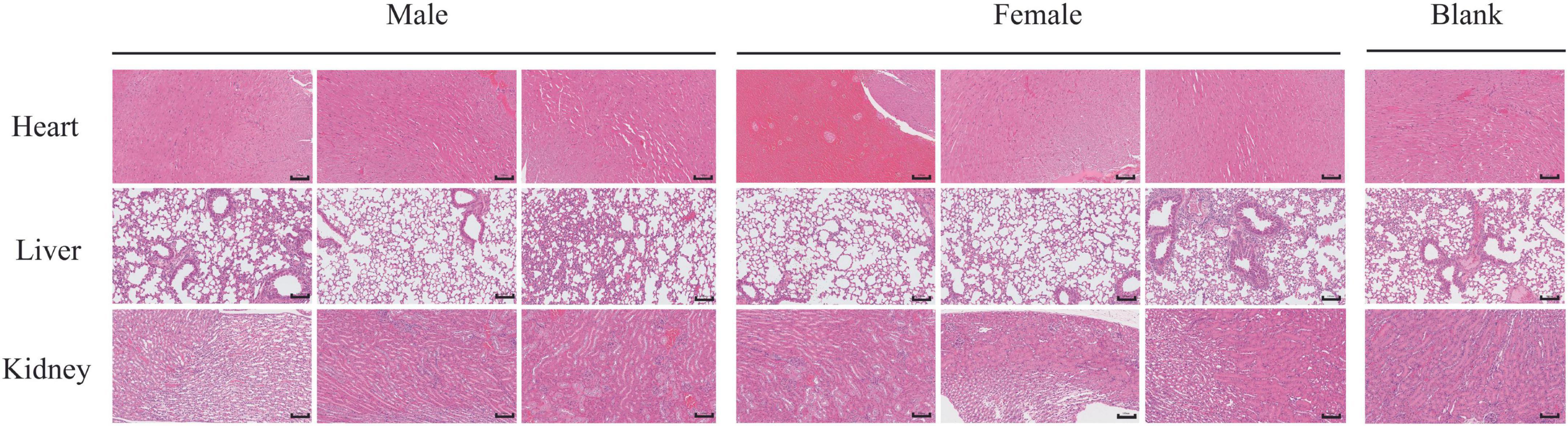
Methicillin-resistant Staphylococcus aureus (MRSA)—declared a WHO priority pathogen—remains a global menace, yet no new-scaffold agent has reached the clinic in two decades. The under-investigated chemical reservoir of lichens was tapped by targeting Cetraria islandica collected in Cangshan, Yunnan. Bioassay-guided fractionation yielded lichesterinic acid (C₁₉H₃₂O₄, 95% purity, 0.32% yield), whose structure was elucidated by ¹H/¹³C NMR and HRESI-MS. Antimicrobial spectrum testing revealed that lichesterinic acid exhibited a minimum inhibitory concentration (MIC) of 64–128 μg/mL against Staphylococcus aureus, MRSA, and Listeria seeligeri and an inhibitory rate greater than 70% against phytopathogenic fungi such as Sclerotinia sclerotiorum and Valsa mali. When combined with six different antibiotics, it exhibited synergistic or additive effects, suggesting its potential to restore sensitivity to traditional antibiotics. Cytotoxicity assays of HepG2 and Vero cells showed IC₅₀ values of 1854 μM and 1771 μM, respectively. Acute oral toxicity tests in mice revealed no deaths or significant toxicity, with an LD₅₀>5000 mg/kg, indicating that the drug was nontoxic. Molecular docking studies revealed that lichesterinic acid may stabilise key resistance proteins such as deacetylase (def) and PBP2a, potentially exerting multitarget antimicrobial effects by inhibiting protein synthesis and cell wall formation. In summary, lichesterinic acid is a safe, low-toxicity, broad-spectrum candidate for a new type of natural antimicrobial agent, providing a material basis and theoretical foundation for the development of MRSA drugs.
Keywords: Cangshan lichen, Cetraria islandica, Lichesterinic acid, Antibacterial activity, Toxicity evaluation
Received: 19 Aug 2025; Accepted: 05 Nov 2025.
Copyright: © 2025 LU, Tian, Liang, Xiang, Liu and Ding. This is an open-access article distributed under the terms of the Creative Commons Attribution License (CC BY). The use, distribution or reproduction in other forums is permitted, provided the original author(s) or licensor are credited and that the original publication in this journal is cited, in accordance with accepted academic practice. No use, distribution or reproduction is permitted which does not comply with these terms.
* Correspondence:
Menglong Liu, lmlx7890@163.com
Haiyan Ding, helending1989@hotmail.com
Disclaimer: All claims expressed in this article are solely those of the authors and do not necessarily represent those of their affiliated organizations, or those of the publisher, the editors and the reviewers. Any product that may be evaluated in this article or claim that may be made by its manufacturer is not guaranteed or endorsed by the publisher.
